• 文献检索
  • 文档翻译
  • 深度研究
  • 学术资讯
  • Suppr Zotero 插件Zotero 插件
  • 邀请有礼
  • 套餐&价格
  • 历史记录
应用&插件
Suppr Zotero 插件Zotero 插件浏览器插件Mac 客户端Windows 客户端微信小程序
定价
高级版会员购买积分包购买API积分包
服务
文献检索文档翻译深度研究API 文档MCP 服务
关于我们
关于 Suppr公司介绍联系我们用户协议隐私条款
关注我们

Suppr 超能文献

核心技术专利:CN118964589B侵权必究
粤ICP备2023148730 号-1Suppr @ 2026

文献检索

告别复杂PubMed语法,用中文像聊天一样搜索,搜遍4000万医学文献。AI智能推荐,让科研检索更轻松。

立即免费搜索

文件翻译

保留排版,准确专业,支持PDF/Word/PPT等文件格式,支持 12+语言互译。

免费翻译文档

深度研究

AI帮你快速写综述,25分钟生成高质量综述,智能提取关键信息,辅助科研写作。

立即免费体验

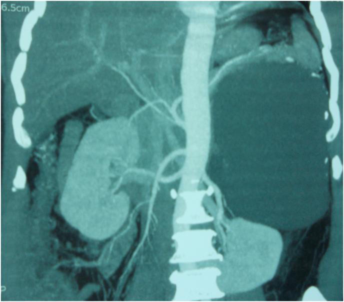
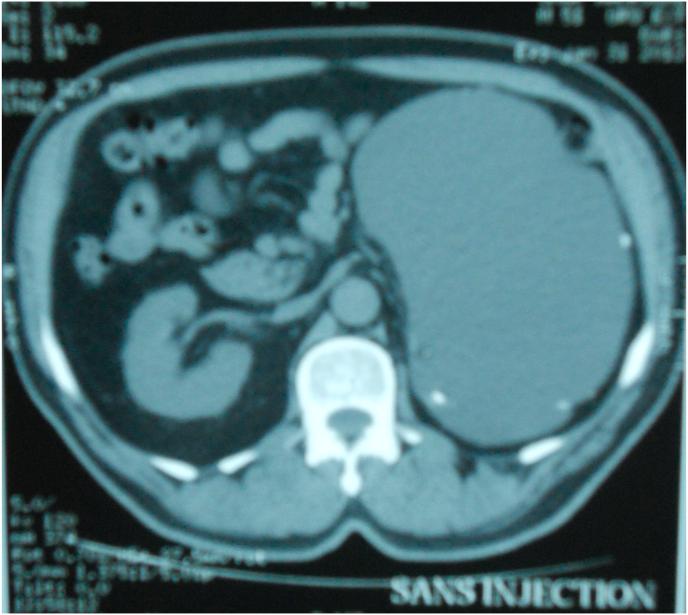
一例巨大肾上腺囊肿病例。

A case of a giant adrenal cyst.

作者信息

Chaabouni Ahmed, Samet Ahmed, Harbi Houcem, Fourati Mohamed, Rebai Nouri, Hadjslimene Mourad

机构信息

Urology Department, Academic Hospital Habib Bourguiba, Sfax, Tunisia.

General Surgery Department, Academic Hospital Habib Bourguiba, Sfax, Tunisia.

出版信息

Urol Case Rep. 2021 May 19;38:101725. doi: 10.1016/j.eucr.2021.101725. eCollection 2021 Sep.

DOI:10.1016/j.eucr.2021.101725
PMID:34040994
原文链接:https://pmc.ncbi.nlm.nih.gov/articles/PMC8144655/
Abstract

Giant adrenal cysts represent rare clinical entities that are usually discovered incidentally. Here, we describe a patient who presented with nonspecific upper abdominal left pain. Imaging studies revealed a huge left adrenal cyst. Routine laboratory tests and endocrine function tests were all normal. The patient underwent surgery, and the cyst was completely removed with total adrenalectomy. Histological examination revealed a benign epithelial adrenal cyst.The postoperative course was uneventful and the patient had no evidence of recurrence during a 3-year follow-up. We discuss the diagnosis and management of adrenal cysts.

摘要

巨大肾上腺囊肿是罕见的临床病症,通常为偶然发现。在此,我们描述一名出现非特异性左上腹疼痛的患者。影像学检查发现一个巨大的左肾上腺囊肿。常规实验室检查和内分泌功能检查均正常。该患者接受了手术,囊肿通过肾上腺全切术被完全切除。组织学检查显示为良性肾上腺上皮囊肿。术后过程顺利,患者在3年随访期间无复发迹象。我们讨论了肾上腺囊肿的诊断和处理。

https://cdn.ncbi.nlm.nih.gov/pmc/blobs/9a6b/8144655/cf9d5ff9dc59/gr3.jpg
https://cdn.ncbi.nlm.nih.gov/pmc/blobs/9a6b/8144655/b4ef00e5aa12/gr1.jpg
https://cdn.ncbi.nlm.nih.gov/pmc/blobs/9a6b/8144655/3bcd1a9ca10c/gr2.jpg
https://cdn.ncbi.nlm.nih.gov/pmc/blobs/9a6b/8144655/cf9d5ff9dc59/gr3.jpg
https://cdn.ncbi.nlm.nih.gov/pmc/blobs/9a6b/8144655/b4ef00e5aa12/gr1.jpg
https://cdn.ncbi.nlm.nih.gov/pmc/blobs/9a6b/8144655/3bcd1a9ca10c/gr2.jpg
https://cdn.ncbi.nlm.nih.gov/pmc/blobs/9a6b/8144655/cf9d5ff9dc59/gr3.jpg

相似文献

1
A case of a giant adrenal cyst.一例巨大肾上腺囊肿病例。
Urol Case Rep. 2021 May 19;38:101725. doi: 10.1016/j.eucr.2021.101725. eCollection 2021 Sep.
2
Giant Adrenal Cyst: A Case Report.巨大肾上腺囊肿:一例报告
Cureus. 2023 Apr 3;15(4):e37086. doi: 10.7759/cureus.37086. eCollection 2023 Apr.
3
Giant hemorrhagic adrenal pseudocyst in a primiparous pregnancy: report of a case.初产妇妊娠中巨大出血性肾上腺假性囊肿 1 例报告
Surg Today. 2011 Jan;41(1):153-8. doi: 10.1007/s00595-009-4207-2. Epub 2010 Dec 30.
4
Giant adrenal pseudocyst presenting with gastric outlet obstruction and hypertension.巨大肾上腺假性囊肿伴胃出口梗阻和高血压。
Urology. 2002 Jun;59(6):946. doi: 10.1016/s0090-4295(02)01617-5.
5
A giant lymphatic cyst of the adrenal gland: report of a rare case and review of the literature.肾上腺巨大淋巴管瘤:1例罕见病例报告及文献复习
Int Surg. 2015 Jan;100(1):2-8. doi: 10.9738/INTSURG-D-14-00125.1.
6
Adrenal epithelial cyst: a case report.
Pathologica. 2012 Apr;104(2):82-4.
7
All Those Liver Masses are not Necessarily from the Liver: A Case of a Giant Adrenal Pseudocyst Mimicking a Hepatic Cyst.并非所有肝脏肿物都源于肝脏:一例酷似肝囊肿的巨大肾上腺假性囊肿病例
Am J Case Rep. 2015 Jun 2;16:333-7. doi: 10.12659/AJCR.893798.
8
Unusual cause of chronic abdominal pain in a 17-year-old female: a case report of an epithelial adrenal cyst.一名17岁女性慢性腹痛的罕见病因:一例肾上腺上皮样囊肿病例报告
J Surg Case Rep. 2023 Sep 16;2023(9):rjad510. doi: 10.1093/jscr/rjad510. eCollection 2023 Sep.
9
Large adrenal pseudocyst presenting with epigastric distress and abdominal distention.巨大肾上腺假性囊肿伴上腹部不适和腹胀。
Med Princ Pract. 2005 Jul-Aug;14(4):284-7. doi: 10.1159/000085752.
10
Endothelial cyst of the adrenal gland: A rare case report.肾上腺内皮囊肿:一例罕见病例报告。
SAGE Open Med Case Rep. 2024 Jun 13;12:2050313X241261510. doi: 10.1177/2050313X241261510. eCollection 2024.

引用本文的文献

1
Curious Case of a Giant Retroperitoneal Cyst.巨大腹膜后囊肿的罕见病例
Cureus. 2024 Jan 6;16(1):e51758. doi: 10.7759/cureus.51758. eCollection 2024 Jan.
2
Giant Adrenal Cyst: A Case Report.巨大肾上腺囊肿:一例报告
Cureus. 2023 Apr 3;15(4):e37086. doi: 10.7759/cureus.37086. eCollection 2023 Apr.

本文引用的文献

1
Imaging features of benign adrenal cysts.良性肾上腺囊肿的影像学特征。
Eur J Radiol. 2006 Dec;60(3):465-9. doi: 10.1016/j.ejrad.2006.08.005. Epub 2006 Sep 7.
2
Laparoscopic management of symptomatic and large adrenal cysts.有症状的大型肾上腺囊肿的腹腔镜治疗
J Urol. 2005 Mar;173(3):915-7. doi: 10.1097/01.ju.0000152177.35204.70.