• 文献检索
  • 文档翻译
  • 深度研究
  • 学术资讯
  • Suppr Zotero 插件Zotero 插件
  • 邀请有礼
  • 套餐&价格
  • 历史记录
应用&插件
Suppr Zotero 插件Zotero 插件浏览器插件Mac 客户端Windows 客户端微信小程序
定价
高级版会员购买积分包购买API积分包
服务
文献检索文档翻译深度研究API 文档MCP 服务
关于我们
关于 Suppr公司介绍联系我们用户协议隐私条款
关注我们

Suppr 超能文献

核心技术专利:CN118964589B侵权必究
粤ICP备2023148730 号-1Suppr @ 2026

文献检索

告别复杂PubMed语法,用中文像聊天一样搜索,搜遍4000万医学文献。AI智能推荐,让科研检索更轻松。

立即免费搜索

文件翻译

保留排版,准确专业,支持PDF/Word/PPT等文件格式,支持 12+语言互译。

免费翻译文档

深度研究

AI帮你快速写综述,25分钟生成高质量综述,智能提取关键信息,辅助科研写作。

立即免费体验

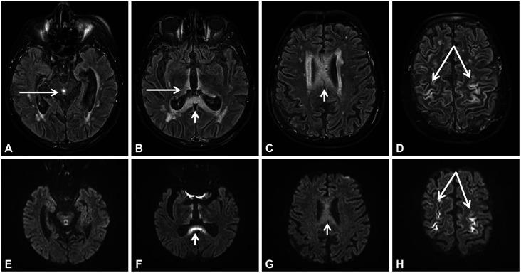
A Case of Cortical Involvement in Marchiafava-Bignami Disease Accompanying Wernicke's Encephalopathy.

作者信息

Youn Michelle, Lee Jung Ju, Park Jong Moo, Kang Kyusik, Kwon Ohyun, Lee Woong Woo, Kim Byung Kun

机构信息

Department of Neurology, Nowon Eulji Medical Center, Eulji University, Seoul, Korea.

Department of Neurology, Uijeongbu Eulji Medical Center, Eulji University, Seoul, Korea.

出版信息

J Clin Neurol. 2021 Jul;17(3):499-500. doi: 10.3988/jcn.2021.17.3.499.

DOI:10.3988/jcn.2021.17.3.499
PMID:34184466
原文链接:https://pmc.ncbi.nlm.nih.gov/articles/PMC8242317/
Abstract
摘要
https://cdn.ncbi.nlm.nih.gov/pmc/blobs/4c46/8242317/8e4aeab8c125/jcn-17-499-g001.jpg
https://cdn.ncbi.nlm.nih.gov/pmc/blobs/4c46/8242317/8e4aeab8c125/jcn-17-499-g001.jpg
https://cdn.ncbi.nlm.nih.gov/pmc/blobs/4c46/8242317/8e4aeab8c125/jcn-17-499-g001.jpg

相似文献

1
A Case of Cortical Involvement in Marchiafava-Bignami Disease Accompanying Wernicke's Encephalopathy.一例伴有韦尼克脑病的马基亚法瓦-比尼亚米病皮质受累病例。
J Clin Neurol. 2021 Jul;17(3):499-500. doi: 10.3988/jcn.2021.17.3.499.
2
A non-alcoholic Japanese patient with Wernicke's encephalopathy and Marchiafava-Bignami disease.一名患有韦尼克脑病和马奇亚法瓦-比尼亚米病的非酒精性日本患者。
Clin Neuropathol. 1984 Nov-Dec;3(6):231-6.
3
[Case of Wernicke's encephalopathy complicated with Marchiafava-Bignami syndrome].[韦尼克脑病合并马基亚法瓦-比尼亚米综合征病例]
Nihon Naika Gakkai Zasshi. 1997 Oct 10;86(10):1969-71. doi: 10.2169/naika.86.1969.
4
[A case of Marchiafava-Bignami disease that responded to high-dose intravenous corticosteroid administration].
Rinsho Shinkeigaku. 2000 Nov;40(11):1122-5.
5
Altered sensorium in a chronic alcoholic: pancreatic encephalopathy, Wernicke's encephalopathy or Marchiafava Biganami disease?一名慢性酒精中毒患者出现意识改变:是胰性脑病、韦尼克脑病还是马基亚法瓦-比尼亚米病?
Trop Gastroenterol. 2015 Oct-Dec;36(4):266-8. doi: 10.7869/tg.303.
6
[Alcoholic encephalopathy; study of a case with pathological characteristics of Marchiafava's disease and Wernicke's polioencephalitis].
Arch Hosp Univ. 1952 May-Jun;4(3):371-90.
7
Brain lesions in alcoholics.酗酒者的脑部病变
Alcohol Clin Exp Res. 1993 Feb;17(1):2-11. doi: 10.1111/j.1530-0277.1993.tb00718.x.
8
Marchiafava-Bignami disease in a non-alcoholic Indian male.一名非酒精性印度男性的马基亚法瓦-比尼亚米病
Pathology. 1979 Apr;11(2):241-9. doi: 10.3109/00313027909061950.
9
Neuroimaging of chronic alcohol misuse.慢性酒精滥用的神经影像学
J Med Imaging Radiat Oncol. 2017 Aug;61(4):435-440. doi: 10.1111/1754-9485.12572. Epub 2016 Dec 16.
10
Marchiafava-Bignami disease in chronic alcoholic patient.慢性酒精中毒患者的马基亚法瓦-比尼亚米病
Radiol Case Rep. 2016 Jul 9;11(3):234-7. doi: 10.1016/j.radcr.2016.05.015. eCollection 2016 Sep.

引用本文的文献

1
Marchiafava-Bignami Disease in a Patient With Polysubstance Use Disorder.一名患有多种物质使用障碍患者的马基亚法瓦-比尼亚米病
Cureus. 2024 May 6;16(5):e59730. doi: 10.7759/cureus.59730. eCollection 2024 May.
2
Marchiafava-Bignami disease: Case presentation and radiological imaging.马基亚法瓦-比尼亚米病:病例报告与影像学表现
Radiol Case Rep. 2023 Aug 26;18(11):3922-3925. doi: 10.1016/j.radcr.2023.08.032. eCollection 2023 Nov.

本文引用的文献

1
Nonalcoholic Wernicke encephalopathy with extensive cortical involvement: cortical laminar necrosis and hemorrhage demonstrated with susceptibility-weighted MR phase images.伴有广泛皮质受累的非酒精性韦尼克脑病:敏感性加权磁共振相位成像显示皮质层状坏死和出血。
AJNR Am J Neuroradiol. 2011 Feb;32(2):E37-8. doi: 10.3174/ajnr.A2359. Epub 2011 Jan 13.
2
Acute Marchiafava-Bignami disease with widespread callosal and cortical lesions.伴有广泛胼胝体和皮质病变的急性马基亚法瓦-比尼亚米病
J Korean Med Sci. 2007 Oct;22(5):908-11. doi: 10.3346/jkms.2007.22.5.908.
3
Restricted diffusion of the splenium in acute Wernicke's encephalopathy.
急性韦尼克脑病中胼胝体压部的扩散受限
J Neuroimaging. 2005 Oct;15(4):373-5. doi: 10.1177/1051228405279037.
4
MR imaging with diffusion-weighted imaging in acute and chronic Wernicke encephalopathy.急性和慢性韦尼克脑病的磁共振成像及扩散加权成像
AJNR Am J Neuroradiol. 2005 Oct;26(9):2306-10.
5
Use of high-dose cortisone in a patient with Marchiafava-Bignami disease.
J Neurol. 2003 Jun;250(6):758-60. doi: 10.1007/s00415-003-1072-6.