Jamshaid Muhammad B, Shahzad Aamir, Zafar Abdulaziz, Kamal Ijaz
Internal Medicine, Hamad General Hospital, Doha, QAT.
Medicine, Hamad General Hospital, Doha, QAT.
Cureus. 2021 May 13;13(5):e15015. doi: 10.7759/cureus.15015.
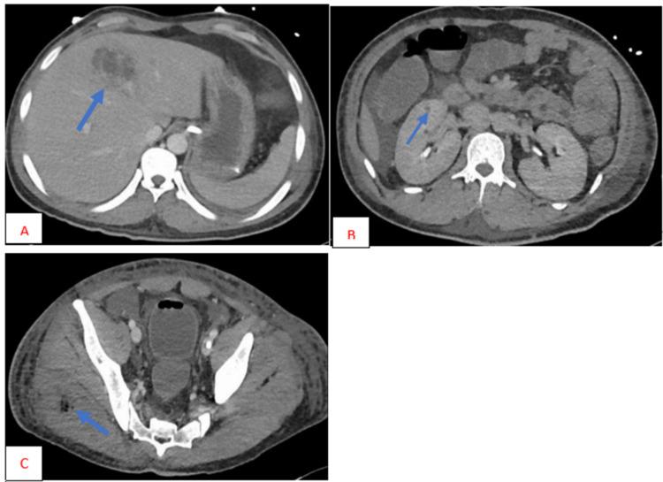
is a Gram-negative bacteria that can infect most of the body's organs, from the lungs to the central nervous system. It is notorious for causing pneumonia in alcoholic, diabetic, and hospitalized patients. It is now emerging as a cause of abscesses involving multiple organs. Invasive is most commonly observed in the Asian population but has been reported in other geographical areas as well. We present a case of invasive . The patient was initially admitted with diabetic ketoacidosis (DKA); further investigations showed multiple abscesses involving the liver, lungs, brain, and muscles. was identified in blood and liver abscess cultures. The patient was managed for DKA as per protocol, and was administered broad-spectrum antibiotics with percutaneous drainage of liver abscess for invasive syndrome. In this paper, we highlight the invasive nature of, which may aid clinicians in diagnosing and managing similar cases, thereby preventing the associated high morbidity and mortality.