Bauer Katrin, Heinzelmann Frank, Vogel Robert, Büchler Peter, Mück Björn
Abteilung für Allgemein-, Viszeral-, Thorax- und Kinderchirurgie, Klinikum Kempten, Klinikverbund Allgäu, Kempten, Germany.
GMS Interdiscip Plast Reconstr Surg DGPW. 2021 Jun 9;10:Doc08. doi: 10.3205/iprs000158. eCollection 2021.
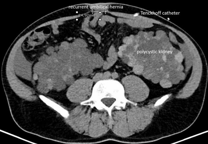
Abdominal wall hernias are frequent in patients with peritoneal dialysis. Guidelines recommend an open hernia repair with extraperitoneal mesh placement to avoid access to the abdominal cavity. We performed a lateral docking robotically assisted enhanced-view totally extraperitoneal repair (eTEP) of a recurrent umbilical hernia with diastasis recti in a patient with peritoneal dialysis due to polycystic kidney disease. After suturing of the midline a 20 x 28 cm mesh was placed in the retrorectus space, covering the whole area of preparation while also overlapping all trocar sites. A drainage was left in the retrorectus space until the first session of PD did not sample any form of leakage. Robotically assisted totally extraperitoneal hernia repair was feasible. The patient was able to continue peritoneal dialysis without intermittent hemodialysis. There was no leakage of the dialysate to the retrorectus space. Postoperative recovery was uneventful. 6 months after surgery the patient was free from pain and showed no signs of recurrence. Robotically assisted totally extraperitoneal hernia repair in patients with umbilical hernia and peritoneal dialysis could be a promising surgical technique to combine the advantages of minimally-invasive surgery with totally extraperitoneal mesh placement without access to the abdominal cavity.
腹壁疝在腹膜透析患者中很常见。指南推荐采用开放疝修补术并放置腹膜外补片,以避免进入腹腔。我们对一名因多囊肾病接受腹膜透析的患者,采用机器人辅助侧方对接增强视野完全腹膜外修补术(eTEP)治疗复发性脐疝合并腹直肌分离。缝合中线后,将一块20×28厘米的补片置于腹直肌后间隙,覆盖整个手术区域,同时也覆盖所有套管针穿刺部位。在腹直肌后间隙留置一根引流管,直到首次腹膜透析未抽出任何形式的渗漏液。机器人辅助完全腹膜外疝修补术是可行的。患者能够继续进行腹膜透析,无需间歇性血液透析。透析液没有渗漏到腹直肌后间隙。术后恢复顺利。术后6个月,患者无疼痛,无复发迹象。对于脐疝合并腹膜透析的患者,机器人辅助完全腹膜外疝修补术可能是一种很有前景的手术技术,它结合了微创手术的优点和完全腹膜外放置补片且不进入腹腔的优势。