Suppr超能文献

COVID-19 急性呼吸窘迫综合征的组织病理学特征。

Histopathological features in fatal COVID-19 acute respiratory distress syndrome.

机构信息

Service de Médecine Intensive - Réanimation, Nouvel Hôpital Civil, Hôpitaux Universitaires de Strasbourg, Strasbourg, France; INSERM (French National Institute of Health and Medical Research), UMR 1260, Regenerative Nanomedicine (RNM), FMTS, Strasbourg, France.

Département de Pathologie, Hôpitaux Universitaires de Strasbourg, Strasbourg, France.

出版信息

Med Intensiva (Engl Ed). 2021 Jun-Jul;45(5):261-270. doi: 10.1016/j.medine.2021.02.005.

Abstract

BACKGROUND

COVID-19 acute respiratory distress syndrome (ARDS) shares the common histological hallmarks with other forms of ARDS. However, the chronology of the histological lesions has not been well established.

OBJECTIVE

To describe the chronological histopathological alterations in the lungs of patients with COVID-19 related ARDS.

DESIGN

A prospective cohort study was carried out.

SETTING

Intensive Care Unit of a tertiary hospital.

PATIENTS

The first 22 consecutive COVID-19 deaths.

MEASUREMENTS

Lung biopsies and histopathological analyses were performed in deceased patients with COVID-19 related ARDS. Clinical data and patient course were evaluated.

RESULTS

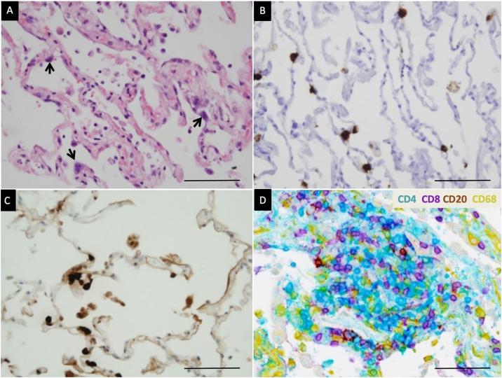
The median patient age was 66 [63-74] years; 73% were males. The median duration of mechanical ventilation was 17 [8-24] days. COVID-19 induced pulmonary injury was characterized by an exudative phase in the first week of the disease, followed by a proliferative/organizing phase in the second and third weeks, and finally an end-stage fibrosis phase after the third week. Viral RNA and proteins were detected in pneumocytes and macrophages in a very early stage of the disease, and were no longer detected after the second week.

LIMITATION

Limited sample size.

CONCLUSIONS

The chronological evolution of COVID-19 lung histopathological lesions seems to be similar to that seen in other forms of ARDS. In particular, lung lesions consistent with potentially corticosteroid-sensitive lesions are seen.

摘要

背景

COVID-19 急性呼吸窘迫综合征(ARDS)与其他形式的 ARDS 具有共同的组织学特征。然而,组织学病变的发生顺序尚未得到很好的确定。

目的

描述 COVID-19 相关 ARDS 患者肺部的组织病理学变化的时间顺序。

设计

前瞻性队列研究。

地点

一家三级医院的重症监护病房。

患者

22 例连续的 COVID-19 死亡患者。

测量

对 COVID-19 相关 ARDS 死亡患者进行肺活检和组织病理学分析。评估临床数据和患者病程。

结果

患者的中位年龄为 66 [63-74] 岁;73%为男性。机械通气的中位时间为 17 [8-24] 天。COVID-19 诱导的肺损伤在疾病的第一周表现为渗出期,第二和第三周表现为增殖/修复期,第三周后表现为终末期纤维化期。在疾病的早期阶段,病毒 RNA 和蛋白在肺细胞和巨噬细胞中被检测到,在第二周后不再被检测到。

局限性

样本量有限。

结论

COVID-19 肺部组织病理学病变的时间演变似乎与其他形式的 ARDS 相似。特别是,观察到与潜在的皮质类固醇敏感病变一致的肺部病变。

https://cdn.ncbi.nlm.nih.gov/pmc/blobs/3351/8161799/6a6a440a015c/gr1_lrg.jpg

文献AI研究员

20分钟写一篇综述,助力文献阅读效率提升50倍。

立即体验

用中文搜PubMed

大模型驱动的PubMed中文搜索引擎

马上搜索

文档翻译

学术文献翻译模型,支持多种主流文档格式。

立即体验