Department of Ophthalmology, Novartis Institutes for Biomedical Research, Cambridge, Massachusetts, United States.
Invest Ophthalmol Vis Sci. 2021 Jun 1;62(7):26. doi: 10.1167/iovs.62.7.26.
Dysregulation of the alternative complement pathway is a major pathogenic mechanism in age-related macular degeneration. We investigated whether locally synthesized complement components contribute to AMD by profiling complement expression in postmortem eyes with and without AMD.
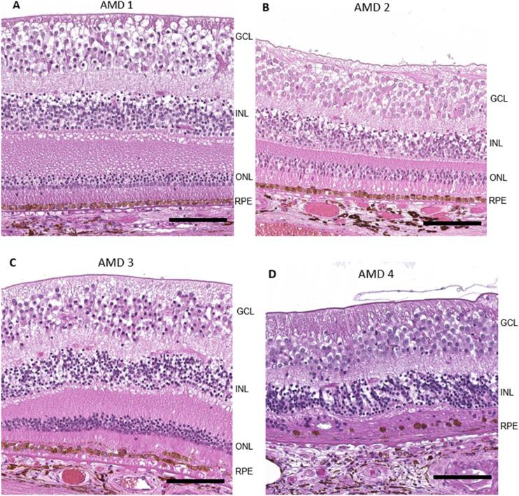
AMD severity grade 1 to 4 was determined by analysis of postmortem acquired fundus images and hematoxylin and eosin stained histological sections. TaqMan (donor eyes n = 39) and RNAscope/in situ hybridization (n = 10) were performed to detect complement mRNA. Meso scale discovery assay and Western blot (n = 31) were used to measure complement protein levels.
The levels of complement mRNA and protein expression were approximately 15- to 100-fold (P < 0.0001-0.001) higher in macular retinal pigment epithelium (RPE)/choroid tissue than in neural retina, regardless of AMD grade status. Complement mRNA and protein levels were modestly elevated in vitreous and the macular neural retina in eyes with geographic atrophy (GA), but not in eyes with early or intermediate AMD, compared to normal eyes. Alternative and classical pathway complement mRNAs (C3, CFB, CFH, CFI, C1QA) identified by RNAscope were conspicuous in areas of atrophy; in those areas C3 mRNA was observed in a subset of IBA1+ microglia or macrophages.
We verified that RPE/choroid contains most ocular complement; thus RPE/choroid rather than the neural retina or vitreous is likely to be the key site for complement inhibition to treat GA or earlier stage of the disease. Outer retinal local production of complement mRNAs along with evidence of increased complement activation is a feature of GA.
替代补体途径的失调是年龄相关性黄斑变性的主要发病机制。我们通过分析有和无年龄相关性黄斑变性的尸检眼,研究了局部合成的补体成分是否通过补体表达对 AMD 有贡献。
通过对死后获得的眼底图像和苏木精和伊红染色的组织切片进行分析,确定 AMD 的严重程度等级 1 至 4。使用 TaqMan(供体眼 n = 39)和 RNAscope/原位杂交(n = 10)检测补体 mRNA。Meso scale discovery 测定法和 Western blot(n = 31)用于测量补体蛋白水平。
无论 AMD 分级状态如何,黄斑视网膜色素上皮(RPE)/脉络膜组织中的补体 mRNA 和蛋白表达水平大约高出 15-100 倍(P < 0.0001-0.001)。与正常眼相比,在具有地理萎缩(GA)的眼中,玻璃体液和黄斑神经视网膜中的补体 mRNA 和蛋白水平适度升高,但在早期或中期 AMD 眼中则没有升高。通过 RNAscope 鉴定的替代和经典途径补体 mRNAs(C3、CFB、CFH、CFI、C1QA)在萎缩区域明显;在这些区域中,C3 mRNA 观察到在一小部分 IBA1+小胶质细胞或巨噬细胞中。
我们验证了 RPE/脉络膜含有大多数眼部补体;因此,抑制补体的关键部位可能是 RPE/脉络膜,而不是神经视网膜或玻璃体,以治疗 GA 或疾病的早期阶段。外视网膜局部产生补体 mRNAs 以及补体激活增加的证据是 GA 的特征。