Suppr超能文献

鬼笔环肽诱导培养细胞胞质中的肌动蛋白聚合,干扰细胞运动和生长。

Phalloidin-induced actin polymerization in the cytoplasm of cultured cells interferes with cell locomotion and growth.

作者信息

Wehland J, Osborn M, Weber K

出版信息

Proc Natl Acad Sci U S A. 1977 Dec;74(12):5613-7. doi: 10.1073/pnas.74.12.5613.

Abstract

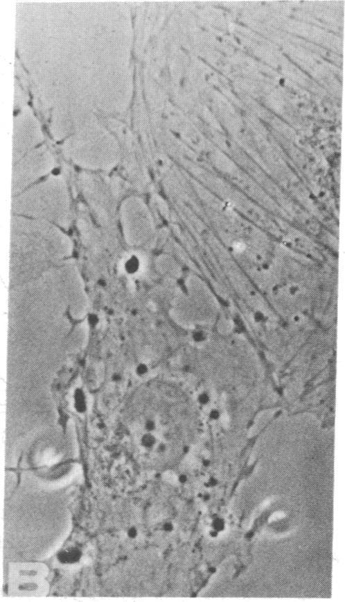
Phalloidin, the toxic drug from the mushroom Amanita phalloides, was injected into the cytoplasm of tissue culture cells and the changes in intracellular actin distribution were followed by immunofluorescence microscopy with actin antibody. At low concentrations, phalloidin recruits the non- or less highly polymerized forms of cytoplasmic actin into stable "islands" of aggregated actin polymers and does not interfere with the preexisting thick bundles of microfilaments (stress fibers). Differential focusing shows that these islands of phalloidin-induced actin polymers occur at a level in the cytoplasm that is above the submembranous bundles of microfilaments present on the adhesive side of the cells. The pattern of cytoplasmic microtubules remains unaffected by the injection of phalloidin; however, filamin, a protein usually associated with actin in the cytoplasm, is also recruited into the islands. At higher phalloidin concentrations, contraction of the cell is observed. These results are discussed in the light of previous biochemical studies by Wieland and Faulstich and their coworkers [for a review see Wieland, T. (1977) Naturwissenschaften 64, 303-309] on the in vitro interaction of phalloidin with muscle actin, which have documented that phalloidin reacts stoichiometrically with actin, promotes actin polymerization, and stabilizes actin polymers. In addition, we show that microinjection of phalloidin interferes in a concentration-dependent manner with cell locomotion and cell growth. These results indicate that a well-balanced controlled reversible equilibrium between different polymerization states of actin may be a necessary requirement for cell locomotion and may also influence other cellular functions such as growth.

摘要

将来自毒蝇伞的有毒药物鬼笔环肽注射到组织培养细胞的细胞质中,然后用肌动蛋白抗体通过免疫荧光显微镜观察细胞内肌动蛋白分布的变化。在低浓度下,鬼笔环肽将细胞质中未聚合或聚合程度较低的肌动蛋白形式募集到聚合肌动蛋白聚合物的稳定“岛”中,并且不干扰预先存在的粗微丝束(应力纤维)。差异聚焦显示,这些由鬼笔环肽诱导的肌动蛋白聚合物岛出现在细胞质中的一个水平,该水平高于细胞黏附侧存在的膜下微丝束。细胞质微管的模式不受鬼笔环肽注射的影响;然而,细丝蛋白(一种通常在细胞质中与肌动蛋白相关的蛋白质)也被募集到这些岛中。在较高的鬼笔环肽浓度下,观察到细胞收缩。根据维兰德和福尔施蒂希及其同事之前的生化研究[综述见维兰德,T.(1977年)《自然科学》64,303 - 309],对鬼笔环肽与肌肉肌动蛋白的体外相互作用进行了讨论,这些研究记录了鬼笔环肽与肌动蛋白按化学计量反应,促进肌动蛋白聚合,并稳定肌动蛋白聚合物。此外,我们表明,显微注射鬼笔环肽以浓度依赖的方式干扰细胞运动和细胞生长。这些结果表明,肌动蛋白不同聚合状态之间良好平衡的可控可逆平衡可能是细胞运动的必要条件,也可能影响其他细胞功能,如生长。

https://cdn.ncbi.nlm.nih.gov/pmc/blobs/b450/431831/5f08085360a2/pnas00043-0422-a.jpg

文献检索

告别复杂PubMed语法,用中文像聊天一样搜索,搜遍4000万医学文献。AI智能推荐,让科研检索更轻松。

立即免费搜索

文件翻译

保留排版,准确专业,支持PDF/Word/PPT等文件格式,支持 12+语言互译。

免费翻译文档

深度研究

AI帮你快速写综述,25分钟生成高质量综述,智能提取关键信息,辅助科研写作。

立即免费体验