Suppr超能文献

肝转移瘤微波消融术后胆胸瘘:文献综述

Biliothoracic Fistula after Microwave Ablation of Liver Metastasis : Literature Review.

作者信息

Tassi Valentina, Mosillo Claudia, Mutignani Massimiliano, Cirocchi Roberto, Ragusa Mark, Bracarda Sergio, Passalacqua Giovanni, Marinozzi Gabriele, Allegritti Massimiliano

机构信息

Thoracic Surgery Unit, Azienda Ospedaliera Santa Maria, Terni, Italy.

Medical and TranslationalOncology Unit, Azienda Ospedaliera Santa Maria, Terni, Italy.

出版信息

Emerg Med Int. 2021 May 11;2021:9913076. doi: 10.1155/2021/9913076. eCollection 2021.

Abstract

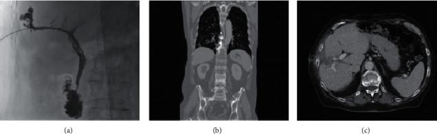
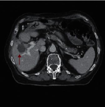
Microwave ablation is a safe and effective interventional approach, widely used in the treatment of unresectable primary or metastatic hepatic lesions. Thoracobiliary fistula is a rare postablation complication that can be treated with a conservative or surgical approach. We reviewed aetiology, pathogenesis, clinical picture, diagnostic possibilities, and therapeutic options for biliothoracic fistula developed after microwave ablation of liver metastasis. Furthermore, we reported our experience of successful conservative management of a nonhealing thoracobiliary fistula occurred after percutaneous thermal ablation of colorectal cancer liver metastasis. Our case supports a conservative approach based on percutaneous biliary system decompression and synthetic glue embolization for the treatment of combined biliopleural and biliobronchial fistula.

摘要

微波消融是一种安全有效的介入方法,广泛应用于不可切除的原发性或转移性肝病灶的治疗。胸胆瘘是一种罕见的消融后并发症,可采用保守或手术方法治疗。我们回顾了肝转移瘤微波消融术后发生胆胸瘘的病因、发病机制、临床表现、诊断方法及治疗选择。此外,我们报告了经皮热消融结直肠癌肝转移后发生的不愈合胸胆瘘成功保守治疗的经验。我们的病例支持基于经皮胆道系统减压和合成胶水栓塞的保守方法来治疗合并的胆胸膜瘘和胆支气管瘘。

https://cdn.ncbi.nlm.nih.gov/pmc/blobs/845c/8170678/d13915f7455c/EMI2021-9913076.001.jpg

文献AI研究员

20分钟写一篇综述,助力文献阅读效率提升50倍。

立即体验

用中文搜PubMed

大模型驱动的PubMed中文搜索引擎

马上搜索

文档翻译

学术文献翻译模型,支持多种主流文档格式。

立即体验