Suppr超能文献

一例肝囊肿诱发颈内静脉血栓形成的病例。

A Case of Hepatic Cyst-Induced Internal Jugular Venous Thrombosis.

作者信息

Le Tuyen V, Truong Thai, Ngo Tam N M, Bui Quoc, Palmer Cassady, Truong Vien T, Nguyen Duc H

机构信息

Department of Cardiology, Quang Tri General Hospital, Dong Ha, Vietnam.

Department of Internal Medicine, University of Medicine and Pharmacy at Ho Chi Minh City, Ho Chi Minh City, Vietnam.

出版信息

CASE (Phila). 2021 Apr 9;5(3):170-172. doi: 10.1016/j.case.2021.02.007. eCollection 2021 Jun.

Abstract

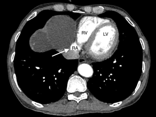
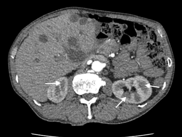
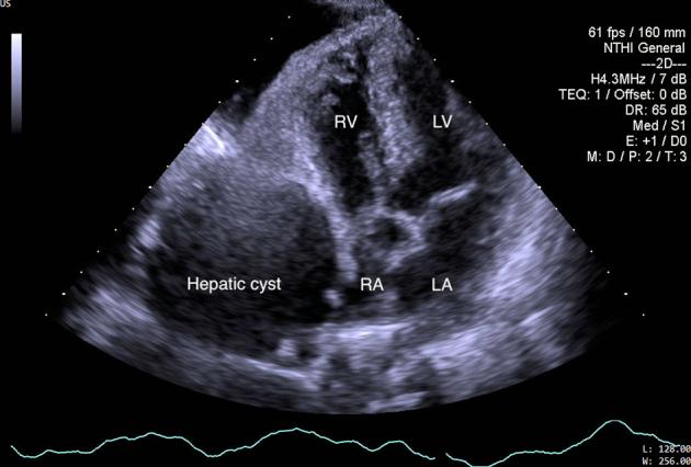
• Echocardiography can demonstrate hepatic cyst–induced right atrial compression. • Hepatic cyst–induced blood flow stasis can cause internal jugular venous thrombus. • Laparoscopic deroofing of hepatic cysts is a safe and effective treatment.

摘要

• 超声心动图可显示肝囊肿所致的右心房受压。

• 肝囊肿所致的血流淤滞可导致颈内静脉血栓形成。

• 腹腔镜下肝囊肿去顶术是一种安全有效的治疗方法。

https://cdn.ncbi.nlm.nih.gov/pmc/blobs/9673/8236394/909d9f22b6f8/fx1.jpg

文献AI研究员

20分钟写一篇综述,助力文献阅读效率提升50倍。

立即体验

用中文搜PubMed

大模型驱动的PubMed中文搜索引擎

马上搜索

文档翻译

学术文献翻译模型,支持多种主流文档格式。

立即体验