Suppr超能文献

背侧胰腺完全缺如合并胰腺囊肿:一例报告。

Complete agenesis of dorsal pancreas with pancreatic cyst: A case report.

作者信息

Ustabasioglu Fethi Emre, Kurt Nazmi, Tuncbilek Nermin

机构信息

Department of Radiology, Trakya University Faculty of Medicine, Edirne, Turkey.

出版信息

North Clin Istanb. 2021 Apr 15;8(3):307-309. doi: 10.14744/nci.2020.24444. eCollection 2021.

Abstract

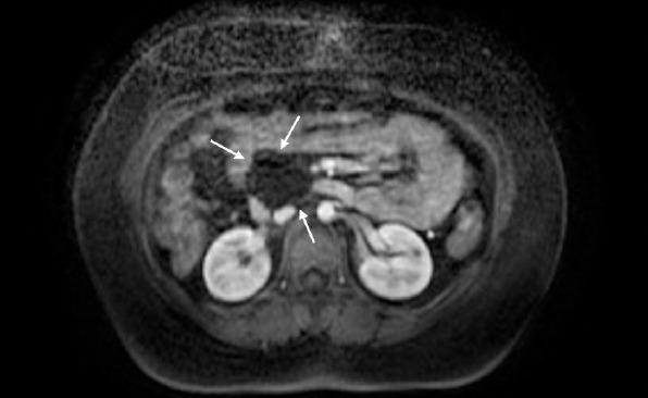
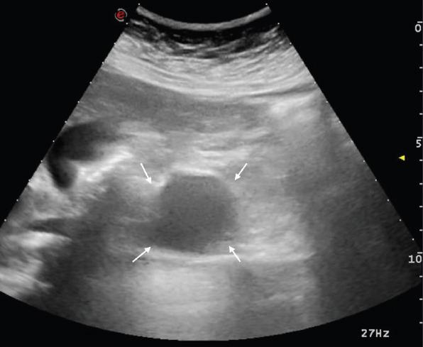
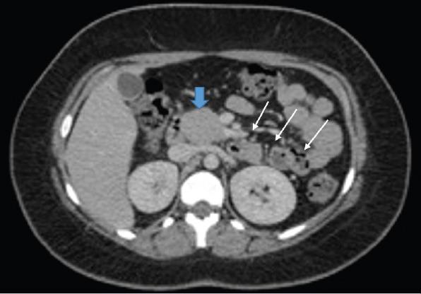
Agenesis of the dorsal pancreas (ADP) is extremely rare disease with no specific symptoms and there is no clear pathogenesis. Approximately half of the affected individuals develop diabetes resulting from reduced islet cell mass secondary to lack of endocrine structures. In this case, we aimed to present a 17-year-old female patient with ADP accompanied by a pancreatic cyst.

摘要

背侧胰腺发育不全(ADP)是一种极为罕见的疾病,没有特定症状,发病机制也不明确。大约一半的患者会因内分泌结构缺失导致胰岛细胞数量减少而患上糖尿病。在此病例中,我们旨在介绍一名17岁患有ADP并伴有胰腺囊肿的女性患者。

https://cdn.ncbi.nlm.nih.gov/pmc/blobs/f1e7/8240227/794b252aeff7/NCI-8-307-g001.jpg

文献AI研究员

20分钟写一篇综述,助力文献阅读效率提升50倍。

立即体验

用中文搜PubMed

大模型驱动的PubMed中文搜索引擎

马上搜索

文档翻译

学术文献翻译模型,支持多种主流文档格式。

立即体验