Suppr超能文献

机器人辅助胰体尾切除术联合脾切除术治疗胰腺内肝细胞癌:1例报告并文献复习

Robotic Distal Pancreatectomy and Splenectomy for an Intrapancreatic Hepatocellular Carcinoma: A Case Report and Review of the Literature.

作者信息

Vining Charles C, Hsu Phillip J, Schuitevoerder Darryl, Joseph Nora E, Hogg Melissa E

机构信息

Department of Surgery, University of Chicago, Chicago, Illinois, USA.

Medical Scientist Training Program, University of Chicago, Chicago, Illinois, USA.

出版信息

J Pancreat Cancer. 2020 Oct 27;6(1):96-101. doi: 10.1089/pancan.2020.0009. eCollection 2020.

Abstract

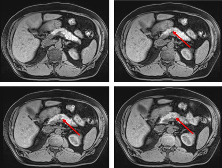
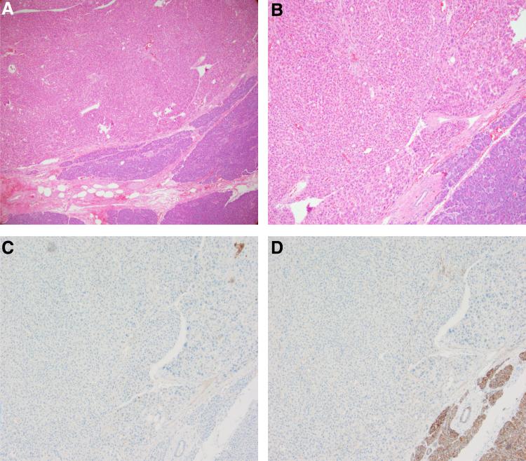
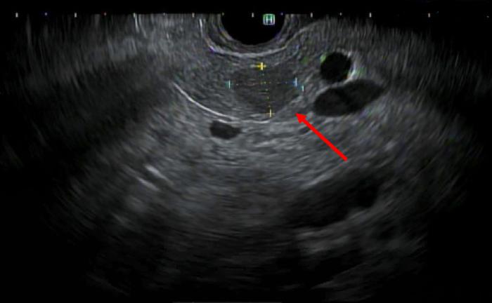
Liver parenchyma that resides outside of the normal hepatic confines is defined as accessory liver if in communication with the native biliary tree, or ectopic liver (EL) if it is not. EL can develop in a variety of tissues, including but not limited to the gallbladder, the hepatic ligaments, the pancreas, and retroperitoneum. EL has an increased propensity for malignant degeneration resulting in hepatocellular carcinoma (HCC). A 67-year-old Korean male presented with epigastric discomfort and was found to have an elevation in his transaminases. Cross-sectional imaging demonstrated a 1.3 cm solid mass in the body of the pancreas with features concerning for either a pancreatic ductal adenocarcinoma or pancreatic neuroendocrine tumor. Subsequent endoscopic ultrasound and fine needle aspiration demonstrated cells of epithelial origin with hepatocellular differentiation. A robotic-assisted distal pancreatectomy and splenectomy was performed with final pathology demonstrating a well-differentiated HCC. EL with malignant degeneration resulting in HCC requires surgical excision. The majority of patients reported with EL resulting in HCC in the pancreas have had the tumors located in the body and tail. Therefore, definitive treatment requires distal pancreatectomy and splenectomy. Herein, we describe the presentation, workup, and definitive treatment of HCC arising in the pancreas.

摘要

位于正常肝脏边界之外的肝实质,如果与天然胆管树相通,则定义为副肝;如果不相通,则定义为异位肝(EL)。EL可发生于多种组织,包括但不限于胆囊、肝韧带、胰腺和腹膜后。EL发生恶性变导致肝细胞癌(HCC)的倾向增加。一名67岁的韩国男性因上腹部不适就诊,发现转氨酶升高。横断面成像显示胰腺体部有一个1.3厘米的实性肿块,其特征提示为胰腺导管腺癌或胰腺神经内分泌肿瘤。随后的内镜超声和细针穿刺显示为具有肝细胞分化的上皮来源细胞。行机器人辅助远端胰腺切除术和脾切除术,最终病理显示为高分化HCC。发生恶性变导致HCC的EL需要手术切除。大多数报道的胰腺EL导致HCC的患者,肿瘤位于体部和尾部。因此,明确的治疗需要远端胰腺切除术和脾切除术。在此,我们描述了胰腺HCC的临床表现、检查和明确治疗。

https://cdn.ncbi.nlm.nih.gov/pmc/blobs/e952/8175251/7dc071c341e7/pancan.2020.0009_figure1.jpg

文献AI研究员

20分钟写一篇综述,助力文献阅读效率提升50倍。

立即体验

用中文搜PubMed

大模型驱动的PubMed中文搜索引擎

马上搜索

文档翻译

学术文献翻译模型,支持多种主流文档格式。

立即体验