• 文献检索
  • 文档翻译
  • 深度研究
  • 学术资讯
  • Suppr Zotero 插件Zotero 插件
  • 邀请有礼
  • 套餐&价格
  • 历史记录
应用&插件
Suppr Zotero 插件Zotero 插件浏览器插件Mac 客户端Windows 客户端微信小程序
定价
高级版会员购买积分包购买API积分包
服务
文献检索文档翻译深度研究API 文档MCP 服务
关于我们
关于 Suppr公司介绍联系我们用户协议隐私条款
关注我们

Suppr 超能文献

核心技术专利:CN118964589B侵权必究
粤ICP备2023148730 号-1Suppr @ 2026

文献检索

告别复杂PubMed语法,用中文像聊天一样搜索,搜遍4000万医学文献。AI智能推荐,让科研检索更轻松。

立即免费搜索

文件翻译

保留排版,准确专业,支持PDF/Word/PPT等文件格式,支持 12+语言互译。

免费翻译文档

深度研究

AI帮你快速写综述,25分钟生成高质量综述,智能提取关键信息,辅助科研写作。

立即免费体验

在小鼠中,皮肤接种的登革病毒可引起强烈的浆细胞反应。

Robust Plasma Cell Response to Skin-Inoculated Dengue Virus in Mice.

机构信息

Department of Cell Biology, Center for Research and Advanced Studies, The National Polytechnic Institute, Cinvestav-IPN, Av. IPN 2508, San Pedro Zacatenco, Gustavo A. Madero, 07360 Mexico City, Mexico.

Department of Molecular Biomedicine, Center for Research and Advanced Studies, The National Polytechnic Institute, Cinvestav-IPN, Av. IPN 2508, San Pedro Zacatenco, Gustavo A. Madero, 07360 Mexico City, Mexico.

出版信息

J Immunol Res. 2021 Apr 26;2021:5511841. doi: 10.1155/2021/5511841. eCollection 2021.

DOI:10.1155/2021/5511841
PMID:33997054
原文链接:https://pmc.ncbi.nlm.nih.gov/articles/PMC8096554/
Abstract

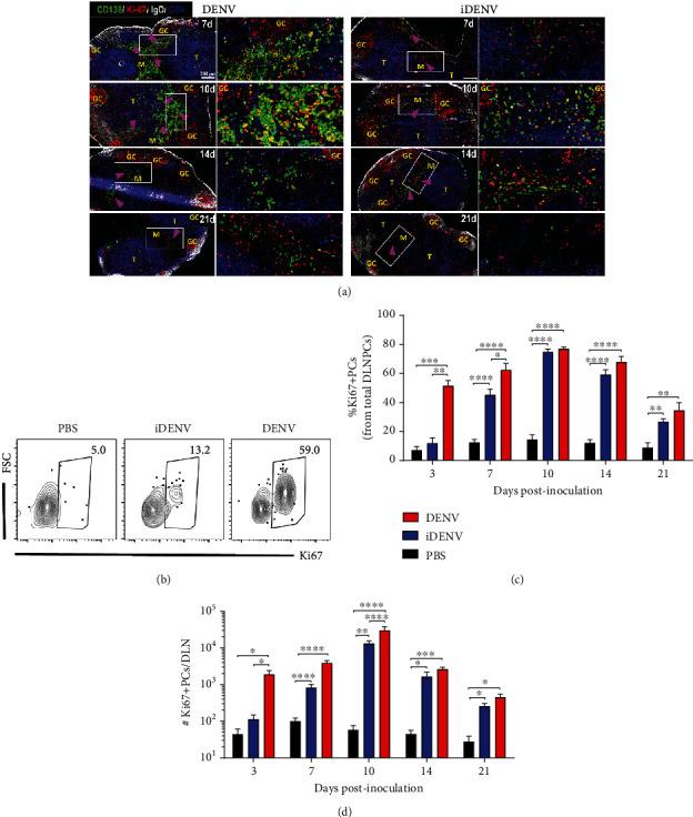
Dengue is a worldwide expanding threat caused by dengue virus (DENV) infection. To date, no specific treatment or effective vaccine is available. Antibodies produced by plasma cells (PCs) might be involved concomitantly in protection and severe dengue immunopathology. Although a massive appearance of PCs has been reported during acute DENV infection in humans, this response has been poorly characterized. Here, we show the dynamic of PC generation in immune-competent mice cutaneously inoculated with DENV compared with two control experimental groups: mice inoculated with inactivated DENV or with PBS. We found that PC numbers increased significantly in the skin-draining lymph node (DLN), peaking at day 10 and abruptly decreasing by day 14 after DENV inoculation. Class-switched IgG PCs appeared from day 7 and dominated the response, while in contrast, the frequency of IgM PCs decreased from day 7 onwards. Even though the kinetic of the response was similar between DENV- and iDENV-inoculated mice, the intensity of the response was significantly different. Interestingly, we demonstrated a similar PC response to virus antigens (E and prM) by ELISPOT. characterization showed that PCs were distributed in the medullary cords and in close proximity to germinal centers (GCs), suggesting both an extrafollicular and a GC origin. Proliferating PCs (Ki-67) were found as early as 3-day postinoculation, and in-depth analysis showed that these PCs were in active phases of cell cycle during the kinetic. Finally, we found a progressive appearance of high-affinity neutralizing DENV-specific IgG further supporting GC involvement. Of note, these antibodies seem to be highly cross-reactive, as a large proportion recognizes Zika virus (ZIKV). The strong PC response to skin-inoculated DENV in this work resembles the findings already described in humans. We consider that this study contributes to the understanding of the biology of the humoral immune response to DENV in an immunocompetent murine model.

摘要

登革热是由登革病毒(DENV)感染引起的全球范围不断扩大的威胁。迄今为止,尚无特效治疗方法或有效的疫苗。浆细胞(PCs)产生的抗体可能同时参与保护和严重登革热免疫病理学。尽管已经报道在人类急性 DENV 感染期间大量出现 PC,但对这种反应的特征描述却很少。在这里,我们展示了与两个对照实验对照组(接种灭活 DENV 或 PBS 的小鼠)相比,免疫功能正常的小鼠经皮接种 DENV 后 PC 生成的动态。我们发现,PC 数量在皮肤引流淋巴结(DLN)中显著增加,在 DENV 接种后第 10 天达到峰值,并在第 14 天急剧下降。从第 7 天开始出现类别转换的 IgG PC,并主导了反应,而相比之下,IgM PC 的频率从第 7 天开始下降。尽管 DENV 和 iDENV 接种小鼠的反应动力学相似,但反应的强度却有很大的不同。有趣的是,我们通过 ELISPOT 证明了对病毒抗原(E 和 prM)的类似 PC 反应。 特征分析表明,PC 分布在髓质索中,并且靠近生发中心(GC),这表明既有滤泡外起源又有 GC 起源。早在接种后 3 天就发现增殖的 PC(Ki-67),深入分析表明,在动力学过程中,这些 PC 处于细胞周期的活跃阶段。最后,我们发现高亲和力中和 DENV 特异性 IgG 的逐渐出现进一步支持 GC 的参与。值得注意的是,这些抗体似乎具有高度的交叉反应性,因为很大一部分抗体识别寨卡病毒(ZIKV)。本工作中皮肤接种 DENV 引起的强烈 PC 反应与已经在人类中描述的发现相似。我们认为,这项研究有助于在免疫功能正常的小鼠模型中理解针对 DENV 的体液免疫反应的生物学。

https://cdn.ncbi.nlm.nih.gov/pmc/blobs/9fb0/8096554/601a66c601aa/JIR2021-5511841.006.jpg
https://cdn.ncbi.nlm.nih.gov/pmc/blobs/9fb0/8096554/d9bb6f570639/JIR2021-5511841.001.jpg
https://cdn.ncbi.nlm.nih.gov/pmc/blobs/9fb0/8096554/504dd60194d4/JIR2021-5511841.002.jpg
https://cdn.ncbi.nlm.nih.gov/pmc/blobs/9fb0/8096554/319124d27b7e/JIR2021-5511841.003.jpg
https://cdn.ncbi.nlm.nih.gov/pmc/blobs/9fb0/8096554/357f628e911c/JIR2021-5511841.004.jpg
https://cdn.ncbi.nlm.nih.gov/pmc/blobs/9fb0/8096554/1398bd8e3e97/JIR2021-5511841.005.jpg
https://cdn.ncbi.nlm.nih.gov/pmc/blobs/9fb0/8096554/601a66c601aa/JIR2021-5511841.006.jpg
https://cdn.ncbi.nlm.nih.gov/pmc/blobs/9fb0/8096554/d9bb6f570639/JIR2021-5511841.001.jpg
https://cdn.ncbi.nlm.nih.gov/pmc/blobs/9fb0/8096554/504dd60194d4/JIR2021-5511841.002.jpg
https://cdn.ncbi.nlm.nih.gov/pmc/blobs/9fb0/8096554/319124d27b7e/JIR2021-5511841.003.jpg
https://cdn.ncbi.nlm.nih.gov/pmc/blobs/9fb0/8096554/357f628e911c/JIR2021-5511841.004.jpg
https://cdn.ncbi.nlm.nih.gov/pmc/blobs/9fb0/8096554/1398bd8e3e97/JIR2021-5511841.005.jpg
https://cdn.ncbi.nlm.nih.gov/pmc/blobs/9fb0/8096554/601a66c601aa/JIR2021-5511841.006.jpg

相似文献

1
Robust Plasma Cell Response to Skin-Inoculated Dengue Virus in Mice.在小鼠中,皮肤接种的登革病毒可引起强烈的浆细胞反应。
J Immunol Res. 2021 Apr 26;2021:5511841. doi: 10.1155/2021/5511841. eCollection 2021.
2
Dengue and Zika virus infections are enhanced by live attenuated dengue vaccine but not by recombinant DSV4 vaccine candidate in mouse models.登革热和 Zika 病毒感染可被减毒活疫苗增强,但在小鼠模型中,重组 DSV4 候选疫苗不会增强登革热感染。
EBioMedicine. 2020 Oct;60:102991. doi: 10.1016/j.ebiom.2020.102991. Epub 2020 Sep 16.
3
Dengue and Zika Virus Domain III-Flagellin Fusion and Glycan-Masking E Antigen for Prime-Boost Immunization.登革热和 Zika 病毒结构域 III-鞭毛蛋白融合和糖基掩蔽 E 抗原用于初次-加强免疫。
Theranostics. 2019 Jul 9;9(16):4811-4826. doi: 10.7150/thno.35919. eCollection 2019.
4
Dengue Virus and Zika Virus Serological Cross-reactivity and Their Impact on Pathogenesis in Mice.登革热病毒和寨卡病毒血清学交叉反应及其对小鼠发病机制的影响。
J Infect Dis. 2019 Jan 7;219(2):223-233. doi: 10.1093/infdis/jiy482.
5
Maternally Acquired Zika Antibodies Enhance Dengue Disease Severity in Mice.母体获得的寨卡抗体增强了小鼠登革热的严重程度。
Cell Host Microbe. 2018 Nov 14;24(5):743-750.e5. doi: 10.1016/j.chom.2018.09.015.
6
Modulation of Dengue/Zika Virus Pathogenicity by Antibody-Dependent Enhancement and Strategies to Protect Against Enhancement in Zika Virus Infection.抗体依赖性增强作用对登革热/寨卡病毒致病性的调节作用及寨卡病毒感染中预防增强作用的策略。
Front Immunol. 2018 Apr 23;9:597. doi: 10.3389/fimmu.2018.00597. eCollection 2018.
7
Dengue Virus Envelope Dimer Epitope Monoclonal Antibodies Isolated from Dengue Patients Are Protective against Zika Virus.从登革热患者中分离出的登革病毒包膜二聚体表位单克隆抗体对寨卡病毒具有保护作用。
mBio. 2016 Jul 19;7(4):e01123-16. doi: 10.1128/mBio.01123-16.
8
Longitudinal Analysis of Antibody Cross-neutralization Following Zika Virus and Dengue Virus Infection in Asia and the Americas.亚洲和美洲寨卡病毒和登革热病毒感染后的抗体交叉中和的纵向分析。
J Infect Dis. 2018 Jul 13;218(4):536-545. doi: 10.1093/infdis/jiy164.
9
Reciprocal immune enhancement of dengue and Zika virus infection in human skin.登革热病毒与寨卡病毒在人体皮肤中的相互免疫增强作用
JCI Insight. 2020 Feb 13;5(3):133653. doi: 10.1172/jci.insight.133653.
10
Zika convalescent macaques display delayed induction of anamnestic cross-neutralizing antibody responses after dengue infection. Zika 恢复期猕猴在登革热感染后表现出迟发性回忆性中和抗体反应的诱导。
Emerg Microbes Infect. 2018 Jul 13;7(1):130. doi: 10.1038/s41426-018-0132-z.

本文引用的文献

1
Implications of antibody-dependent enhancement of infection for SARS-CoV-2 countermeasures.抗体依赖的感染增强对严重急性呼吸综合征冠状病毒2(SARS-CoV-2)应对措施的影响。
Nat Biotechnol. 2020 Jul;38(7):789-791. doi: 10.1038/s41587-020-0577-1.
2
Cutaneous Dengue Virus Inoculation Triggers Strong B Cell Reactions but Contrastingly Poor T Cell Responses.皮肤登革病毒接种引发强烈的 B 细胞反应,但对比之下 T 细胞反应较差。
Virol Sin. 2020 Oct;35(5):575-587. doi: 10.1007/s12250-020-00213-6. Epub 2020 Apr 20.
3
Is antibody-dependent enhancement playing a role in COVID-19 pathogenesis?
抗体依赖增强作用在新冠病毒疾病发病机制中起作用吗?
Swiss Med Wkly. 2020 Apr 16;150:w20249. doi: 10.4414/smw.2020.20249. eCollection 2020 Apr 6.
4
Cross-Reactive Antibodies during Zika Virus Infection: Protection, Pathogenesis, and Placental Seeding.寨卡病毒感染期间的交叉反应性抗体:保护、发病机制和胎盘定植。
Cell Host Microbe. 2020 Jan 8;27(1):14-24. doi: 10.1016/j.chom.2019.12.003.
5
Vaccine-attributable severe dengue in the Philippines.菲律宾疫苗所致的严重登革热
Lancet. 2019 Dec 14;394(10215):2151-2152. doi: 10.1016/S0140-6736(19)32525-5.
6
Cross-Reaction, Enhancement, and Neutralization Activity of Dengue Virus Antibodies against Zika Virus: A Study in the Mexican Population.登革热病毒抗体对寨卡病毒的交叉反应、增强和中和活性:墨西哥人群的研究。
J Immunol Res. 2019 Sep 2;2019:7239347. doi: 10.1155/2019/7239347. eCollection 2019.
7
Class-Switch Recombination Occurs Infrequently in Germinal Centers.类别转换重组在生发中心很少发生。
Immunity. 2019 Aug 20;51(2):337-350.e7. doi: 10.1016/j.immuni.2019.07.001. Epub 2019 Jul 30.
8
The possible role of cross-reactive dengue virus antibodies in Zika virus pathogenesis.交叉反应性登革热病毒抗体在寨卡病毒发病机制中的可能作用。
PLoS Pathog. 2019 Apr 18;15(4):e1007640. doi: 10.1371/journal.ppat.1007640. eCollection 2019 Apr.
9
Identification of a new subset of lymph node stromal cells involved in regulating plasma cell homeostasis.鉴定参与调节浆细胞内稳态的新的淋巴结基质细胞亚群。
Proc Natl Acad Sci U S A. 2018 Jul 17;115(29):E6826-E6835. doi: 10.1073/pnas.1712628115. Epub 2018 Jul 2.
10
Use of Urea Wash ELISA to Distinguish Zika and Dengue Virus Infections.采用尿素洗 ELISA 法鉴别 Zika 和登革热病毒感染。
Emerg Infect Dis. 2018 Jul;24(7):1355-1359. doi: 10.3201/eid2407.171170.