• 文献检索
  • 文档翻译
  • 深度研究
  • 学术资讯
  • Suppr Zotero 插件Zotero 插件
  • 邀请有礼
  • 套餐&价格
  • 历史记录
应用&插件
Suppr Zotero 插件Zotero 插件浏览器插件Mac 客户端Windows 客户端微信小程序
定价
高级版会员购买积分包购买API积分包
服务
文献检索文档翻译深度研究API 文档MCP 服务
关于我们
关于 Suppr公司介绍联系我们用户协议隐私条款
关注我们

Suppr 超能文献

核心技术专利:CN118964589B侵权必究
粤ICP备2023148730 号-1Suppr @ 2026

文献检索

告别复杂PubMed语法,用中文像聊天一样搜索,搜遍4000万医学文献。AI智能推荐,让科研检索更轻松。

立即免费搜索

文件翻译

保留排版,准确专业,支持PDF/Word/PPT等文件格式,支持 12+语言互译。

免费翻译文档

深度研究

AI帮你快速写综述,25分钟生成高质量综述,智能提取关键信息,辅助科研写作。

立即免费体验

误诊为加特纳囊肿的阴道深部(侵袭性)血管黏液瘤:一例报告

Deep (aggressive) angiomyxoma of the vagina misdiagnosed as Gartner cyst: A case report.

作者信息

Djusad Suskhan, Sari Yulia Margaretta, Tjahjadi Hartono

机构信息

Urogynecology Division, Department of Obstetrics and Gynecology, Faculty of Medicine, University of Indonesia, Dr. Cipto Mangunkusumo Hospital, Jakarta, Indonesia.

Urogynecology Division, Department of Obstetrics and Gynecology, Faculty of Medicine, University of Indonesia, Dr. Cipto Mangunkusumo Hospital, Jakarta, Indonesia.

出版信息

Int J Surg Case Rep. 2021 Jun;83:105948. doi: 10.1016/j.ijscr.2021.105948. Epub 2021 Apr 30.

DOI:10.1016/j.ijscr.2021.105948
PMID:33971554
原文链接:https://pmc.ncbi.nlm.nih.gov/articles/PMC8129944/
Abstract

INTRODUCTION AND IMPORTANCE

Aggressive angiomyxoma is a rare soft tissue tumor. Aggressive angiomyxoma is a slow-growing vulvovaginal mesenchymal neoplasm with a marked tendency for local recurrence, but with a low tendency to metastasize. As it has a predilection for the pelvic and perineal regions, Aggressive angiomyxoma is often misdiagnosed. This case report documented rare case of misdiagnosed Aggressive Angiomyxoma as Gartner duct cyst.

PRESENTATION OF CASE

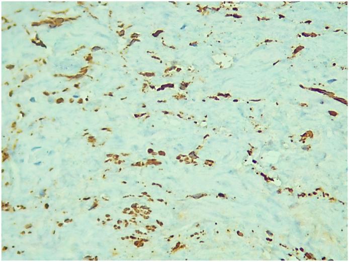
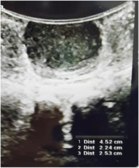
This article report a case of 31 year old women who complained mass came out from vagina without any urinary symptom and trauma. Physical examination and ultrasound finding suggested that the mass was Gartner Duct cyst. Management in this case was excision of the vaginal cyst. Histopathology examination revealed Deep (aggressive) angiomyxoma.

DISCUSSION

The rarity of Deep (Aggressive) Angiomyxoma makes the preoperative diagnosis fairly difficult. Aggressive angiomyxoma is often misdiagnosed as it may have similar clinical presentation to common lesions such as Bartholin cyst or prolapse vaginal wall, Gartner cyst or levator hernia. Aggressive Angiomyxoma should be considered as differential diagnosis in patient with vaginal cyst.

CONCLUSION

Aggressive Angiomyxoma is rare condition. Preoperative diagnosis and management are challenging. Long term follow op and evaluation should be done due to high rate of recurrence.

摘要

引言与重要性

侵袭性血管黏液瘤是一种罕见的软组织肿瘤。侵袭性血管黏液瘤是一种生长缓慢的外阴阴道间叶性肿瘤,具有明显的局部复发倾向,但转移倾向较低。由于其好发于盆腔和会阴区域,侵袭性血管黏液瘤常被误诊。本病例报告记录了一例罕见的将侵袭性血管黏液瘤误诊为加特纳管囊肿的病例。

病例介绍

本文报告一例31岁女性患者,主诉阴道肿物脱出,无任何泌尿系统症状及外伤史。体格检查及超声检查提示肿物为加特纳管囊肿。该病例的治疗方式为切除阴道囊肿。组织病理学检查显示为深部(侵袭性)血管黏液瘤。

讨论

深部(侵袭性)血管黏液瘤的罕见性使得术前诊断相当困难。侵袭性血管黏液瘤常被误诊,因为它可能与巴氏腺囊肿或阴道壁脱垂、加特纳囊肿或提肌疝等常见病变有相似的临床表现。对于阴道囊肿患者,应考虑侵袭性血管黏液瘤作为鉴别诊断。

结论

侵袭性血管黏液瘤是一种罕见疾病。术前诊断和治疗具有挑战性。由于复发率高,应进行长期随访和评估。

https://cdn.ncbi.nlm.nih.gov/pmc/blobs/0a7d/8129944/6e5f9933d454/gr5.jpg
https://cdn.ncbi.nlm.nih.gov/pmc/blobs/0a7d/8129944/2ffc90dadf34/gr1.jpg
https://cdn.ncbi.nlm.nih.gov/pmc/blobs/0a7d/8129944/3dc3eded891a/gr2.jpg
https://cdn.ncbi.nlm.nih.gov/pmc/blobs/0a7d/8129944/df4887b524fb/gr3.jpg
https://cdn.ncbi.nlm.nih.gov/pmc/blobs/0a7d/8129944/4dc1d7bdbd62/gr4.jpg
https://cdn.ncbi.nlm.nih.gov/pmc/blobs/0a7d/8129944/6e5f9933d454/gr5.jpg
https://cdn.ncbi.nlm.nih.gov/pmc/blobs/0a7d/8129944/2ffc90dadf34/gr1.jpg
https://cdn.ncbi.nlm.nih.gov/pmc/blobs/0a7d/8129944/3dc3eded891a/gr2.jpg
https://cdn.ncbi.nlm.nih.gov/pmc/blobs/0a7d/8129944/df4887b524fb/gr3.jpg
https://cdn.ncbi.nlm.nih.gov/pmc/blobs/0a7d/8129944/4dc1d7bdbd62/gr4.jpg
https://cdn.ncbi.nlm.nih.gov/pmc/blobs/0a7d/8129944/6e5f9933d454/gr5.jpg

相似文献

1
Deep (aggressive) angiomyxoma of the vagina misdiagnosed as Gartner cyst: A case report.误诊为加特纳囊肿的阴道深部(侵袭性)血管黏液瘤:一例报告
Int J Surg Case Rep. 2021 Jun;83:105948. doi: 10.1016/j.ijscr.2021.105948. Epub 2021 Apr 30.
2
Aggressive angiomyxoma of the vagina: a case report.阴道侵袭性血管黏液瘤:一例报告
Rev Bras Ginecol Obstet. 2013 Dec;35(12):575-82. doi: 10.1590/s0100-72032013001200008.
3
Atypical Vaginal Aggressive Angiomyxoma in a Virgin: A Case Report from South Jordan.一名处女的非典型阴道侵袭性血管黏液瘤:来自约旦南部的病例报告
Int J Womens Health. 2024 Jul 25;16:1257-1264. doi: 10.2147/IJWH.S465948. eCollection 2024.
4
Secondary cervical elongatio due to large Gartner cyst: A rare case.巨大加特纳囊肿导致的继发性宫颈延长:1例罕见病例
Int J Surg Case Rep. 2020;72:37-40. doi: 10.1016/j.ijscr.2020.05.054. Epub 2020 May 30.
5
Aggressive Angiomyxoma in Pregnancy: A Rare Condition, a Common Misdiagnosis.妊娠期侵袭性血管黏液瘤:一种罕见病症,常见误诊情况。
Case Rep Obstet Gynecol. 2016;2016:8539704. doi: 10.1155/2016/8539704. Epub 2016 May 5.
6
A persistent mass: A case of aggressive Angiomyxoma of the vulva.持续性肿块:一例侵袭性外阴血管黏液瘤病例。
Gynecol Oncol Rep. 2018 Feb 9;24:15-17. doi: 10.1016/j.gore.2018.02.002. eCollection 2018 May.
7
A case of aggressive angiomyxoma of the vulva.
J Med Ultrason (2001). 2013 Jul;40(3):283-7. doi: 10.1007/s10396-012-0427-y. Epub 2013 Jan 11.
8
Misleading clinical and imaging features in atypical aggressive angiomyxoma of the female vulvovaginal or perianal region: report of three cases and review of the literature.女性外阴阴道或肛周区域非典型侵袭性血管黏液瘤的误导性临床和影像学特征:三例报告并文献复习
Front Oncol. 2024 Mar 25;14:1373607. doi: 10.3389/fonc.2024.1373607. eCollection 2024.
9
Local recurrent vaginal aggressive angiomyxoma misdiagnosed as cellular angiomyofibroblastoma: A case report.局部复发性阴道侵袭性血管黏液瘤误诊为细胞性血管肌纤维母细胞瘤:一例报告。
Exp Ther Med. 2016 May;11(5):1893-1895. doi: 10.3892/etm.2016.3097. Epub 2016 Feb 19.
10
A Gartner Duct Cyst Masquerading as Anterior Vaginal Prolapse.一例伪装成阴道前壁脱垂的加特纳管囊肿
Obstet Gynecol. 2017 Nov;130(5):1039-1041. doi: 10.1097/AOG.0000000000002315.

引用本文的文献

1
Aggressive angiomyxoma of the vagina: A case report and literature review.阴道侵袭性血管黏液瘤:一例报告及文献复习
Medicine (Baltimore). 2025 Jan 24;104(4):e41287. doi: 10.1097/MD.0000000000041287.
2
Deep angiomyxoma of bladder wall.膀胱壁深部血管黏液瘤
Med J Armed Forces India. 2024 Dec;80(Suppl 1):S379-S382. doi: 10.1016/j.mjafi.2023.01.008. Epub 2023 Apr 3.
3
An Unusual Cause of Inguinal Mass in a Patient with Urolithiasis: A Case Report of Deep (Aggressive) Angiomyxoma in a Male Patient.尿路结石患者腹股沟肿块的罕见病因:一名男性患者深部(侵袭性)血管黏液瘤病例报告

本文引用的文献

1
The SCARE 2020 Guideline: Updating Consensus Surgical CAse REport (SCARE) Guidelines.SCARE 2020 指南:更新共识手术病例报告(SCARE)指南。
Int J Surg. 2020 Dec;84:226-230. doi: 10.1016/j.ijsu.2020.10.034. Epub 2020 Nov 9.
2
A persistent mass: A case of aggressive Angiomyxoma of the vulva.持续性肿块:一例侵袭性外阴血管黏液瘤病例。
Gynecol Oncol Rep. 2018 Feb 9;24:15-17. doi: 10.1016/j.gore.2018.02.002. eCollection 2018 May.
3
Aggressive Angiomyxoma of the Vulva and Bladder.
Clin Pract. 2024 Dec 13;14(6):2705-2712. doi: 10.3390/clinpract14060213.
4
Massive aggressive angiomyxoma of ischioanal region with relapse: A case report.坐骨肛门窝巨大侵袭性血管黏液瘤伴复发:1例报告
Int J Reprod Biomed. 2024 Jun 12;22(4):329-334. doi: 10.18502/ijrm.v22i4.16394. eCollection 2024 Apr.
5
Characteristics and treatment strategies of aggressive angiomyxoma in women: A retrospective review of 87 cases.女性侵袭性血管黏液瘤的特征及治疗策略:87例回顾性分析
Front Surg. 2023 Apr 17;10:966971. doi: 10.3389/fsurg.2023.966971. eCollection 2023.
Obstet Gynecol. 2017 Oct;130(4):885-888. doi: 10.1097/AOG.0000000000002254.
4
Aggressive angiomyxoma of the vulva: An uncommon entity.外阴侵袭性血管黏液瘤:一种罕见的疾病。
Indian Dermatol Online J. 2012 May;3(2):128-30. doi: 10.4103/2229-5178.96712.
5
Aggressive angiomyxoma of the female pelvis and perineum. Report of nine cases of a distinctive type of gynecologic soft-tissue neoplasm.女性盆腔和会阴侵袭性血管黏液瘤。一种独特类型的妇科软组织肿瘤9例报告。
Am J Surg Pathol. 1983 Jul;7(5):463-75. doi: 10.1097/00000478-198307000-00009.