• 文献检索
  • 文档翻译
  • 深度研究
  • 学术资讯
  • Suppr Zotero 插件Zotero 插件
  • 邀请有礼
  • 套餐&价格
  • 历史记录
应用&插件
Suppr Zotero 插件Zotero 插件浏览器插件Mac 客户端Windows 客户端微信小程序
定价
高级版会员购买积分包购买API积分包
服务
文献检索文档翻译深度研究API 文档MCP 服务
关于我们
关于 Suppr公司介绍联系我们用户协议隐私条款
关注我们

Suppr 超能文献

核心技术专利:CN118964589B侵权必究
粤ICP备2023148730 号-1Suppr @ 2026

文献检索

告别复杂PubMed语法,用中文像聊天一样搜索,搜遍4000万医学文献。AI智能推荐,让科研检索更轻松。

立即免费搜索

文件翻译

保留排版,准确专业,支持PDF/Word/PPT等文件格式,支持 12+语言互译。

免费翻译文档

深度研究

AI帮你快速写综述,25分钟生成高质量综述,智能提取关键信息,辅助科研写作。

立即免费体验

肝脏与右心房 - 肝囊肿作为心律失常的一个病因。

The liver and right atrium-hepatic cyst as a cause of arrhythmia.

作者信息

Ker James

机构信息

Department of Physiology, University of Pretoria, Gesina, Pretoria, South Africa.

出版信息

Clin Med Insights Cardiol. 2010 Aug 5;4:63-7. doi: 10.4137/cmc.s5677.

DOI:10.4137/cmc.s5677
PMID:20859529
原文链接:https://pmc.ncbi.nlm.nih.gov/articles/PMC2941136/
Abstract

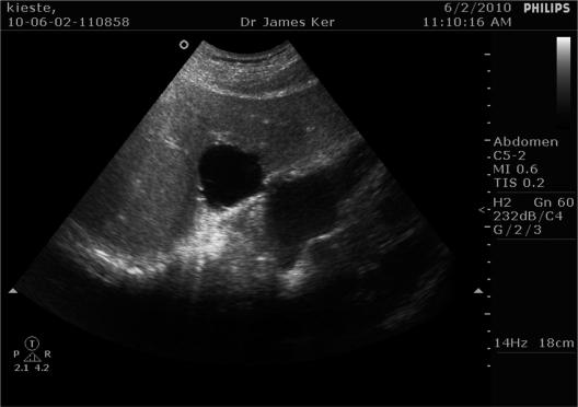
Simple hepatic cysts are a relatively common radiological finding. These cysts may be classified as parasitic and non-parasitic. They are usually asymptomatic, but may cause symptoms due to local compression. These compressive complications include: portal hypertension, edema due to caval compression, extrinsic gastric compression and duodenal compression with obstruction.However, no reports in the literature exist describing atrial compression by hepatic cysts.In this case report a simple hepatic cyst causing slight right atrial compression is described. This slight compression is the cause of atrial premature beats.It is proposed that simple hepatic cysts may be the cause of atrial premature beats.

摘要

单纯性肝囊肿是一种相对常见的影像学表现。这些囊肿可分为寄生虫性和非寄生虫性。它们通常无症状,但可能因局部压迫而引起症状。这些压迫性并发症包括:门静脉高压、腔静脉压迫导致的水肿、外在性胃压迫和十二指肠压迫伴梗阻。然而,文献中尚无关于肝囊肿压迫心房的报道。在本病例报告中,描述了一例引起右心房轻度压迫的单纯性肝囊肿。这种轻度压迫是房性早搏的原因。有人提出单纯性肝囊肿可能是房性早搏的病因。

https://cdn.ncbi.nlm.nih.gov/pmc/blobs/4eae/2941136/0cb96143c763/cmc-2010-063f5.jpg
https://cdn.ncbi.nlm.nih.gov/pmc/blobs/4eae/2941136/75c562229c41/cmc-2010-063f1.jpg
https://cdn.ncbi.nlm.nih.gov/pmc/blobs/4eae/2941136/74a82ba1cfa6/cmc-2010-063f2.jpg
https://cdn.ncbi.nlm.nih.gov/pmc/blobs/4eae/2941136/ae95d06a0d32/cmc-2010-063f3.jpg
https://cdn.ncbi.nlm.nih.gov/pmc/blobs/4eae/2941136/de012fa0d2c4/cmc-2010-063f4.jpg
https://cdn.ncbi.nlm.nih.gov/pmc/blobs/4eae/2941136/0cb96143c763/cmc-2010-063f5.jpg
https://cdn.ncbi.nlm.nih.gov/pmc/blobs/4eae/2941136/75c562229c41/cmc-2010-063f1.jpg
https://cdn.ncbi.nlm.nih.gov/pmc/blobs/4eae/2941136/74a82ba1cfa6/cmc-2010-063f2.jpg
https://cdn.ncbi.nlm.nih.gov/pmc/blobs/4eae/2941136/ae95d06a0d32/cmc-2010-063f3.jpg
https://cdn.ncbi.nlm.nih.gov/pmc/blobs/4eae/2941136/de012fa0d2c4/cmc-2010-063f4.jpg
https://cdn.ncbi.nlm.nih.gov/pmc/blobs/4eae/2941136/0cb96143c763/cmc-2010-063f5.jpg

相似文献

1
The liver and right atrium-hepatic cyst as a cause of arrhythmia.肝脏与右心房 - 肝囊肿作为心律失常的一个病因。
Clin Med Insights Cardiol. 2010 Aug 5;4:63-7. doi: 10.4137/cmc.s5677.
2
Large symptomatic simple hepatic cyst with gastric compression treated with percutaneous drainage.经皮引流治疗伴有胃压迫症状的巨大单纯性肝囊肿。
Clin Ter. 2014;165(2):e170-3. doi: 10.7471/CT.2014.1704.
3
Hepatic Cyst Compressing The Right Atrial and Ventricular Inflow Tract: An Uncommon Cardiac Complication.肝囊肿压迫右心房和心室流入道:一种不常见的心脏并发症。
Ann Hepatol. 2018 January-February;17(1):165-168. doi: 10.5604/01.3001.0010.7549.
4
Traumatic rupture of a non-parasitic simple hepatic cyst presenting as an acute surgical abdomen: Case report.非寄生虫性单纯肝囊肿外伤性破裂表现为急腹症:病例报告
Int J Surg Case Rep. 2019;65:87-90. doi: 10.1016/j.ijscr.2019.10.051. Epub 2019 Oct 28.
5
Spontaneous rupture of a large non-parasitic liver cyst: a case report.巨大非寄生虫性肝囊肿自发性破裂:一例报告
J Med Case Rep. 2010 Jan 8;4:2. doi: 10.1186/1752-1947-4-2.
6
Kidney Injury due to Ureteral Obstruction Caused by Compression from Infected Simple Hepatic Cyst.感染性单纯肝囊肿压迫所致输尿管梗阻引起的肾损伤
Case Rep Gastroenterol. 2017 May 19;11(2):312-319. doi: 10.1159/000475919. eCollection 2017 May-Aug.
7
Surgical treatment of hepatic xanthogranuloma arising from a giant hepatic cyst causing gastrointestinal obstruction: a case report.巨大肝囊肿引起胃肠道梗阻所致肝黄色肉芽肿的外科治疗:一例报告
J Surg Case Rep. 2022 Jul 30;2022(7):rjac252. doi: 10.1093/jscr/rjac252. eCollection 2022 Jul.
8
Polycystic Liver With Cardiac Compression Leading to Atrial Fibrillation: Case Report and Review of the Literature.多囊肝伴心脏受压导致心房颤动:病例报告及文献复习
Cureus. 2020 May 5;12(5):e7976. doi: 10.7759/cureus.7976.
9
Cardiac compression of a hepatic cyst in polycystic liver disease: A rare cause of hemodynamic instability.多囊肝疾病中肝囊肿的心脏压迫:血流动力学不稳定的罕见原因。
Turk J Emerg Med. 2020 Feb 26;20(2):93-96. doi: 10.4103/2452-2473.279558. eCollection 2020 Apr-Jun.
10
Massive hepatic cyst presenting as right-sided heart failure.巨大肝囊肿致右心衰竭。
Ir J Med Sci. 2012 Sep;181(3):365-7. doi: 10.1007/s11845-009-0461-y. Epub 2010 Jan 30.

引用本文的文献

1
Resolution of infertility following hydatid cyst removal: a case report.包虫囊肿切除术后不孕症的治愈:一例报告
Ann Med Surg (Lond). 2024 Sep 30;86(11):6835-6842. doi: 10.1097/MS9.0000000000002602. eCollection 2024 Nov.
2
A Case of Hepatic Cyst-Induced Internal Jugular Venous Thrombosis.一例肝囊肿诱发颈内静脉血栓形成的病例。
CASE (Phila). 2021 Apr 9;5(3):170-172. doi: 10.1016/j.case.2021.02.007. eCollection 2021 Jun.
3
Cardiac compression of a hepatic cyst in polycystic liver disease: A rare cause of hemodynamic instability.

本文引用的文献

1
Laparoscopic treatment of traumatic rupture of hydatid hepatic cyst--is it feasible?: A case report.腹腔镜治疗肝包虫囊肿外伤性破裂——可行吗?:一例病例报告。
Surg Laparosc Endosc Percutan Tech. 2009 Aug;19(4):e140-2. doi: 10.1097/SLE.0b013e3181a6f221.
2
Symptomatic hepatic cyst in a child: treatment with single-shot injection of tetracycline hydrochloride.儿童症状性肝囊肿:单次注射盐酸四环素治疗
Pediatr Radiol. 2009 Oct;39(10):1091-4. doi: 10.1007/s00247-009-1323-5. Epub 2009 Jun 26.
3
Hepatic cyst misdiagnosed as a gastric submucosal tumor: a case report.
多囊肝疾病中肝囊肿的心脏压迫:血流动力学不稳定的罕见原因。
Turk J Emerg Med. 2020 Feb 26;20(2):93-96. doi: 10.4103/2452-2473.279558. eCollection 2020 Apr-Jun.
4
Polycystic Liver With Cardiac Compression Leading to Atrial Fibrillation: Case Report and Review of the Literature.多囊肝伴心脏受压导致心房颤动:病例报告及文献复习
Cureus. 2020 May 5;12(5):e7976. doi: 10.7759/cureus.7976.
肝囊肿误诊为胃黏膜下肿瘤:一例报告
World J Gastroenterol. 2008 May 21;14(19):3092-4. doi: 10.3748/wjg.14.3092.
4
Gastric fundus impression caused by a hepatic cyst mimicking gastric submucosal tumor.肝囊肿引起的胃底压迹,酷似胃黏膜下肿瘤。
South Med J. 2006 Aug;99(8):902-3. doi: 10.1097/01.smj.0000231264.27631.e2.
5
Laparoscopic management of hepatic cysts.肝囊肿的腹腔镜治疗
Surg Laparosc Endosc Percutan Tech. 2006 Apr;16(2):68-72. doi: 10.1097/00129689-200604000-00002.
6
Haemorrhagic hepatic cyst: a differential diagnosis of cystic tumour.出血性肝囊肿:囊性肿瘤的鉴别诊断
Br J Radiol. 2001 Mar;74(879):270-2. doi: 10.1259/bjr.74.879.740270.
7
An antenatally-diagnosed solitary, non-parasitic hepatic cyst with duodenal obstruction.产前诊断为孤立性、非寄生虫性肝囊肿伴十二指肠梗阻。
Pediatr Surg Int. 2000;16(3):214-5. doi: 10.1007/s003830050727.
8
Clinical and radiographic features of simple and hydatid cysts of the liver.肝脏单纯性囊肿和包虫囊肿的临床及影像学特征
Br J Surg. 1986 Oct;73(10):835-8. doi: 10.1002/bjs.1800731025.