Suppr超能文献

口腔恰加斯病患者中对病因性化疗难治的自然人群的特征分析与随访

Characterization and Follow-Up of Natural Populations Refractory to Etiological Chemotherapy in Oral Chagas Disease Patients.

作者信息

Muñoz-Calderón Arturo, Díaz-Bello Zoraida, Alarcón de Noya Belkisyolé, Noya-González Oscar O, Schijman Alejandro G

机构信息

Laboratorio de Biología Molecular de la Enfermedad de Chagas, Instituto de Investigaciones en Ingeniería Genética y Biología Molecular (INGEBI), Consejo Nacional de Investigaciones Científicas y Técnicas (CONICET), Buenos Aires, Argentina.

Instituto de Medicina Tropical "Dr Félix Pifano", Universidad Central de Venezuela, Caracas, Venezuela.

出版信息

Front Cell Infect Microbiol. 2021 Apr 28;11:665063. doi: 10.3389/fcimb.2021.665063. eCollection 2021.

Abstract

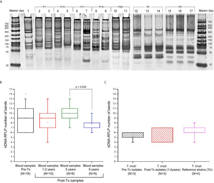
We aimed to characterize the genetic constitution of natural populations involved in an Oral Chagas Disease (OCD) outbreak at a rural school of the community of Chichiriviche de la Costa, Venezuela, which affected patients did not respond to the etiological treatment. Peripheral blood samples and/or hemocultures were obtained from twenty-nine OCD patients at time of diagnosis or along nine years of Post-treatment (Tx) follow-up. The IgG serology, discrete typing units (DTU), satellite DNA-qPCR parasitic loads, and minicircle signatures were determined at Pre-Tx and after Tx. The serological titles and parasitic loads changed after treatment, with a significant decrease of IgG titers (Spearman's r value= -0.961) and median parasite loads from 2.869 [IQR = 2.113 to 3.720] to 0.105 [IQR = -1.147 to 1.761] log10 par eq. /mL at Pre-Tx and Post-Tx, respectively, suggesting infection evolution from acute to chronic phase, without seroconversion or parasitological eradication, which was indicative of treatment failure. All patients were infected with DTU I populations. At Pre-Tx their median Jaccard genetic distances were 0.775 [IQR = 0.708 to 0.882], decreasing in genetic variability towards the end of follow-up (Mann-Whitney U test p= 0.0031). Interestingly, no Post-Tx minicircle signature was identical to its Pre-Tx counterpart population in a same patient, revealing selection of parasite subpopulations between the primary infection and Post-Tx. The parasitic populations isolated from hemocultures showed a lower number of bands in the minicircle signatures with respect to the signatures obtained directly from the patients' blood samples, demonstrating a process of parasitic selection and reduction of the population variability that initially infected the patients. Decrease of parasitic loads after treatment as well as Pre- and Post-Tx intra-TcI diversity might be a consequence of both, natural evolution of the acute infection to the chronic phase and persistence of refractory populations due to Tx selection.

摘要

我们旨在描述委内瑞拉奇基里维切-德拉科斯塔社区一所农村学校发生的口腔恰加斯病(OCD)疫情中涉事自然人群的基因构成,受影响患者对病原治疗无反应。在诊断时或治疗后(Tx)长达九年的随访期间,从29名OCD患者身上采集了外周血样本和/或血培养物。在Tx前和Tx后测定了IgG血清学、离散型单元(DTU)、卫星DNA-qPCR寄生虫负荷和微小环特征。治疗后血清学滴度和寄生虫负荷发生了变化,IgG滴度显著下降(斯皮尔曼r值 = -0.961),Tx前和Tx后寄生虫负荷中位数分别从2.869 [四分位间距(IQR)= 2.113至3.720] log10寄生虫当量/mL降至0.105 [IQR = -1.147至1.761] log10寄生虫当量/mL,表明感染从急性期演变为慢性期,无血清转化或寄生虫学根除,这表明治疗失败。所有患者均感染DTU I种群。Tx前其Jaccard基因距离中位数为0.775 [IQR = 0.708至0.882],随访结束时遗传变异性降低(曼-惠特尼U检验p = 0.0031)。有趣的是,同一患者Tx后的微小环特征与其Tx前的对应种群没有相同的,这揭示了原发性感染和Tx后寄生虫亚群的选择。从血培养物中分离出的寄生虫种群在微小环特征中的条带数量比直接从患者血样中获得的特征少,这表明存在寄生虫选择过程以及最初感染患者的种群变异性降低。治疗后寄生虫负荷的降低以及Tx前和Tx后TcI内的多样性可能是急性感染自然演变为慢性期以及Tx选择导致难治性种群持续存在的共同结果。

https://cdn.ncbi.nlm.nih.gov/pmc/blobs/dc0f/8121101/363decc77ee8/fcimb-11-665063-g001.jpg

文献检索

告别复杂PubMed语法,用中文像聊天一样搜索,搜遍4000万医学文献。AI智能推荐,让科研检索更轻松。

立即免费搜索

文件翻译

保留排版,准确专业,支持PDF/Word/PPT等文件格式,支持 12+语言互译。

免费翻译文档

深度研究

AI帮你快速写综述,25分钟生成高质量综述,智能提取关键信息,辅助科研写作。

立即免费体验