Takahashi Masafumi, Yoshimitsu Masanori, Yano Takuya, Idani Hitoshi, Shiozaki Shigehiro, Okajima Masazumi
Department of Surgery, Hiroshima City Hiroshima Citizens Hospital, 7-33, Motomachi, Naka-ku, Hiroshima City, Hiroshima, Japan 730-8518.
Case Rep Surg. 2021 May 29;2021:5535162. doi: 10.1155/2021/5535162. eCollection 2021.
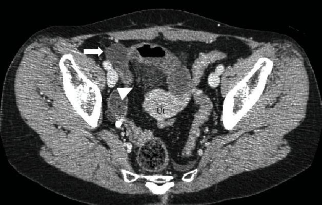
Herniation through a defect of the uterine broad ligament is a rare internal hernia that is difficult to diagnose definitively. Common hernia contents contain ileal loops. Herein, we report a rare case of internal herniation of both the ileum and fallopian tube through a defect of the broad ligament. A 52-year-old woman presented to our hospital with suprapubic pain and vomiting. She had a history of bowel obstruction following cesarean section. On abdominopelvic computed tomography, we suspected a closed-loop obstruction associated with bowel herniation in the right broad ligament. However, we could not identify an area of poor enhancement adjacent to distended small intestines. Emergency laparoscopic exploration revealed a viable ileal loop and incarcerated organ. Therefore, we switched to laparotomy that revealed the right fallopian tube as the ischemic organ. We reduced the hernia, resected necrotic right fallopian tube, and closed the defect of the broad ligament. The patient had an uneventful postoperative course. Rare hernia contents might complicate preoperative clinical diagnosis. Laparoscopy is useful for establishing a definitive diagnosis and treating broad ligament hernias.
经子宫阔韧带缺损处疝出是一种罕见的内疝,难以明确诊断。常见的疝内容物包括肠袢。在此,我们报告一例罕见的回肠和输卵管经阔韧带缺损处发生内疝的病例。一名52岁女性因耻骨上疼痛和呕吐前来我院就诊。她有剖宫产术后肠梗阻病史。在腹部盆腔计算机断层扫描中,我们怀疑右侧阔韧带存在与肠疝相关的闭袢性肠梗阻。然而,我们未能在扩张的小肠附近发现强化不佳的区域。急诊腹腔镜探查发现一个存活的肠袢和嵌顿的器官。因此,我们转为开腹手术,术中发现右侧输卵管为缺血器官。我们还纳了疝,切除了坏死的右侧输卵管,并关闭了阔韧带缺损处。患者术后恢复顺利。罕见的疝内容物可能会使术前临床诊断复杂化。腹腔镜检查有助于明确诊断和治疗阔韧带疝。