Malek Bouhani, Ines Zemni, Saida Sakhri, Ghada Sahroui, Maher Slimene, Khaled Rahal
Department of oncologic surgery, Salah Azaiz Institute, Tunis, Tunisia.
Université de Tunis El Manar, Faculté de Médecine de Tunis, 1007, Tunis, Tunisie.
Clin Med Insights Case Rep. 2021 Apr 28;14:11795476211011206. doi: 10.1177/11795476211011206. eCollection 2021.
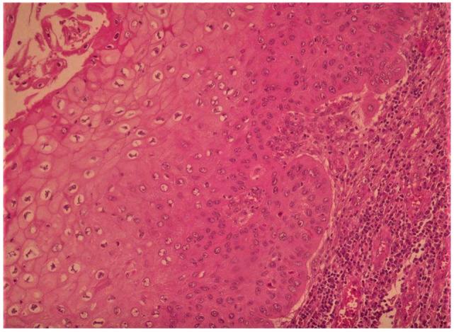
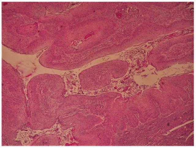
Warty squamous cell carcinoma (WSCC), is a rare variant of squamous cell carcinoma that occurs mostly in younger women, but can occur in old women. It is due to human papillomavirus (HPV) infection. This rare entity has been described in several organs such as vulva, cervix, and penis. To the best of our knowledge WSCC of vagina associated with the third-degree of uterine prolapse has never been reported in the literature. We present an exceptional case of WSCC of vagina occurred in a 77-year-old woman with long disease duration. The physical exam found a large ulcer-budding lesion of the middle and lower third of the vagina that depends on the left vaginal wall. The full work-up concluded to stage IVA of FIGO classification, due to the bladder involvement. The patient underwent a hysterectomy, bilateral salpingo-oophorectomy, bilateral pelvic node dissection, left partial cystectomy with left ureteral reimplantation and total vaginectomy, followed by adjuvant radiotherapy. The patient had no recurrence during 8 years of regular follow-up. WSCC can express locally aggressive behavior, such we reported; despite it appears to be less aggressive than the typical well-differentiated squamous cell carcinoma. That leads to individualize WSCC from other verruciform neoplasms.
疣状鳞状细胞癌(WSCC)是鳞状细胞癌的一种罕见变体,主要发生于年轻女性,但也可发生于老年女性。它是由人乳头瘤病毒(HPV)感染引起的。这种罕见的病变已在多个器官中被描述,如外阴、宫颈和阴茎。据我们所知,文献中从未报道过与三度子宫脱垂相关的阴道WSCC。我们报告一例77岁女性发生的阴道WSCC罕见病例,病程较长。体格检查发现阴道中下三分之一处有一个大的溃疡-芽状病变,附着于左侧阴道壁。全面检查结果显示,由于膀胱受累,按照国际妇产科联盟(FIGO)分类为IVA期。患者接受了子宫切除术、双侧输卵管卵巢切除术、双侧盆腔淋巴结清扫术、左侧部分膀胱切除术及左侧输尿管再植术和全阴道切除术,随后进行辅助放疗。在8年的定期随访中,患者未出现复发。WSCC可表现出局部侵袭性行为,如我们所报道的;尽管它似乎比典型的高分化鳞状细胞癌侵袭性小。这使得WSCC与其他疣状肿瘤有所不同。