Suppr超能文献

原发性结肠淋巴瘤:两例报告及文献复习。

Primary colonic lymphoma: report of two cases and a literature review.

机构信息

Department of Colorectal Surgery, Sir Run Run Shaw Hospital, School of Medicine, Zhejiang University, Hangzhou, China.

Department of Colorectal Surgery, Zhuji People's Hospital of Zhejiang Province, China.

出版信息

J Int Med Res. 2021 Jun;49(6):3000605211017037. doi: 10.1177/03000605211017037.

Abstract

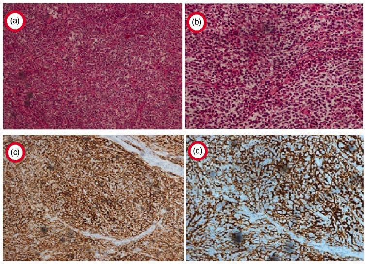
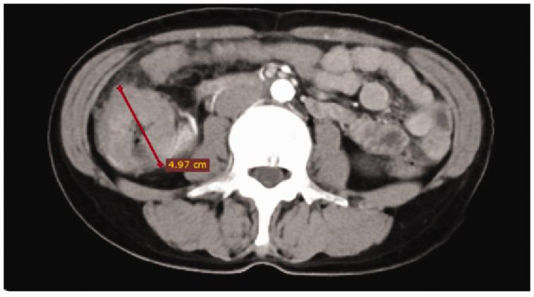
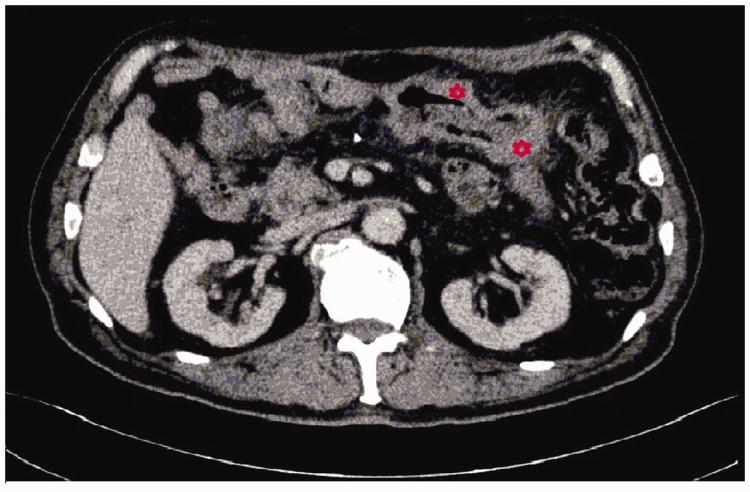
Primary colonic lymphoma is a very rare malignant tumor with no standard treatment. We report two cases of primary colonic lymphoma successfully treated with surgery and chemotherapy, and chemotherapy alone, respectively. The first case was a 61-year-old woman who presented with abdominal pain of more than 1 month. The patient was diagnosed with a colonic tumor, and immunohistochemical examinations confirmed the initial diagnosis of colonic lymphoma. The patient underwent laparoscopic-assisted right hemicolectomy followed by postoperative adjuvant chemotherapy with the cyclophosphamide, doxorubicin, vincristine, and prednisone (CHOP) regimen, combined with targeted therapy with rituximab (R-CHOP). The second case was a 78-year-old man who presented with a complaint of abdominal distention for more than 1 year. Diffuse large B-cell lymphoma was definitively diagnosed by immunohistochemical examinations, and the patient underwent systemic chemotherapy with the R-CHOP regimen. Primary colonic lymphoma is a rare type of non-Hodgkin's lymphoma (NHL), and the clinical treatment is not standardized, unlike for many other types of lymphoma. Therefore, treatment is mainly based on the patient's symptoms to determine whether surgery or systemic chemotherapy is appropriate. Rituximab is effective in some patients and may play an important role in the treatment of unresectable or asymptomatic colonic lymphoma.

摘要

原发性结肠淋巴瘤是一种非常罕见的恶性肿瘤,目前尚无标准的治疗方法。我们报告了两例成功接受手术和化疗以及单纯化疗治疗的原发性结肠淋巴瘤病例。第一例为 61 岁女性,因腹痛 1 个月余就诊。患者被诊断为结肠肿瘤,免疫组化检查明确为结肠淋巴瘤的初步诊断。患者接受了腹腔镜辅助右半结肠切除术,术后采用环磷酰胺、多柔比星、长春新碱和泼尼松(CHOP)方案辅助化疗,并联合利妥昔单抗(R-CHOP)进行靶向治疗。第二例为 78 岁男性,因腹胀 1 年余就诊。免疫组化检查明确诊断为弥漫性大 B 细胞淋巴瘤,患者接受了 R-CHOP 方案的全身化疗。原发性结肠淋巴瘤是一种罕见的非霍奇金淋巴瘤(NHL),其临床治疗方法不规范,与许多其他类型的淋巴瘤不同。因此,治疗主要根据患者的症状来确定是否适合手术或全身化疗。利妥昔单抗对一些患者有效,可能在治疗不可切除或无症状的结肠淋巴瘤中发挥重要作用。

https://cdn.ncbi.nlm.nih.gov/pmc/blobs/f90a/8182193/7ed577c44f1c/10.1177_03000605211017037-fig1.jpg

文献AI研究员

20分钟写一篇综述,助力文献阅读效率提升50倍。

立即体验

用中文搜PubMed

大模型驱动的PubMed中文搜索引擎

马上搜索

文档翻译

学术文献翻译模型,支持多种主流文档格式。

立即体验