• 文献检索
  • 文档翻译
  • 深度研究
  • 学术资讯
  • Suppr Zotero 插件Zotero 插件
  • 邀请有礼
  • 套餐&价格
  • 历史记录
应用&插件
Suppr Zotero 插件Zotero 插件浏览器插件Mac 客户端Windows 客户端微信小程序
定价
高级版会员购买积分包购买API积分包
服务
文献检索文档翻译深度研究API 文档MCP 服务
关于我们
关于 Suppr公司介绍联系我们用户协议隐私条款
关注我们

Suppr 超能文献

核心技术专利:CN118964589B侵权必究
粤ICP备2023148730 号-1Suppr @ 2026

文献检索

告别复杂PubMed语法,用中文像聊天一样搜索,搜遍4000万医学文献。AI智能推荐,让科研检索更轻松。

立即免费搜索

文件翻译

保留排版,准确专业,支持PDF/Word/PPT等文件格式,支持 12+语言互译。

免费翻译文档

深度研究

AI帮你快速写综述,25分钟生成高质量综述,智能提取关键信息,辅助科研写作。

立即免费体验

纤维囊性骨炎和病理性骨折——原发性甲状旁腺功能亢进症的经典但被忽视的骨骼表现:一例报告。

Osteitis Fibrosa Cystica and pathological fractures-the classic but neglected skeletal manifestation of primary hyperparathyroidism: a case report.

机构信息

Department of Orthopaedic Surgery, Faculty of Medicine Siriraj Hospital, Mahidol University, Bangkok, Thailand.

Division of Endocrinology and Metabolism, Department of Medicine, Faculty of Medicine Siriraj Hospital, Mahidol University, Bangkok, Thailand.

出版信息

BMC Musculoskelet Disord. 2021 May 14;22(1):443. doi: 10.1186/s12891-021-04326-1.

DOI:10.1186/s12891-021-04326-1
PMID:33990191
原文链接:https://pmc.ncbi.nlm.nih.gov/articles/PMC8122575/
Abstract

BACKGROUND

Osteitis fibrosa cystica is the classic manifestation of primary hyperparathyroidism (PHPT), occurs after prolonged exposure of bone to high serum parathyroid hormone (PTH) level. It has become increasingly rare due to early detection of PHPT.

CASE PRESENTATION

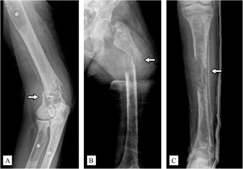
A 37-year-old woman was referred to our institution for fixation of multiple fractures of upper and lower extremities that had been reoccurring in the past 5 years. Her medical history showed right-shoulder, left-elbow, and right-femur fractures after a fall 5 years previously. One month ago, she sustained fractures of the right distal humerus, left tibia, and left femur without history of trauma. Upon arrival to our hospital, a thorough review of her plain radiographs demonstrated brown tumors at multiple sites, along with a salt-and-pepper appearance of the skull and a rugger-jersey spine, compatible with osteitis fibrosa cystica. Patient was diagnosed with PHPT, confirmed by high-corrected serum calcium (13.6 [8.6-10.0] mg/dl), low serum phosphate (2.2 [2.5-4.5] mg/dL), high serum alkaline phosphatase (1482 [35-105] U/L), and significantly elevated parathyroid hormone (PTH 3850 [15-65] pg/mL). A histologically confirmed, 2.5-cm parathyroid adenoma was removed by parathyroidectomy. Ten days later, closed reduction and internal fixation of the left proximal femoral shaft was performed. Pain and ambulation were significantly improved 6 months postoperatively. At the 1.5-year follow-up, fracture unions and complete mineralization of brown tumors were noted; the patient could ambulate with neither pain nor an assistive device.

CONCLUSIONS

PHPT has become more asymptomatic in countries where routine calcium screening is performed. Nevertheless, the classic skeletal involvement, osteitis fibrosa cystica, should not be overlooked, particularly in young patients who present with a low-energy fracture.

摘要

背景

纤维囊性骨炎是甲状旁腺功能亢进症(PHPT)的典型表现,发生在骨长时间暴露于高甲状旁腺激素(PTH)水平后。由于 PHPT 的早期发现,这种情况变得越来越少见。

病例介绍

一名 37 岁女性因过去 5 年来反复发生的上下肢多处骨折而被转至我院。她的病史显示,5 年前因跌倒导致右肩、左肘和右股骨骨折。一个月前,她无外伤史发生右肱骨远端、左胫骨和左股骨骨折。当她到达我院时,对其平片进行全面审查显示多处棕色瘤,以及颅骨的椒盐状外观和 Rugger-Jersey 脊柱,符合纤维囊性骨炎的表现。患者被诊断为 PHPT,通过高校正血清钙(13.6 [8.6-10.0] mg/dl)、低血清磷酸盐(2.2 [2.5-4.5] mg/dL)、高血清碱性磷酸酶(1482 [35-105] U/L)和明显升高的甲状旁腺激素(PTH 3850 [15-65] pg/mL)得到证实。通过甲状旁腺切除术切除了一个 2.5 厘米的甲状旁腺腺瘤,组织学得到证实。甲状旁腺切除术后 10 天,进行左股骨近端干闭合复位内固定。术后 6 个月疼痛和活动度明显改善。在 1.5 年的随访中,观察到骨折愈合和棕色瘤完全矿化;患者无需疼痛或辅助设备即可行走。

结论

在常规进行钙筛查的国家,PHPT 变得更加无症状。然而,不应忽视经典的骨骼受累,即纤维囊性骨炎,尤其是在出现低能量骨折的年轻患者中。

https://cdn.ncbi.nlm.nih.gov/pmc/blobs/eb8f/8122575/f6fc85566448/12891_2021_4326_Fig3_HTML.jpg
https://cdn.ncbi.nlm.nih.gov/pmc/blobs/eb8f/8122575/7ba11a5bfb0f/12891_2021_4326_Fig1_HTML.jpg
https://cdn.ncbi.nlm.nih.gov/pmc/blobs/eb8f/8122575/8825bb5a0fc2/12891_2021_4326_Fig2_HTML.jpg
https://cdn.ncbi.nlm.nih.gov/pmc/blobs/eb8f/8122575/f6fc85566448/12891_2021_4326_Fig3_HTML.jpg
https://cdn.ncbi.nlm.nih.gov/pmc/blobs/eb8f/8122575/7ba11a5bfb0f/12891_2021_4326_Fig1_HTML.jpg
https://cdn.ncbi.nlm.nih.gov/pmc/blobs/eb8f/8122575/8825bb5a0fc2/12891_2021_4326_Fig2_HTML.jpg
https://cdn.ncbi.nlm.nih.gov/pmc/blobs/eb8f/8122575/f6fc85566448/12891_2021_4326_Fig3_HTML.jpg

相似文献

1
Osteitis Fibrosa Cystica and pathological fractures-the classic but neglected skeletal manifestation of primary hyperparathyroidism: a case report.纤维囊性骨炎和病理性骨折——原发性甲状旁腺功能亢进症的经典但被忽视的骨骼表现:一例报告。
BMC Musculoskelet Disord. 2021 May 14;22(1):443. doi: 10.1186/s12891-021-04326-1.
2
Brown tumor due to primary hyperparathyroidism in a familial case: a case report.家族性原发性甲状旁腺功能亢进致棕色瘤 1 例报告。
BMC Endocr Disord. 2023 Oct 8;23(1):214. doi: 10.1186/s12902-023-01475-3.
3
Osteitis fibrosa cystica-a forgotten radiological feature of primary hyperparathyroidism.囊性纤维性骨炎——原发性甲状旁腺功能亢进症被遗忘的放射学特征。
Endocrine. 2017 Nov;58(2):380-385. doi: 10.1007/s12020-017-1414-2. Epub 2017 Sep 12.
4
Unravelling a hidden pathology of a vertebral fracture in a teenage girl.揭示少女椎骨骨折的隐匿性病理。
BMC Endocr Disord. 2024 Sep 19;24(1):193. doi: 10.1186/s12902-024-01732-z.
5
Giant parathyroid adenoma diagnosed by brown tumour, a clinical manifestation of primary hyperparathyroidism: A case report.棕色瘤诊断的巨大甲状旁腺腺瘤,原发性甲状旁腺功能亢进症的一种临床表现:病例报告。
J Pak Med Assoc. 2021 Apr;71(4):1266-1269. doi: 10.47391/JPMA.393.
6
Extensive brown tumors caused by parathyroid adenoma in an adolescent patient.一名青少年患者因甲状旁腺腺瘤引发广泛棕色瘤。
Eur J Pediatr. 2008 Jan;167(1):117-9. doi: 10.1007/s00431-007-0414-2. Epub 2007 Feb 2.
7
Recovery pattern of patients with osteitis fibrosa cystica in primary hyperparathyroidism after successful parathyroidectomy.原发性甲状旁腺功能亢进症骨纤维囊性骨炎患者甲状旁腺切除成功后的恢复模式。
Surgery. 2002 Dec;132(6):1075-83; discussion 1083-5. doi: 10.1067/msy.2002.128484.
8
[Osteitis fibrosa cystica as the initial manifestation of primary hyperparathyroidism].[纤维囊性骨炎作为原发性甲状旁腺功能亢进症的初始表现]
Endocrinol Nutr. 2009 Mar;56(3):140-2. doi: 10.1016/S1575-0922(09)70845-9. Epub 2009 May 18.
9
Unusual body weight loss due to primary hyperparathyroidism: A case study with literature review.原发性甲状旁腺功能亢进导致的异常体重减轻:一例病例报告并文献复习
Heliyon. 2024 Mar 16;10(6):e28333. doi: 10.1016/j.heliyon.2024.e28333. eCollection 2024 Mar 30.
10
A patient with femoral osteitis fibrosa cystica mimicking bone neoplasm: a case report.一名股骨纤维囊性骨炎酷似骨肿瘤的患者:病例报告。
BMC Musculoskelet Disord. 2022 Apr 4;23(1):322. doi: 10.1186/s12891-022-05274-0.

引用本文的文献

1
Atypical Parathyroid Tumor Causing Primary Hyperparathyroidism With a Clinical Presentation of a Brown Tumor.非典型甲状旁腺肿瘤导致原发性甲状旁腺功能亢进,临床表现为棕色瘤。
JCEM Case Rep. 2025 Jul 11;3(8):luaf154. doi: 10.1210/jcemcr/luaf154. eCollection 2025 Aug.
2
Bone in Parathyroid Diseases Revisited: Evidence From Epidemiological, Surgical and New Drug Outcomes.再探甲状旁腺疾病中的骨:来自流行病学、手术及新药疗效的证据
Endocr Rev. 2025 Jul 15;46(4):576-620. doi: 10.1210/endrev/bnaf010.
3
Primary hyperparathyroidism due to a giant parathyroid adenoma presenting with pathological fractures and multiple brown tumors.

本文引用的文献

1
Osteolytic lesions (brown tumors) of primary hyperparathyroidism misdiagnosed as multifocal giant cell tumor of the distal ulna and radius: a case report.原发性甲状旁腺功能亢进症的溶骨性病变(棕色瘤)被误诊为尺骨和桡骨远端多灶性巨细胞瘤:一例报告
J Med Case Rep. 2018 Jun 25;12(1):176. doi: 10.1186/s13256-018-1723-y.
2
Osteitis fibrosa cystica.纤维性骨炎囊肿
QJM. 2018 Jul 1;111(7):487. doi: 10.1093/qjmed/hcy019.
3
Insufficiency Fractures at Unusual Sites: A Case Series.罕见部位的应力性骨折:病例系列
因巨大甲状旁腺腺瘤导致的原发性甲状旁腺功能亢进,表现为病理性骨折和多发棕色瘤。
Endocrinol Diabetes Metab Case Rep. 2024 Dec 19;2024(4). doi: 10.1530/EDM-24-0054. Print 2024 Oct 1.
4
A Case of Osteitis Fibrosa Cystica of the Mandible: A Rare Presentation during Pregnancy due to Mutation.一例下颌骨纤维囊性骨炎:孕期因突变导致的罕见病例。
J ASEAN Fed Endocr Soc. 2024;39(2):112-118. doi: 10.15605/jafes.039.02.17. Epub 2024 Sep 3.
5
A Case of Parathyroid Adenoma with Bilateral Subtrochanteric Pathological Femur Fracture - A Rare Case Report.一例甲状旁腺腺瘤伴双侧股骨转子下病理性骨折——罕见病例报告
J Orthop Case Rep. 2024 Sep;14(9):178-182. doi: 10.13107/jocr.2024.v14.i09.4772.
6
Multiple brown tumor in late adolescence mimicking bone metastasis: A challenging case report.青春期晚期多发棕色瘤酷似骨转移:一例具有挑战性的病例报告。
Radiol Case Rep. 2024 Jul 24;19(10):4266-4272. doi: 10.1016/j.radcr.2024.07.008. eCollection 2024 Oct.
7
Brown Tumors: The Hidden Face of Primary and Renal Hyperparathyroidism Amid Real-Life Settings.棕色瘤:现实环境中原发性和肾性甲状旁腺功能亢进的隐匿面貌。
J Clin Med. 2024 Jun 29;13(13):3847. doi: 10.3390/jcm13133847.
8
Update on brown tumor of hyperparathyroidism.甲状旁腺功能亢进棕色瘤的最新进展。
Rev Assoc Med Bras (1992). 2024 Jun 7;70(suppl 1):e2024S132. doi: 10.1590/1806-9282.2024S132. eCollection 2024.
9
Brown tumors: Retrospective analysis of 26 cases.棕色瘤:26 例回顾性分析。
Arch Orthop Trauma Surg. 2024 Jul;144(7):2927-2934. doi: 10.1007/s00402-024-05372-9. Epub 2024 May 25.
10
Femoral Neck Fracture in a Pediatric Patient with Primary Hyperparathyroidism.一名原发性甲状旁腺功能亢进症患儿的股骨颈骨折
Case Rep Orthop. 2023 Oct 9;2023:5550451. doi: 10.1155/2023/5550451. eCollection 2023.
J Orthop Case Rep. 2017 Jul-Aug;7(4):76-79. doi: 10.13107/jocr.2250-0685.862.
4
Multiple fractures in a 22-year-old man after a simple fall.一名22岁男子在一次简单摔倒后出现多处骨折。
J Surg Case Rep. 2015 Oct 1;2015(10):rjv117. doi: 10.1093/jscr/rjv117.
5
Brown tumors: severe osteitis fibrosa cystica.棕色瘤:重度纤维囊性骨炎。
Mayo Clin Proc. 2015 May;90(5):699-700. doi: 10.1016/j.mayocp.2014.08.025.
6
Are brown tumours a forgotten disease in developed countries?在发达国家,棕色瘤是一种被遗忘的疾病吗?
Acta Otorhinolaryngol Ital. 2012 Dec;32(6):410-5.
7
An unusual presentation of primary hyperparathyroidism: pathological fracture.原发性甲状旁腺功能亢进症的一种不寻常表现:病理性骨折。
Case Rep Orthop. 2011;2011:521578. doi: 10.1155/2011/521578. Epub 2012 Jan 26.
8
Hungry bone syndrome: still a challenge in the post-operative management of primary hyperparathyroidism: a systematic review of the literature.饥饿骨综合征:原发性甲状旁腺功能亢进术后管理中的挑战仍在继续:文献系统回顾。
Eur J Endocrinol. 2013 Feb 20;168(3):R45-53. doi: 10.1530/EJE-12-0528. Print 2013 Mar.
9
Primary hyperparathyroidism: 11-year experience in a single institute in Thailand.原发性甲状旁腺功能亢进症:泰国单一机构 11 年的经验。
Int J Endocrinol. 2012;2012:952426. doi: 10.1155/2012/952426. Epub 2012 May 31.
10
Secondary hyperparathyroidism and target organs in chronic kidney disease.慢性肾脏病中的继发性甲状旁腺功能亢进与靶器官
Hippokratia. 2011 Jan;15(Suppl 1):33-8.