Department of Oral and Craniofacial Health Sciences, College of Dental Medicine, University of Sharjah, Sharjah, United Arab Emirates.
College of Dentistry, Gulf Medical University, Ajman, United Arab Emirates.
Head Face Med. 2021 Jul 14;17(1):28. doi: 10.1186/s13005-021-00284-0.
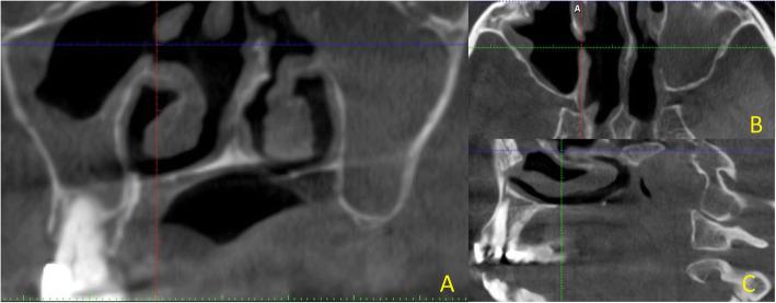
Accessory maxillary ostium (AMO) has a major role to play in the aetiology of maxillary sinusitis. Mucosal thickening is one of the key radiographic features of chronic maxillary sinusitis. The aim of this study was to identify the location of the AMOs and investigate the association between Mucosal Thickening [MT] and AMO using Cone Beam Computed Tomography [CBCT].
CBCT scans of 400 maxillary sinuses from the records of 200 patients who seeked various dental treatments at the Thumbay Dental Hospital, Gulf Medical University, Ajman, United Arab Emirates were evaluated. The incidence, anatomical position and maximal length of accessory maxillary ostia (AMO) in the maxillary antrum were reviewed using CBCT by two examiners. The association between MTs and AMOs were also analysed.
Among the 200 CBCT scans, 131 belonged to male patients and 69 scans belonged to female subjects within the age group of 18-65 years (mean age 41.32 years). AMOs were found in 142 maxillary antra (35.5 %). The inter-observer reliability for using CBCT to detect AMO was (k = 0.83). There was no significant difference in the frequency of AMOs when the age (P = 0.19) and gender (P = 0.54) distribution were considered. Sinuses with AMOs, showed significantly greater frequency of MTs (p = 0.001). AMOs with maximal length of less than 1mm were most commonly observed (51.40 %). AMOs with larger greater maximal length were associated with higher degrees of MT. The location of the AMOs, were not affected by the degree of MT.
The study demonstrates a clear association between degree of MT and occurrence of AMO in the maxillary sinus. However, the location of the AMO is independent of the degree of the MT. There is a greater probability of finding an AMO in the maxillary sinus if the MT in the sinus is more than 3 mm.
副上颌窦口(AMO)在上颌窦炎的病因学中起着重要作用。黏膜增厚是慢性上颌窦炎的关键影像学特征之一。本研究旨在确定 AMO 的位置,并使用锥形束计算机断层扫描(CBCT)研究黏膜增厚[MT]与 AMO 之间的关系。
评估了来自阿拉伯联合酋长国阿治曼 Gulf Medical University Thumbay 牙科医院寻求各种牙科治疗的 200 名患者记录中的 400 个上颌窦的 CBCT 扫描。两位检查者使用 CBCT 评估上颌窦内 AMO 的发生率、解剖位置和最大长度。还分析了 MTs 与 AMOs 之间的关系。
在 200 个 CBCT 扫描中,131 个属于 18-65 岁(平均年龄 41.32 岁)的男性患者,69 个扫描属于女性患者。在 142 个上颌窦中发现了 AMO(35.5%)。使用 CBCT 检测 AMO 的观察者间可靠性为(k=0.83)。考虑年龄(P=0.19)和性别(P=0.54)分布时,AMO 的频率无显著差异。有 AMO 的窦腔,黏膜增厚的频率明显更高(p=0.001)。长度小于 1mm 的 AMO 最常见(51.40%)。长度较大的 AMO 与更高程度的 MT 相关。AMO 的位置不受 MT 程度的影响。
该研究表明 MT 程度与上颌窦 AMO 的发生之间存在明显关联。然而,AMO 的位置与 MT 的程度无关。如果窦内 MT 大于 3mm,则更有可能发现 AMO。