Suppr超能文献

1个月大男婴先天性鼻咽神经节胶质瘤伴呼吸困难1例:病例报告

A Rare Case of a Congenital Nasopharyngeal Ganglioglioma With Dyspnea in a 1-Month-Old Male Infant: A Case Report.

作者信息

Zhao He, Cao Zhiwei, Gu Zhaowei

机构信息

Department of Otolaryngology Head and Neck Surgery, Shengjing Hospital of China Medical University, Shenyang, China.

出版信息

Front Pediatr. 2021 Jun 10;9:690492. doi: 10.3389/fped.2021.690492. eCollection 2021.

Abstract

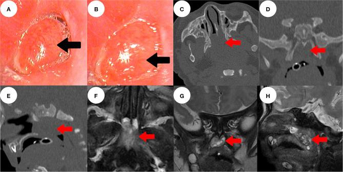
A ganglioglioma (GG), a tumor with both neuronal and astrocytic components, rarely occurs outside the central nervous system. We present the first reported case of a 1-month-old male with a congenital nasopharyngeal GG, nasal congestion, and dyspnea; we include the operative video. Magnetic resonance imaging was used to explore whether the tumor communicated with the intracranial space. We used an endoscopic plasma technique to ensure complete tumor resection. This afforded a good visual field, endoscopic magnification, and good hemostasis. We report a rare case of a nasopharyngeal GG triggering nasal congestion and dyspnea in a 1-month-old male, and report our experience with the treatment of nasopharyngeal GG and similar diseases.

摘要

神经节胶质瘤(GG)是一种同时具有神经元和星形细胞成分的肿瘤,很少发生在中枢神经系统以外。我们报告首例1个月大患有先天性鼻咽GG、鼻塞和呼吸困难的男性病例;我们还提供了手术视频。使用磁共振成像来探究肿瘤是否与颅内空间相通。我们采用内镜等离子技术确保肿瘤完全切除。这提供了良好的视野、内镜放大效果和良好的止血效果。我们报告了一例罕见的1个月大男性鼻咽GG引发鼻塞和呼吸困难的病例,并报告了我们治疗鼻咽GG及类似疾病的经验。

https://cdn.ncbi.nlm.nih.gov/pmc/blobs/e088/8222604/3f6690c531c7/fped-09-690492-g0001.jpg

文献AI研究员

20分钟写一篇综述,助力文献阅读效率提升50倍。

立即体验

用中文搜PubMed

大模型驱动的PubMed中文搜索引擎

马上搜索

文档翻译

学术文献翻译模型,支持多种主流文档格式。

立即体验