Suppr超能文献

夸祖鲁-纳塔尔省儿科人群颅内肿块的MRI特征:一项基于神经影像学的研究。

MRI characteristics of intracranial masses in the paediatric population of KwaZulu-Natal: A neuroimaging-based study.

作者信息

Gumede Nompumelelo P, Langa Sithembiso M, Enicker Basil

机构信息

Department of Radiology, College of Health Sciences, University of KwaZulu-Natal, Durban, South Africa.

Department of Radiology, Jackpersad and Partners Inc., Durban, South Africa.

出版信息

SA J Radiol. 2021 May 28;25(1):2042. doi: 10.4102/sajr.v25i1.2042. eCollection 2021.

Abstract

BACKGROUND

MRI is the imaging modality of choice for the assessment of intracranial masses in children. Imaging is vital in planning further management.

OBJECTIVES

The purpose of this study was to describe the common intracranial masses and their imaging characteristics in the paediatric population referred to Inkosi Albert Luthuli Central Hospital for MRI of the brain.

METHOD

We retrospectively reviewed the medical records of paediatric patients (aged from birth to 18 years) who underwent MRI investigations for intracranial masses between January 2010 and December 2016.

RESULTS

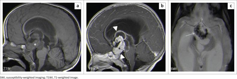
A total of 931 MRI brain scans were performed. One hundred and seven scans met the inclusion criteria, of which 92 were primary brain tumours and 15 were inflammatory masses. The majority were females (56%). The mean age was 12 ± 4.52 (range of 3-18 years). The most common presenting symptom was seizures (70/107, 65.4%). We categorised the masses according to supra- and infratentorial compartments. The most common site for masses was the supratentorial compartment ( = 56, 52%). The most common masses in the supratentorial compartment were craniopharyngiomas (14/45, 31.1%), whilst in the infratentorial compartment, the most common masses were medulloblastomas (24/47, 51.1%).

CONCLUSION

In our series, the supratentorial compartment was the commonest site for intracranial masses. The most common tumour in the infratentorial compartment was medulloblastoma. This information is vital in formulating differential diagnoses of intracranial masses.

摘要

背景

磁共振成像(MRI)是评估儿童颅内肿块的首选成像方式。成像对于规划进一步的治疗至关重要。

目的

本研究的目的是描述转诊至因科西·阿尔伯特·卢图利中央医院进行脑部MRI检查的儿科人群中常见的颅内肿块及其成像特征。

方法

我们回顾性分析了2010年1月至2016年12月期间因颅内肿块接受MRI检查的儿科患者(年龄从出生到18岁)的病历。

结果

共进行了931次脑部MRI扫描。107次扫描符合纳入标准,其中92次为原发性脑肿瘤,15次为炎性肿块。大多数为女性(56%)。平均年龄为12±4.52岁(范围为3 - 18岁)。最常见的首发症状是癫痫发作(70/107,65.4%)。我们根据幕上和幕下腔室对肿块进行分类。肿块最常见的部位是幕上腔室(= 56,52%)。幕上腔室最常见的肿块是颅咽管瘤(14/45,31.1%),而在幕下腔室,最常见的肿块是髓母细胞瘤(24/47,51.1%)。

结论

在我们的系列研究中,幕上腔室是颅内肿块最常见的部位。幕下腔室最常见的肿瘤是髓母细胞瘤。这些信息对于制定颅内肿块的鉴别诊断至关重要。

https://cdn.ncbi.nlm.nih.gov/pmc/blobs/1fc8/8182454/7f61f1d762e9/SAJR-25-2042-g001.jpg

相似文献

1
MRI characteristics of intracranial masses in the paediatric population of KwaZulu-Natal: A neuroimaging-based study.
SA J Radiol. 2021 May 28;25(1):2042. doi: 10.4102/sajr.v25i1.2042. eCollection 2021.
2
"A tumour registry initiative".
World Neurosurg X. 2023 Jun 25;20:100227. doi: 10.1016/j.wnsx.2023.100227. eCollection 2023 Oct.
3
Morphological pattern and frequency of intracranial tumours in children.
J Coll Physicians Surg Pak. 2004 Mar;14(3):150-2.
4
Neuroophthalmic Manifestations of Intracranial Tumours in Children.
Case Rep Ophthalmol Med. 2021 May 15;2021:7793382. doi: 10.1155/2021/7793382. eCollection 2021.
5
Epidemiology and prognosis in children treated for intracranial tumours in Denmark 1960-1984.
Childs Nerv Syst. 1998 Jul;14(7):302-11. doi: 10.1007/s003810050231.
6
Intracranial hemorrhage in term neonates.
Childs Nerv Syst. 2018 Jun;34(6):1135-1143. doi: 10.1007/s00381-018-3788-8. Epub 2018 Apr 10.
7
Surgical management of pulmonary hydatid cysts in children in KwaZulu-Natal Province, South Africa.
Afr J Thorac Crit Care Med. 2020 Oct 13;26(3). doi: 10.7196/AJTCCM.2020.v26i3.108. eCollection 2020.
10
MRI Features of Intracranial Anaplastic Ependymomas: A Comparison of Supratentorial and Infratentorial Lesions.
Front Oncol. 2020 Jul 21;10:1063. doi: 10.3389/fonc.2020.01063. eCollection 2020.

本文引用的文献

1
Management of intracranial tuberculous mass lesions: how long should we treat for?
Wellcome Open Res. 2019 Oct 31;4:158. doi: 10.12688/wellcomeopenres.15501.2. eCollection 2019.
3
Magnetic Resonance Imaging Features of Common Posterior Fossa Brain Tumors in Children: A Preliminary Vietnamese Study.
Open Access Maced J Med Sci. 2019 Aug 14;7(15):2413-2418. doi: 10.3889/oamjms.2019.635. eCollection 2019 Aug 15.
4
Magnetic resonance imaging spectrum of intracranial tubercular lesions: one disease, many faces.
Pol J Radiol. 2018 Dec 29;83:e524-e535. doi: 10.5114/pjr.2018.81408. eCollection 2018.
6
Seizures caused by brain tumors in children.
Seizure. 2017 Jan;44:98-107. doi: 10.1016/j.seizure.2016.11.028. Epub 2016 Dec 7.
7
Craniopharyngiomas : Radiological Differentiation of Two Types.
J Korean Neurosurg Soc. 2016 Sep;59(5):466-70. doi: 10.3340/jkns.2016.59.5.466. Epub 2016 Sep 8.
8
The 2016 World Health Organization Classification of Tumors of the Central Nervous System: a summary.
Acta Neuropathol. 2016 Jun;131(6):803-20. doi: 10.1007/s00401-016-1545-1. Epub 2016 May 9.
9
Management of hydrocephalus in children with posterior fossa tumors.
Surg Neurol Int. 2015 Jul 23;6(Suppl 11):S346-8. doi: 10.4103/2152-7806.161413. eCollection 2015.
10
Childhood cancer survival rates in two South African units.
S Afr Med J. 2014 May 19;104(7):501-4. doi: 10.7196/samj.7882.

文献AI研究员

20分钟写一篇综述,助力文献阅读效率提升50倍。

立即体验

用中文搜PubMed

大模型驱动的PubMed中文搜索引擎

马上搜索

文档翻译

学术文献翻译模型,支持多种主流文档格式。

立即体验