Suppr超能文献

异刺线虫和鸡蛔虫混合感染不同品系鸡后火鸡组织滴虫的排出。

Excretion of Histomonas meleagridis following experimental co-infection of distinct chicken lines with Heterakis gallinarum and Ascaridia galli.

机构信息

Institute of Nutritional Physiology "Oskar Kellner", Leibniz Institute for Farm Animal Biology, Dummerstorf, Germany.

Clinic for Poultry and Fish Medicine, Department for Farm Animals and Veterinary Public Health, University of Veterinary Medicine, Vienna, Austria.

出版信息

Parasit Vectors. 2021 Jun 13;14(1):323. doi: 10.1186/s13071-021-04823-1.

Abstract

BACKGROUND

Histomonosis is a severe re-emerging disease of poultry caused by Histomonas meleagridis, a protozoan parasite which survives in the environment via the cecal worm Heterakis gallinarum. Following infection, the parasites reside in the ceca and are excreted via host feces. In the present work, male birds of conventional broiler (Ross 308, R), layer (Lohmann Brown Plus, LB) and a dual-purpose (Lohmann Dual, LD) chicken line were infected with 250 embryonated eggs of Ascaridia galli and Heterakis gallinarum, respectively, with the latter nematode harboring Histomonas meleagridis, to investigate a co-infection of nematodes with the protozoan parasite in different host lines.

METHODS

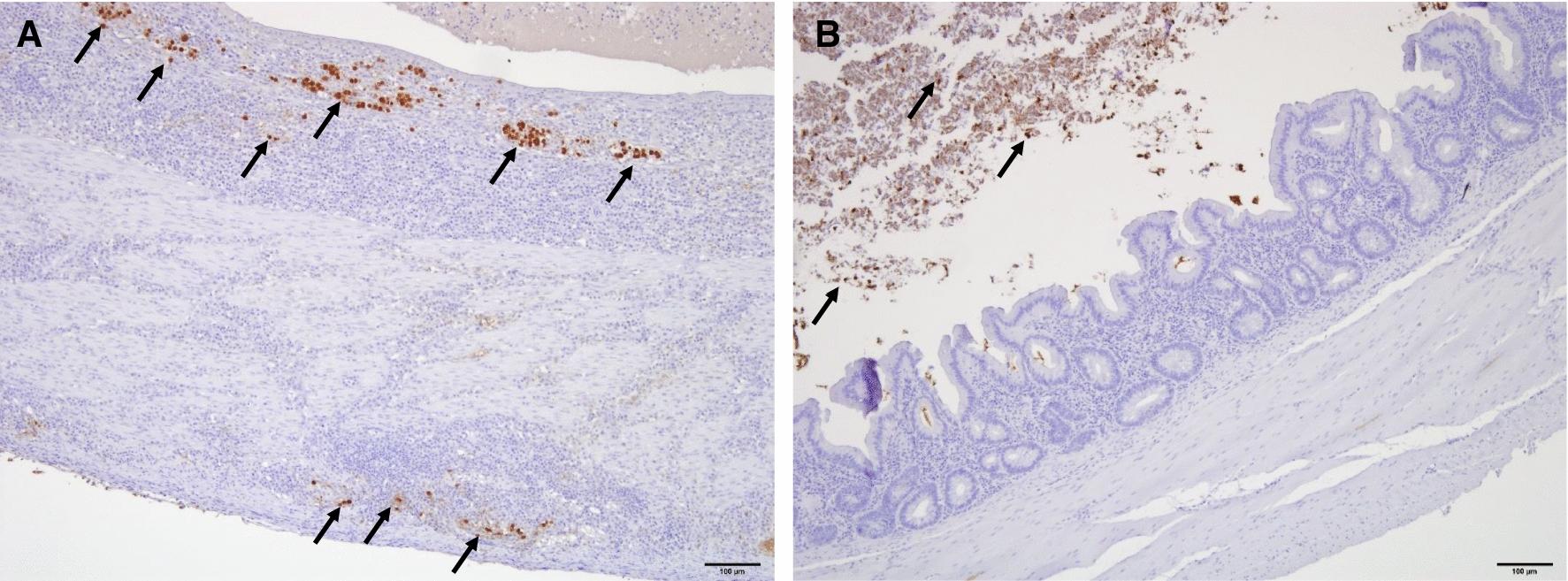
In weekly intervals, from 2 to 9 weeks post infection (wpi), individual fecal samples (n = 234) from the chickens were collected to quantify the excretion of H. meleagridis by real-time PCR and to determine the number of nematode eggs per gram (EPG) in order to elucidate excretion dynamics of the flagellate and the nematodes. This was further investigated by indirect detection using plasma samples of the birds to detect antibodies specific for H. meleagridis and worms by ELISA. The infection with H. meleagridis was confirmed by histopathology and immunohistochemistry to detect the flagellate in the cecum of representing birds.

RESULTS

The excretion of H. meleagridis could already be observed from the 2nd wpi in some birds and increased to 100% in the last week of the experiment in all groups independent of the genetic line. This increase could be confirmed by ELISA, even though the number of excreted H. meleagridis per bird was generally low. Overall, histomonads were detected in 60% to 78% of birds with temporary differences between the different genetic lines, which also showed variations in the EPG and worm burden of both nematodes.

CONCLUSIONS

The infection with H. gallinarum eggs contaminated with H. meleagridis led to a permanent excretion of the flagellate in host feces. Differences in the excretion of H. meleagridis in the feces of genetically different host lines occurred intermittently. The excretion of the protozoan or its vector H. gallinarum was mostly exclusive, showing a negative interaction between the two parasites in the same host.

摘要

背景

组织滴虫病是一种由原生动物寄生虫组织滴虫引起的严重家禽再发性疾病,该寄生虫通过盲肠蠕虫异刺线虫在环境中存活。感染后,寄生虫寄生于盲肠并通过宿主粪便排出。在本工作中,常规肉鸡(罗斯 308,R)、蛋鸡(罗曼布罗,LB)和肉蛋兼用鸡(罗曼双,LD)雄鸡分别感染 250 枚鸡异刺线虫和异刺线虫卵囊,后者含有组织滴虫,以研究不同宿主品系中线虫与原生动物寄生虫的混合感染。

方法

从感染后 2 至 9 周(wpi),每周从鸡中收集个体粪便样本(n=234),通过实时 PCR 定量检测组织滴虫的排出量,并确定每克粪便中线虫卵的数量(EPG),以阐明鞭毛原虫和线虫的排出动力学。通过使用鸡的血浆样本间接检测来进一步研究这一点,以通过 ELISA 检测针对组织滴虫和蠕虫的特异性抗体。通过组织病理学和免疫组织化学检测盲肠中的鞭毛原虫来确认感染组织滴虫,以检测代表鸟类中的鞭毛原虫。

结果

在某些鸡中,从第 2 周开始就可以观察到组织滴虫的排出,并且在实验的最后一周,所有组的感染率都增加到 100%,而与遗传系无关。通过 ELISA 甚至可以确认这一点,尽管每只鸡排出的组织滴虫数量通常较低。总体而言,60%至 78%的鸡检测到组织滴虫,不同遗传系之间存在暂时差异,同时也显示了两种线虫的 EPG 和蠕虫负担的变化。

结论

感染异刺线虫卵污染的组织滴虫会导致鞭毛原虫在宿主粪便中持续排出。不同遗传系宿主之间的组织滴虫粪便排出量存在间歇性差异。原生动物或其载体异刺线虫的排出大多是排他性的,这表明两种寄生虫在同一宿主中存在负相互作用。

https://cdn.ncbi.nlm.nih.gov/pmc/blobs/95b6/8201732/a9d5971a5b24/13071_2021_4823_Fig1_HTML.jpg

文献AI研究员

20分钟写一篇综述,助力文献阅读效率提升50倍。

立即体验

用中文搜PubMed

大模型驱动的PubMed中文搜索引擎

马上搜索

文档翻译

学术文献翻译模型,支持多种主流文档格式。

立即体验