Suppr超能文献

急性脑病伴癫痫持续状态和后期弥散受限的婴儿右侧偏瘫(AESD):病例报告。

Infant with right hemiplegia due to acute encephalopathy with biphasic seizures and late reduced diffusion (AESD): A case report.

机构信息

Division of Rehabilitation Medicine, University of Fukui Hospital.

Department of Orthopaedics and Rehabilitation Medicine.

出版信息

Medicine (Baltimore). 2021 Jun 4;100(22):e25468. doi: 10.1097/MD.0000000000025468.

Abstract

RATIONALE

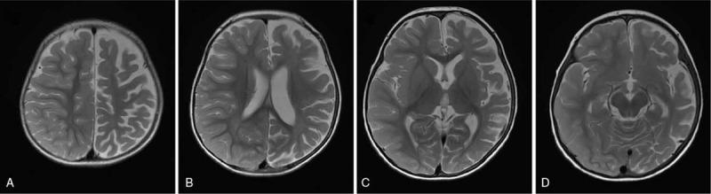
Acute encephalopathy with biphasic seizures and late reduced diffusion (AESD) is a condition characterized by biphasic convulsions and disturbance of consciousness. In Japan, the most common pediatric cases of acute encephalopathy are associated with infection. AESD usually occurs in early childhood, with the characteristic magnetic resonance imaging (MRI) appearance called "bright tree appearance." The disease often has neurological sequelae and interferes with the schooling of children and their activities of daily living; however, there are few clinical case reports of hemiplegia caused by AESD.

PATIENT CONCERNS

A case with right-sided hemiplegia due to AESD in an 11-month-old girl who was followed up to 30 mo of age.

DIAGNOSES

The patient was diagnosed with overlap AESD and hemiconvulsion-hemiplegia-epilepsy syndrome (HHE syndrome), based on the clinical course and imaging findings. DNA tests of her blood and cerebrospinal fluid revealed the presence of human herpesvirus 6.

INTERVENTIONS

Pharmacotherapy and rehabilitation therapy.

OUTCOME

Gross motor function has recovered considerably, but she had a mild developmental delay at 30 mo old.

LESSONS

Hemiplegia due to AESD was extremely rare, and appropriate rehabilitation treatment resulted in recovery of physical function. However, as mild developmental delay was observed, the patient was referred to a specialized facility before entering school.

摘要

背景

急性脑病伴双相抽搐和后期弥散受限(AESD)是一种以双相抽搐和意识障碍为特征的疾病。在日本,最常见的小儿急性脑病与感染有关。AESD 通常发生在幼儿期,具有称为“亮树征”的特征性磁共振成像(MRI)表现。该疾病常伴有神经后遗症,影响儿童的学业和日常生活活动;然而,AESD 引起偏瘫的临床病例报告很少。

病例介绍

一名 11 个月大的女孩因 AESD 出现右侧偏瘫,随访至 30 个月。

诊断

根据临床过程和影像学发现,患者被诊断为重叠 AESD 和偏侧惊厥-偏瘫-癫痫综合征(HHE 综合征)。对其血液和脑脊液进行 DNA 检测发现存在人类疱疹病毒 6。

干预措施

药物治疗和康复治疗。

结果

粗大运动功能恢复良好,但在 30 个月时仍有轻度发育迟缓。

教训

AESD 引起的偏瘫极为罕见,适当的康复治疗可恢复身体功能。然而,由于观察到轻度发育迟缓,在入学前,患者被转介到专门的机构。

https://cdn.ncbi.nlm.nih.gov/pmc/blobs/98df/8183818/67ef66c89948/medi-100-e25468-g001.jpg

文献AI研究员

20分钟写一篇综述,助力文献阅读效率提升50倍。

立即体验

用中文搜PubMed

大模型驱动的PubMed中文搜索引擎

马上搜索

文档翻译

学术文献翻译模型,支持多种主流文档格式。

立即体验