Suppr超能文献

鉴定和功能分析可在莱姆病螺旋体伯氏疏螺旋体中形成胆固醇糖脂的半乳糖基转移酶。

Identification and functional analysis of a galactosyltransferase capable of cholesterol glycolipid formation in the Lyme disease spirochete Borrelia burgdorferi.

机构信息

Department of Microbiology, Immunology and Pathology, Colorado State University, Fort Collins, United States of America.

出版信息

PLoS One. 2021 Jun 1;16(6):e0252214. doi: 10.1371/journal.pone.0252214. eCollection 2021.

Abstract

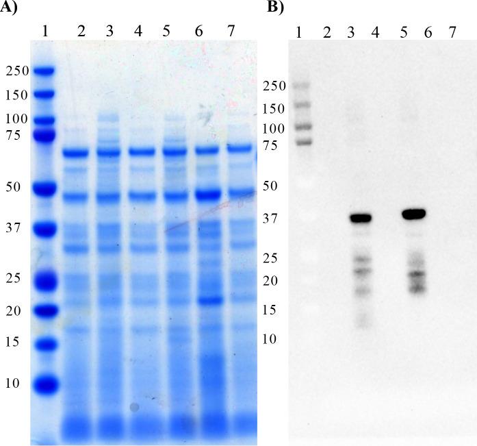
Borrelia burgdorferi (Bb), the etiological agent of Lyme disease, produces a series of simple glycolipids where diacylglycerol and cholesterol serve as the precursor. The cholesterol-based glycolipids, cholesteryl 6-O-acyl-β-D-galactopyranoside (ACGal) and cholesteryl-β-D-galactopyranoside (CGal) are immunogenic and proposed to contribute to the pathogenesis of Lyme disease. Detailed studies of CGal and ACGal in Bb have been hampered by a lack of knowledge of their underlying biosynthetic processes. The genome of Bb encodes four putative glycosyltransferases, and only one of these, BB0572, was predicted to be an inverting family 2 glycosyltransferase (GT2 enzyme) capable of using UDP-galactose as a substrate and forming a β-glycosidic bond. Comparison of the 42 kDa BB0572 amino acid sequence from Bb with other Borrelia spp demonstrates that this protein is highly conserved. To establish BB0572 as the galactosyltransferase capable of cholesterol glycolipid formation in Bb, the protein was produced as a recombinant product in Escherichia coli and tested in a cell-free assay with 14C-cholesterol and UDP-galactose as the substrates. This experiment resulted in a radiolabeled lipid that migrated with the cholesterol glycolipid standard of CGal when evaluated by thin layer chromatography. Additionally, mutation in the predicted active site of BB0572 resulted in a recombinant protein that was unable to catalyze the formation of the cholesterol glycolipid. These data characterize BB0572 as a putative cholesterol galactosyltransferase. This provides the first step in understanding how Bb cholesterol glycolipids are formed and will allow investigations into their involvement in pathogen transmission and disease development.

摘要

伯氏疏螺旋体(Bb)是莱姆病的病原体,它产生一系列简单的糖脂,其中二酰基甘油和胆固醇作为前体。基于胆固醇的糖脂,胆甾基 6-O-酰基-β-D-半乳糖吡喃糖苷(ACGal)和胆甾基-β-D-半乳糖吡喃糖苷(CGal)具有免疫原性,被认为有助于莱姆病的发病机制。由于缺乏对其潜在生物合成过程的了解,对 Bb 中 CGal 和 ACGal 的详细研究受到了阻碍。Bb 的基因组编码了四个推定的糖基转移酶,其中只有一个,即 BB0572,被预测为能够使用 UDP-半乳糖作为底物并形成β-糖苷键的反转家族 2 糖基转移酶(GT2 酶)。将 Bb 中 42 kDa 的 BB0572 氨基酸序列与其他伯氏疏螺旋体 spp 进行比较表明,该蛋白高度保守。为了确定 BB0572 是能够在 Bb 中形成胆固醇糖脂的半乳糖基转移酶,该蛋白在大肠杆菌中作为重组产物产生,并在无细胞测定中使用 14C-胆固醇和 UDP-半乳糖作为底物进行测试。该实验导致放射性标记的脂质在薄层层析评估时与 CGal 的胆固醇糖脂标准品迁移。此外,在 BB0572 的预测活性位点突变导致重组蛋白无法催化胆固醇糖脂的形成。这些数据将 BB0572 表征为一种推定的胆固醇半乳糖基转移酶。这是了解 Bb 胆固醇糖脂如何形成的第一步,并将允许对其在病原体传播和疾病发展中的作用进行研究。

https://cdn.ncbi.nlm.nih.gov/pmc/blobs/8dad/8168883/97b6762694d5/pone.0252214.g001.jpg

文献检索

告别复杂PubMed语法,用中文像聊天一样搜索,搜遍4000万医学文献。AI智能推荐,让科研检索更轻松。

立即免费搜索

文件翻译

保留排版,准确专业,支持PDF/Word/PPT等文件格式,支持 12+语言互译。

免费翻译文档

深度研究

AI帮你快速写综述,25分钟生成高质量综述,智能提取关键信息,辅助科研写作。

立即免费体验