Sobirk Sara K, Struve Carsten, Jacobsson Sanda G
Clinical Microbiology, University and Regional Laboratories Region Skåne s-221 85 Lund, Sweden.
Open Microbiol J. 2010 Mar 16;4:5-7. doi: 10.2174/1874285801004010005.
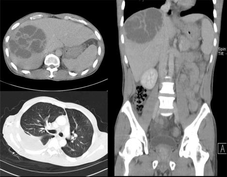
A syndrome of community acquired liver abscess caused by highly virulent hypermucoviscous, rmpA positive Klebsiella pneumoniae strains occurs with high incidence in Asia. We here report a case complicated by metastatic infection, to our knowledge, the first one described in Northern Europe. This and other recently reported cases indicate the emergence of this severe syndrome outside of Asia.
由高毒力、高黏液性、rmpA 阳性肺炎克雷伯菌菌株引起的社区获得性肝脓肿综合征在亚洲的发病率很高。据我们所知,我们在此报告了一例并发转移性感染的病例,这是北欧描述的首例此类病例。该病例及其他近期报告的病例表明,这种严重综合征在亚洲以外地区也开始出现。