Suppr超能文献

产前摄入欧米伽-3 可促进 Wnt/β-连环蛋白信号通路,并维持子痫前期大鼠血脑屏障的完整性。

Prenatal intake of omega-3 promotes Wnt/β-catenin signaling pathway, and preserves integrity of the blood-brain barrier in preeclamptic rats.

机构信息

Department of Physiology, Faculty of Medicine, Cairo University, Cairo, Egypt.

Department of Medical Pharmacology, Faculty of Medicine, Cairo University, Cairo, Egypt.

出版信息

Physiol Rep. 2021 Jun;9(12):e14925. doi: 10.14814/phy2.14925.

Abstract

BACKGROUND

Preeclampsia is a systemic, multi-organ endotheliopathy, associated with oxidative injury to the blood-brain barrier (BBB). Preeclampsia initiates a cascade of events that include neuroinflammation. Recently, it was documented that Wnt/β-catenin signaling pathway exerts neuroprotective effects and maintain BBB integrity. We investigate the protective effect of omega-3 against neurovascular complication of preeclampsia and its relation to Wnt/β-catenin signaling pathway.

METHODOLOGY

After confirmation of day 0 pregnancy (G0), 24 adult pregnant female Wistar rats were divided into four groups control pregnant, pregnant supplemented with omega-3, preeclampsia (PE); female rats received N (ω)-nitro-L-arginine methyl ester (L-NAME) (50 mg/kg/day SC from day 7 to day 16 of pregnancy for induction of preeclampsia) and PE rats supplemented with omega-3. The intake of omega-3 started on day zero (0) of pregnancy until the end of the study (144 mg/kg\day orally).

RESULTS

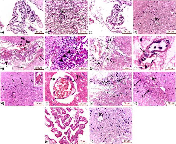
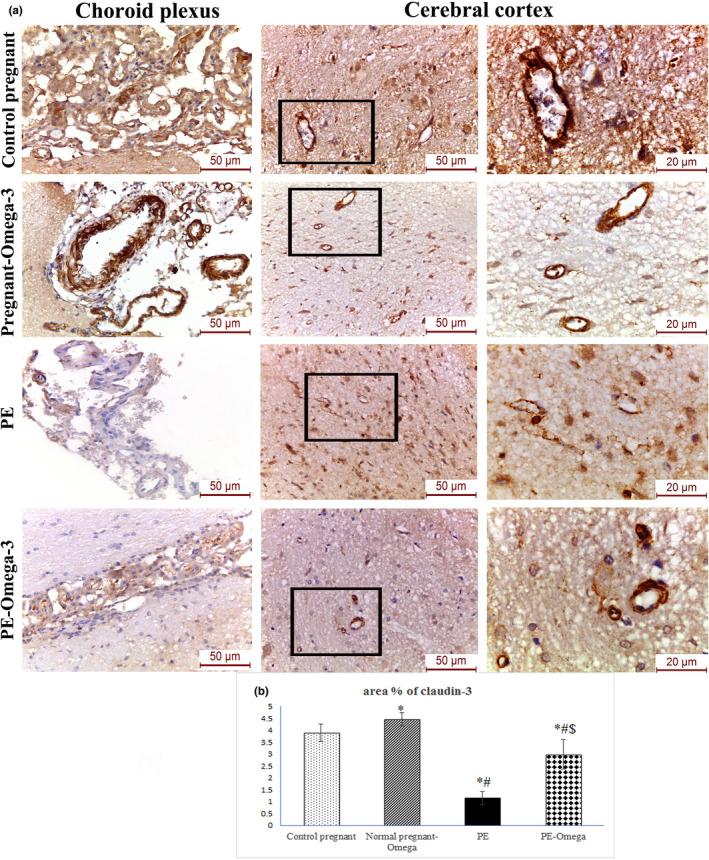
We found that omega-3 supplementation significantly improved cognitive functions and EEG amplitude, decreased blood pressure, water contents of brain tissues, sFlt-1, oxidative stress, proteinuria, and enhanced Wnt\β-catenin proteins. Histological examination showed improved cerebral microangiopathy, increased expression of claudin-1 and -3, CD31, and VEGF in the cerebral cortical microvasculature and choroid plexus in PE rats treated with omega-3. A positive correlation between protein expression level of Wnt \β-catenin and cognitive functions, and a negative correlation between claudin-5 relative expression, claudin-1 and -3 area % from one side and water content of the brain tissues from the other side were observed.

CONCLUSION

Wnt/β-catenin signaling pathway suspected to have an important role to improve BBB integrity. Neuroprotective, antioxidant, and anti-inflammatory effects of omega-3 were observed and can be suggested as protective supplementation for preeclampsia.

摘要

背景

子痫前期是一种系统性多器官内皮病,与血脑屏障(BBB)的氧化损伤有关。子痫前期引发了一系列事件,包括神经炎症。最近有文献记载,Wnt/β-连环蛋白信号通路具有神经保护作用,并维持 BBB 的完整性。我们研究了 ω-3 对子痫前期神经血管并发症的保护作用及其与 Wnt/β-连环蛋白信号通路的关系。

方法

确认妊娠第 0 天(G0)后,将 24 只成年妊娠雌性 Wistar 大鼠分为四组:对照组妊娠、妊娠时补充 ω-3、子痫前期(PE);雌性大鼠从妊娠第 7 天至第 16 天每天接受 N(ω)-硝基-L-精氨酸甲酯(L-NAME)(50mg/kg/天 SC)以诱导子痫前期,PE 大鼠补充 ω-3。ω-3 的摄入量从妊娠第 0 天(0)开始,持续到研究结束(每天 144mg/kg 口服)。

结果

我们发现,ω-3 补充显著改善了认知功能和脑电图幅度,降低了血压、脑组织含水量、sFlt-1、氧化应激、蛋白尿,并增强了 Wnt/β-连环蛋白蛋白。组织学检查显示,PE 大鼠补充 ω-3 后,大脑皮质微血管和脉络丛的脑微血管病得到改善,claudin-1 和 -3、CD31 和 VEGF 的表达增加。在大脑皮质微血管和脉络丛中,Wnt\β-连环蛋白蛋白的表达水平与认知功能呈正相关,而 claudin-5 相对表达、claudin-1 和 -3 面积百分比与脑组织含水量呈负相关。

结论

Wnt/β-连环蛋白信号通路可能在改善 BBB 完整性方面发挥重要作用。ω-3 具有神经保护、抗氧化和抗炎作用,可作为子痫前期的保护补充剂。

https://cdn.ncbi.nlm.nih.gov/pmc/blobs/51d9/8234480/32e4cb892db0/PHY2-9-e14925-g008.jpg

文献AI研究员

20分钟写一篇综述,助力文献阅读效率提升50倍。

立即体验

用中文搜PubMed

大模型驱动的PubMed中文搜索引擎

马上搜索

文档翻译

学术文献翻译模型,支持多种主流文档格式。

立即体验