Mateo-Otero Yentel, Viñolas-Vergés Estel, Llavanera Marc, Ribas-Maynou Jordi, Roca Jordi, Yeste Marc, Barranco Isabel
Biotechnology of Animal and Human Reproduction (TechnoSperm), Institute of Food and Agricultural Technology, University of Girona, Girona, Spain.
Unit of Cell Biology, Department of Biology, Faculty of Sciences, University of Girona, Girona, Spain.
Front Cell Dev Biol. 2021 Jun 8;9:683199. doi: 10.3389/fcell.2021.683199. eCollection 2021.
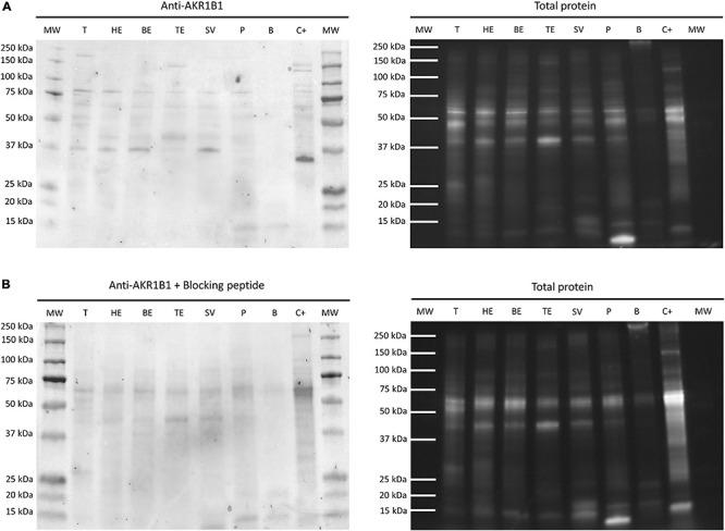
Aldose reductase B1 (AKR1B1), a NADPH-dependent enzyme that belongs to the aldo-keto reductase protein superfamily, has been reported to be involved in both male and female reproductive physiology. The objectives of this study were: (1) to evaluate the concentration of SP-AKR1B1 in pig ejaculate fractions; (2) to describe the immunohistochemical localization of AKR1B1 alongside the boar genital tract; (3) to evaluate the relationship between SP-AKR1B1 and sperm quality/functionality parameters. Ejaculates from seven boars (one ejaculate per boar) were collected in separate portions [the first 10 mL of the sperm rich fraction (SRF-P1), the rest of the SRF (SRF-P2), and the post-SRF (PSRF)], and the concentration of SP-AKR1B1 was assessed using an enzyme-linked immunosorbent assay (ELISA). Immunohistochemistry and immunoblotting targeting was conducted in the reproductive tissues of these boars. Additionally, the entire ejaculates of 14 boars (one ejaculate per boar) were collected and split into three separate aliquots for: (i) SP-AKR1B1 quantification; (ii) assessment of sperm concentration and morphology; and (iii) evaluation of sperm quality and functionality parameters upon ejaculate collection (0 h) and after 72 h of liquid storage at 17°C. Concentration of AKR1B1 in the SP of SRF-P1 (458.2 ± 116.33 ng/mL) was lower ( < 0.05) than that of SRF-P2 (1105.0 ± 229.80 ng/mL) and PSRF (1342.4 ± 260.18 ng/mL). Monomeric and dimeric AKR1B1 forms were expressed alongside the reproductive tissues, except in the bulbourethral glands. No relationship between SP-AKR1B1 and sperm quality/functionality parameters was observed either at 0 h or after 72 h of storage at 17°C. In conclusion, AKR1B1 is expressed in the reproductive organs of boars (except bulbourethral glands) and a higher concentration is found in the PSRF suggesting that seminal vesicles would be the main secretory source. However, this enzyme does not appear to be related to sperm quality/functionality or to the sperm ability to withstand liquid storage at 17°C.
醛糖还原酶B1(AKR1B1)是一种依赖烟酰胺腺嘌呤二核苷酸磷酸(NADPH)的酶,属于醛酮还原酶蛋白超家族,据报道其参与雄性和雌性生殖生理过程。本研究的目的是:(1)评估猪射精各部分中分泌型AKR1B1(SP-AKR1B1)的浓度;(2)描述AKR1B1在公猪生殖道中的免疫组化定位;(3)评估SP-AKR1B1与精子质量/功能参数之间的关系。采集了7头公猪的精液(每头公猪一份精液),分成不同部分[富含精子部分的前10 mL(SRF-P1)、富含精子部分的其余部分(SRF-P2)以及富含精子部分之后的部分(PSRF)],并使用酶联免疫吸附测定(ELISA)评估SP-AKR1B1的浓度。对这些公猪的生殖组织进行了免疫组化和免疫印迹分析。此外,采集了14头公猪的全部精液(每头公猪一份精液),并分成三个单独的等分试样用于:(i)SP-AKR1B1定量;(ii)精子浓度和形态评估;(iii)在射精采集时(0小时)以及在17°C下液体保存72小时后评估精子质量和功能参数。SRF-P1的精液中AKR1B1的浓度(458.2±116.33 ng/mL)低于(<0.05)SRF-P2(1105.0±229.80 ng/mL)和PSRF(1342.4±260.18 ng/mL)。除尿道球腺外,单体和二聚体形式的AKR1B1在生殖组织中均有表达。在0小时或在17°C下保存72小时后,均未观察到SP-AKR1B1与精子质量/功能参数之间存在关联。总之,AKR1B1在公猪的生殖器官中表达(尿道球腺除外),并且在PSRF中发现其浓度较高,这表明精囊可能是主要的分泌来源。然而,这种酶似乎与精子质量/功能或精子在17°C下耐受液体保存的能力无关。