Suppr超能文献

牛磺酸通过调节 Toll 样受体 4/核因子 kappa B 信号通路改善硫代乙酰胺诱导的大鼠肝纤维化。

Taurine ameliorates thioacetamide induced liver fibrosis in rats via modulation of toll like receptor 4/nuclear factor kappa B signaling pathway.

机构信息

Department of Pharmaceutical Sciences, College of Clinical Pharmacy, King Faisal University, Al-Ahsa, Kingdom of Saudi Arabia.

Department of Pharmacology, Zagazig University, Zagazig, Egypt.

出版信息

Sci Rep. 2021 Jun 10;11(1):12296. doi: 10.1038/s41598-021-91666-6.

Abstract

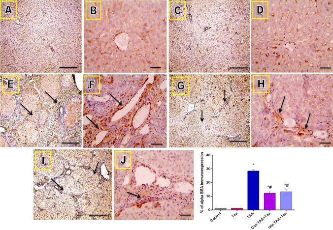
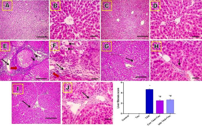
Liver fibrosis is a significant health problem that can cause serious illness and death. Unfortunately, a standard treatment for liver fibrosis has not been approved yet due to its complicated pathogenesis. The current study aimed at assessing the anti-fibrotic effect of taurine against thioacetamide induced liver fibrosis in rats through the modulation of toll like receptor 4/nuclear factor kappa B signaling pathway. Both concomitant and late taurine treatment (100 mg/kg, IP, daily) significantly reduced the rise in serum ALT and AST activities and significantly reversed the decrease in serum albumin and total protein. These results were confirmed by histopathological examinations and immunehistochemical inspection of α-SMA, caspase-3 and NF-κB. The antioxidant potential of taurine was verified by a marked increase of GSH content and a reduction of MDA level in liver tissue. The anti-fibrotic effects of taurine were evaluated by investigating the expression of TLR4, NF-κB. The protein levels of IL-6, LPS, MyD88, MD2, CD14, TGF-β1 and TNF-α were determined. Docking studies were carried out to understand how taurine interacts inside TLR4-MD2 complex and it showed good binding with the hydrophobic binding site of MD2. We concluded that the anti-fibrotic effect of taurine was attributable to the modulation of the TLR4/NF-κB signaling.

摘要

肝纤维化是一个严重的健康问题,可导致严重的疾病和死亡。不幸的是,由于其复杂的发病机制,尚未批准治疗肝纤维化的标准治疗方法。本研究旨在通过调节 toll 样受体 4/核因子 kappa B 信号通路,评估牛磺酸对硫代乙酰胺诱导的大鼠肝纤维化的抗纤维化作用。同时和晚期牛磺酸治疗(100mg/kg,IP,每日)显著降低血清 ALT 和 AST 活性的升高,并显著逆转血清白蛋白和总蛋白的降低。这些结果通过组织病理学检查和 α-SMA、caspase-3 和 NF-κB 的免疫组织化学检查得到证实。牛磺酸的抗氧化潜力通过肝组织中 GSH 含量的显著增加和 MDA 水平的降低得到验证。通过研究 TLR4、NF-κB 的表达来评估牛磺酸的抗纤维化作用。还测定了 IL-6、LPS、MyD88、MD2、CD14、TGF-β1 和 TNF-α的蛋白水平。进行对接研究以了解牛磺酸如何在 TLR4-MD2 复合物内相互作用,结果表明它与 MD2 的疏水结合位点具有良好的结合性。我们得出结论,牛磺酸的抗纤维化作用归因于 TLR4/NF-κB 信号的调节。

https://cdn.ncbi.nlm.nih.gov/pmc/blobs/2862/8192756/cedc838443d3/41598_2021_91666_Fig1_HTML.jpg

文献检索

告别复杂PubMed语法,用中文像聊天一样搜索,搜遍4000万医学文献。AI智能推荐,让科研检索更轻松。

立即免费搜索

文件翻译

保留排版,准确专业,支持PDF/Word/PPT等文件格式,支持 12+语言互译。

免费翻译文档

深度研究

AI帮你快速写综述,25分钟生成高质量综述,智能提取关键信息,辅助科研写作。

立即免费体验