Suppr超能文献

一例罕见的颈动脉体瘤合并近乎完全性脑静脉窦血栓形成及特发性颅内高压。治疗策略及文献综述。

A rare case of carotid body tumor associated with near complete cerebral sinus thrombosis and idiopathic intracranial hypertension. Management strategy and review of the literature.

作者信息

Spiriev Toma Yuriev, Milev Milko, Laleva Lili, Stoyanov Stoicho, Plachkov Ivan, Staneva Milena, Nakov Vladimir

机构信息

Department of Neurosurgery, Acibadem City Clinic University Hospital Tokuda, Sofia, Bulgaria.

Department of Imaging Diagnostics Acibadem City Clinic University Hospital Tokuda, Sofia, Bulgaria.

出版信息

Surg Neurol Int. 2021 Jun 7;12:262. doi: 10.25259/SNI_170_2021. eCollection 2021.

Abstract

BACKGROUND

Carotid body tumors (CBTs) are rare hypervascular lesions with critical location which makes them very challenging to treat. In rare occasions, compression of the jugular vein from the tumor mass could predispose to progressive thrombosis of intracranial venous sinuses. The latter consequently leads to intracranial hypertension (pseudotumor cerebri) with the accompanying danger to the vision. Herewith, we present our management strategy for this rare presentation of CBTs.

CASE DESCRIPTION

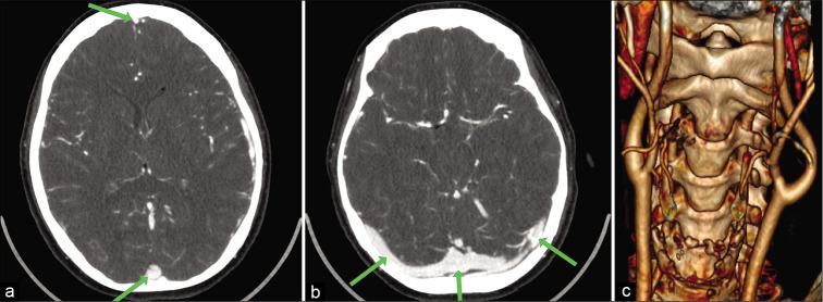
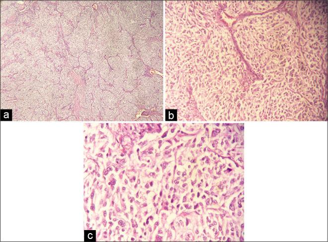
A 38-year-old woman, with no medical history, was admitted in the emergency unit with acute onset of headache, dizziness, and vomiting. On the diagnostic imaging studies (CT venography and MRI) a near total occlusion of all cerebral venous sinuses and a large CBT (Shambin Type II) were diagnosed. Initially, the patient was treated with anticoagulants for the thrombosis and with lumbo-peritoneal (LP) shunt for the management of pseudotumor cerebri. At a second stage, after resolution of the cerebral sinus thrombosis, the CBT was completely resected under electrophysiological monitoring, without preoperative embolization. At 1-year follow-up, the patient is neurologically intact with functioning LP shunt, patent cerebral venous sinuses, without tumor recurrence.

CONCLUSION

We present a rare case of CBT with intracranial complications, which was managed successfully by staged treatment. Careful study of the preoperative radiological and laboratory data, thorough preoperative planning of the tridimensional lesion anatomy, as well as meticulous microsurgical technique under intraoperative electrophysiological monitoring was essential for the successful outcome of the case.

摘要

背景

颈动脉体瘤(CBTs)是罕见的高血管性病变,位置关键,治疗极具挑战性。在极少数情况下,肿瘤肿块对颈静脉的压迫可能导致颅内静脉窦进行性血栓形成。后者进而导致颅内高压(假性脑瘤),并伴有视力受损的风险。在此,我们介绍针对这种罕见的CBT表现的治疗策略。

病例描述

一名38岁无病史女性因突发头痛、头晕和呕吐入住急诊科。经诊断性影像学检查(CT静脉造影和MRI),诊断为所有脑静脉窦几乎完全闭塞以及一个大型CBT(Shambin II型)。最初,患者接受抗凝治疗以处理血栓形成,并采用腰大池-腹腔(LP)分流术治疗假性脑瘤。在第二阶段,脑静脉窦血栓溶解后,在电生理监测下完全切除CBT,未进行术前栓塞。随访1年,患者神经功能完好,LP分流管功能正常,脑静脉窦通畅,无肿瘤复发。

结论

我们报告了一例罕见的伴有颅内并发症的CBT病例,通过分期治疗成功处理。仔细研究术前影像学和实验室数据、对三维病变解剖结构进行全面的术前规划以及在术中电生理监测下采用细致的显微外科技术是该病例取得成功结果的关键。

https://cdn.ncbi.nlm.nih.gov/pmc/blobs/6964/8247744/bcb7e284a3ff/SNI-12-262-g001.jpg

文献AI研究员

20分钟写一篇综述,助力文献阅读效率提升50倍。

立即体验

用中文搜PubMed

大模型驱动的PubMed中文搜索引擎

马上搜索

文档翻译

学术文献翻译模型,支持多种主流文档格式。

立即体验