Suppr超能文献

下颌骨孤立性浆细胞瘤:一例报告。

The solitary plasmacytoma of mandible: A case report.

作者信息

Iro Salissou, Hmoura Ezzahra, Kerdoud Ouassime, Regragui Meriem, Sarfi Dounia, Slimani Faiçal

机构信息

Oral and Maxillofacial Surgery Department, CHU Ibn Rochd, Casablanca, Morocco.

Oral and Maxillofacial Surgery Department, CHU Ibn Rochd, Casablanca, Morocco.

出版信息

Int J Surg Case Rep. 2021 Jul;84:106106. doi: 10.1016/j.ijscr.2021.106106. Epub 2021 Jun 16.

Abstract

BACKGROUND

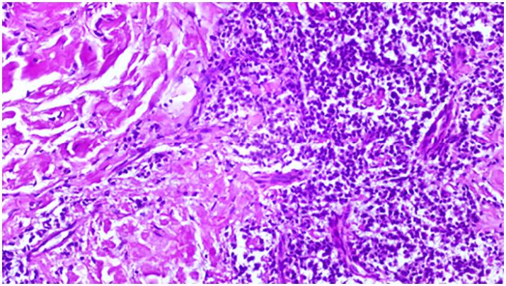
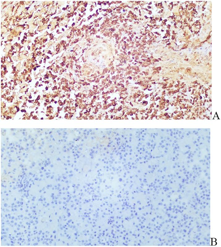
the solitary plasmacytomas entities characterized by the neoplastic proliferation of a single clone of plasma cells, typically producing a monoclonal immunoglobulin. It represents less than 5% of plasma cell dyscrasias. The most common sites of solitary plasmacytomas are long bones. The jaws location remains extremely rare, only 4.4% of solitary plasmacytomas of bone occur in the mandible, the diagnosis is based on the biopsy evidence of plasma cell proliferation and absence of evidence of involvement of other bones.

CASE PRESENTATION

The authors report the case of a healthy 49-year-old man with no general history, presented with a painless slow-growing lesion of the left jaw that had persisted and increased in size for one month. Clinical examination revealed a large lesion 4 × 4 cm with irregular borders of the retro-molar area on the left jaw, infiltrated into underlying tissue, with sensory disturbances and facial asymmetry.

CONCLUSION

Treatment methods of plasmacytomas of the jaw include local surgery (curettage of the lesion), local irradiation, systemic chemotherapy, or a combining therapy. Early diagnosis and treatment are crucial for better resolution of the disease.

摘要

背景

孤立性浆细胞瘤实体以单个浆细胞克隆的肿瘤性增殖为特征,通常产生单克隆免疫球蛋白。它占浆细胞发育异常的比例不到5%。孤立性浆细胞瘤最常见的部位是长骨。颌骨部位仍然极为罕见,仅4.4%的骨孤立性浆细胞瘤发生在下颌骨,诊断基于浆细胞增殖的活检证据以及其他骨骼未受累的证据。

病例介绍

作者报告了一例49岁健康男性病例,无全身病史,左侧颌骨出现一个无痛性缓慢生长的肿物,持续一个月且大小增加。临床检查发现左侧颌骨磨牙后区有一个4×4cm的大肿物,边界不规则,浸润至下方组织,伴有感觉障碍和面部不对称。

结论

颌骨浆细胞瘤的治疗方法包括局部手术(肿物刮除术)、局部放疗、全身化疗或联合治疗。早期诊断和治疗对于更好地解决该疾病至关重要。

https://cdn.ncbi.nlm.nih.gov/pmc/blobs/cb5a/8220228/aad55e19241e/gr1.jpg

相似文献

1
The solitary plasmacytoma of mandible: A case report.
Int J Surg Case Rep. 2021 Jul;84:106106. doi: 10.1016/j.ijscr.2021.106106. Epub 2021 Jun 16.
2
Solitary plasmacytoma of the mandible - a rare entity.
J Int Oral Health. 2013 Jun;5(3):97-101. Epub 2013 Jun 23.
3
Solitary plasmacytoma of mandible: A rare entity.
J Oral Maxillofac Pathol. 2019 Jan-Apr;23(1):136-139. doi: 10.4103/jomfp.JOMFP_175_18.
4
Solitary Plasmacytoma of the Mandible: An Uncommon Entity.
Iran Red Crescent Med J. 2016 Feb 20;18(7):e22932. doi: 10.5812/ircmj.22932. eCollection 2016 Jul.
5
Solitary Plasmacytoma of the Breast: A Case of an Uncommon Breast Neoplasm.
Case Rep Hematol. 2023 Jun 3;2023:9622042. doi: 10.1155/2023/9622042. eCollection 2023.
6
Solitary Plasmacytoma of the Breast: A Rare Entity.
Cureus. 2024 Feb 5;16(2):e53612. doi: 10.7759/cureus.53612. eCollection 2024 Feb.
7
Solitary plasmacytoma of the mandible: A rare case report.
Natl J Maxillofac Surg. 2015 Jan-Jun;6(1):76-9. doi: 10.4103/0975-5950.168214.
8
Solitary Plasmacytoma in the Calcaneus.
Cureus. 2023 Apr 16;15(4):e37637. doi: 10.7759/cureus.37637. eCollection 2023 Apr.
10
Solitary Plasmacytoma of the Mesentery: A Systematic Clinician's Diagnosis.
Case Rep Oncol Med. 2017;2017:5901503. doi: 10.1155/2017/5901503. Epub 2017 May 11.

文献AI研究员

20分钟写一篇综述,助力文献阅读效率提升50倍。

立即体验

用中文搜PubMed

大模型驱动的PubMed中文搜索引擎

马上搜索

文档翻译

学术文献翻译模型,支持多种主流文档格式。

立即体验