Suppr超能文献

小儿非酒精性脂肪性肝病——不断变化的诊断模式。

Pediatric nonalcoholic fatty liver disease - a changing diagnostic paradigm.

机构信息

First Medical Department, Grigore T. Popa University of Medicine and Pharmacy, Iaşi, Romania;

出版信息

Rom J Morphol Embryol. 2020 Oct-Dec;61(4):1023-1031. doi: 10.47162/RJME.61.4.04.

Abstract

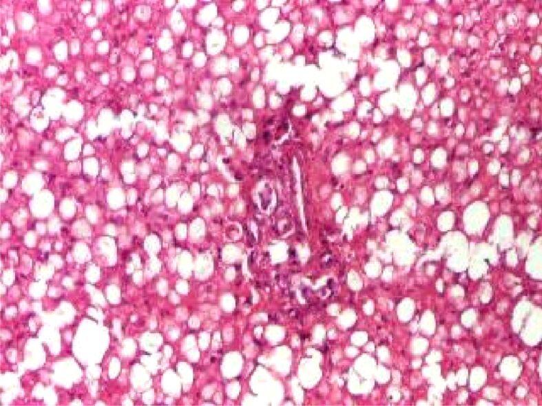
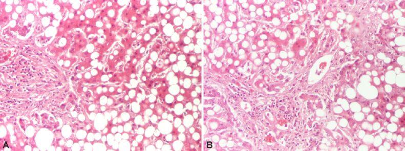
Worldwide, nonalcoholic fatty liver disease (NAFLD) has emerged as the leading cause of chronic liver disease in children and adolescents, but also as a real public health issue. Over the last decades, the increase in the rates of obesity and overweight in children has led to the increase in the worldwide prevalence of pediatric NAFLD. Detection of a hyperechoic appearance of the liver at ultrasounds or elevated levels of transaminases, identified during a routine control in children, suggests NAFLD. The disorder can be diagnosed with either non-invasive strategies or through liver biopsy, which further allows the identification of specific histological aspects, distinct from those found in adults. Since NAFLD is a clinically heterogeneous disease, there is an imperative need to identify noninvasive biomarkers and screening techniques for early diagnosis in children, in order to prevent metabolic and cardiovascular complications later in adulthood. This review emphasizes the main diagnosis tools in pediatric NAFLD, a systemic disorder with multifactorial pathogenesis and varying clinical manifestations.

摘要

在全球范围内,非酒精性脂肪性肝病(NAFLD)已成为儿童和青少年慢性肝病的主要原因,也是一个真正的公共卫生问题。在过去几十年中,儿童肥胖和超重率的增加导致了全球儿童 NAFLD 患病率的增加。在儿童常规检查中,超声检查发现肝脏回声增强或转氨酶水平升高,提示存在 NAFLD。该疾病可以通过非侵入性策略或肝活检进行诊断,后者还可以确定与成人不同的特定组织学特征。由于 NAFLD 是一种临床表现多样的临床异质性疾病,因此迫切需要在儿童中识别非侵入性生物标志物和筛查技术,以便在以后的成年期预防代谢和心血管并发症。本综述强调了儿科 NAFLD 的主要诊断工具,这是一种具有多因素发病机制和不同临床表现的系统性疾病。

https://cdn.ncbi.nlm.nih.gov/pmc/blobs/61c5/8343491/83457c8ece29/RJME-61-4-1023-fig1.jpg

文献AI研究员

20分钟写一篇综述,助力文献阅读效率提升50倍。

立即体验

用中文搜PubMed

大模型驱动的PubMed中文搜索引擎

马上搜索

文档翻译

学术文献翻译模型,支持多种主流文档格式。

立即体验