Suppr超能文献

在股前外侧皮瓣缺失后,采用动静脉袢游离背阔肌肌皮瓣联合穿支监测皮岛对下肢创伤后缺损进行多步骤重建。

Multistep reconstruction of a post-traumatic defect in the lower limb with AV loop and free myocutaneous latissimus dorsi flap combined with a perforator monitor skin island after loss of ALT flap.

作者信息

Summer Tobias, Abou Mrad Mazen, Bota Olimpiu, Bienger Kevin, Dragu Adrian

机构信息

Department for Plastic and Hand Surgery, UniversitätsCentrum für Orthopädie und Unfallchirurgie, Universitätsklinikum Carl Gustav Carus an der Technischen Universität Dresden, Germany.

Medical University of Lodz, Poland.

出版信息

GMS Interdiscip Plast Reconstr Surg DGPW. 2021 Jun 9;10:Doc05. doi: 10.3205/iprs000155. eCollection 2021.

Abstract

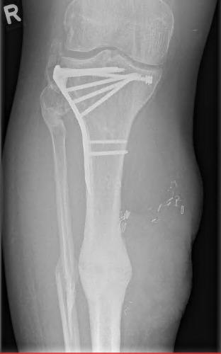
Crush injuries of the lower extremity with extensive osseous and soft tissue damage impose a big challenge even for an interdisciplinary reconstructive approach. Multistep reconstruction with negative wound pressure therapy for soft tissue management and external fixation for osseous stability preceding free flap transfer leads to optimized outcome. We report the successful multistep reconstruction of a third-degree open right tibial fracture with extensive soft tissue defect with an arteriovenous loop preceding latissimus dorsi flap coverage with a perforator skin island after loss of an anterior lateral thigh (ALT) flap due to intima damage of the recipient vessels. The described method is a safe reconstructive concept after primary flap loss with persistent extensive tissue damage.

摘要

下肢挤压伤伴有广泛的骨与软组织损伤,即便采用多学科重建方法也极具挑战性。在游离皮瓣转移前,通过负压伤口疗法处理软组织并采用外固定维持骨稳定性的多步骤重建,可实现更佳疗效。我们报告了一例成功的多步骤重建案例,患者为右胫骨开放性三度骨折,伴有广泛软组织缺损。因受区血管内膜损伤导致股前外侧(ALT)皮瓣丢失后,先采用动静脉袢,随后用带穿支皮岛的背阔肌皮瓣覆盖创面。所描述的方法是在原发性皮瓣丢失且存在持续性广泛组织损伤后的一种安全的重建理念。

https://cdn.ncbi.nlm.nih.gov/pmc/blobs/c514/8204669/6a27eabdfde5/IPRS-10-05-g-001.jpg

文献AI研究员

20分钟写一篇综述,助力文献阅读效率提升50倍。

立即体验

用中文搜PubMed

大模型驱动的PubMed中文搜索引擎

马上搜索

文档翻译

学术文献翻译模型,支持多种主流文档格式。

立即体验