Suppr超能文献

SLE 累及心脏!SLE 心肌炎的罕见表现为心原性休克。

SLE strikes the heart! A rare presentation of SLE myocarditis presenting as cardiogenic shock.

机构信息

Division of Rheumatology, Department of Internal Medicine, Naval Medical Center San Diego, 34800 Bob Wilson Drive, San Diego, CA, 92134, USA.

Department of Cardiology, Scripps Clinic/Green Hospital, San Diego, CA, USA.

出版信息

BMC Cardiovasc Disord. 2021 Jun 13;21(1):294. doi: 10.1186/s12872-021-02102-6.

Abstract

BACKGROUND

Although systemic lupus erythematosus (SLE) can affect the cardiovascular system in many ways with diverse presentations, a severe cardiogenic shock secondary to SLE myocarditis is infrequently described in the medical literature. Variable presenting features of SLE myocarditis can also make the diagnosis challenging. This case report will allow learners to consider SLE myocarditis in the differential and appreciate the diagnostic uncertainty.

CASE PRESENTATION

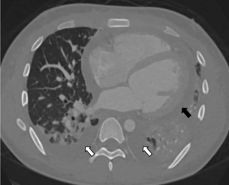
A 20-year-old Filipino male presented with acute dyspnea, pleuritic chest pain, fevers, and diffuse rash after being diagnosed with SLE six months ago and treated with hydroxychloroquine. Labs were notable for leukopenia, non-nephrotic range proteinuria, elevated cardiac biomarkers, inflammatory markers, low complements, and serologies suggestive of active SLE. Broad-spectrum IV antibiotics and corticosteroids were initiated for sepsis and SLE activity. Blood cultures were positive for MSSA with likely skin source. An electrocardiogram showed diffuse ST-segment elevations without ischemic changes. CT chest demonstrated bilateral pleural and pericardial effusions with dense consolidations. Transthoracic and transesophageal echocardiogram demonstrated reduced left ventricular ejection fraction (LVEF) 45% with no valvular pathology suggestive of endocarditis. Although MSSA bacteremia resolved, the patient rapidly developed cardiopulmonary decline with a repeat echocardiogram demonstrating LVEF < 10%. A Cardiac MRI was a nondiagnostic study to elucidate an etiology of decompensation given inability to perform late gadolinium enhancement. Later, cardiac catheterization revealed normal cardiac output with non-obstructive coronary artery disease. As there was no clear etiology explaining his dramatic heart failure, endomyocardial biopsy was obtained demonstrating diffuse myofiber degeneration and inflammation. These pathological findings, in addition to skin biopsy demonstrating lichenoid dermatitis with a granular "full house" pattern was most consistent with SLE myocarditis. Furthermore, aggressive SLE-directed therapy demonstrated near full recovery of his heart failure.

CONCLUSION

Although myocarditis during SLE flare is a well-described cardiac manifestation, progression to cardiogenic shock is infrequent and fatal. As such, SLE myocarditis should be promptly considered. Given the heterogenous presentation of SLE, combination of serologic evaluation, advanced imaging, and myocardial biopsies can be helpful when diagnostic uncertainty exists. Our case highlights diagnostic methods and clinical course of a de novo presentation of cardiogenic shock from SLE myocarditis, then rapid improvement.

摘要

背景

系统性红斑狼疮(SLE)可通过多种方式影响心血管系统,表现多样,但由 SLE 心肌炎引起的严重心源性休克在医学文献中很少见。SLE 心肌炎的可变表现也使诊断具有挑战性。本病例报告将使学习者能够考虑 SLE 心肌炎的鉴别诊断,并认识到诊断的不确定性。

病例介绍

一名 20 岁的菲律宾男性,六个月前被诊断为 SLE 并接受羟氯喹治疗后,出现急性呼吸困难、胸膜炎性胸痛、发热和弥漫性皮疹,实验室检查发现白细胞减少、非肾病范围蛋白尿、心肌标志物升高、炎症标志物升高、补体降低以及提示 SLE 活动的血清学改变。广谱静脉内抗生素和皮质类固醇被用于治疗脓毒症和 SLE 活动。血培养结果为 MSSA,可能来自皮肤。心电图显示弥漫性 ST 段抬高,无缺血改变。胸部 CT 显示双侧胸腔和心包积液伴致密性实变。经胸超声心动图和经食管超声心动图显示左心室射血分数(LVEF)降低至 45%,无提示心内膜炎的瓣膜病变。尽管 MSSA 菌血症得到缓解,但患者迅速出现心肺衰竭,再次超声心动图显示 LVEF<10%。心脏 MRI 无法明确病因,未能进行延迟钆增强,故进行了心脏 MRI。随后的心脏导管检查显示心输出量正常,无阻塞性冠状动脉疾病。由于没有明确的病因可以解释他的严重心力衰竭,因此进行了心内膜心肌活检,结果显示弥漫性肌纤维变性和炎症。这些病理发现,加上皮肤活检显示苔藓样皮炎和“满堂红”模式的颗粒状表现,与 SLE 心肌炎最相符。此外,积极的 SLE 靶向治疗使心力衰竭几乎完全恢复。

结论

虽然 SLE 发作期间的心肌炎是一种已描述的心脏表现,但进展为心源性休克并不常见且致命。因此,应迅速考虑 SLE 心肌炎。鉴于 SLE 的表现具有异质性,当存在诊断不确定性时,结合血清学评估、高级影像学和心肌活检可能会有所帮助。本病例报告重点介绍了从 SLE 心肌炎引起的心源性休克的新发病例的诊断方法和临床过程,以及迅速改善的情况。

https://cdn.ncbi.nlm.nih.gov/pmc/blobs/6b3b/8201668/fa77c1d3f062/12872_2021_2102_Fig1_HTML.jpg

文献AI研究员

20分钟写一篇综述,助力文献阅读效率提升50倍。

立即体验

用中文搜PubMed

大模型驱动的PubMed中文搜索引擎

马上搜索

文档翻译

学术文献翻译模型,支持多种主流文档格式。

立即体验