Bhattarai Sandeep, Shaikh Oseen, Gaur Naveen Kumar, Tajudeen Muhamed, Kumbhar Uday
Surgery, Jawaharlal Institute of Postgraduate Medical Education and Research, Puducherry, IND.
Cureus. 2021 Jun 6;13(6):e15474. doi: 10.7759/cureus.15474. eCollection 2021 Jun.
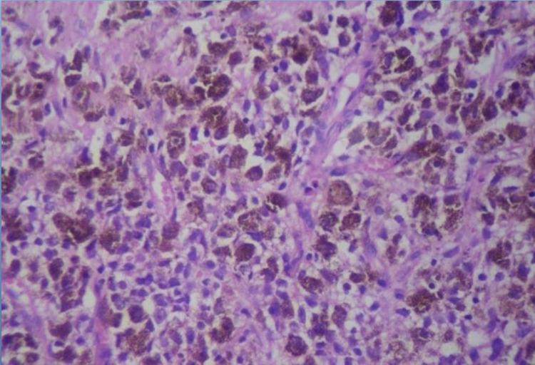
Malignant melanoma affecting the anorectum is very rare. We present a 63-year-old female who presented with features of bleeding per rectum and painful defecation. On examination, the patient had a palpable mass on the right side of the anorectum, with predominant exophytic growth and intraluminal extension. Biopsy and imaging studies were diagnostic of malignant melanoma. The patient was discussed on the tumor board and planned for abdominoperineal resection. Postoperatively, the patient was started on chemotherapy. The patient was followed up for two years, and there was no evidence of any recurrence.
累及肛管直肠的恶性黑色素瘤非常罕见。我们报告一名63岁女性,她表现为直肠出血和排便疼痛。检查时,患者在肛管直肠右侧可触及肿块,主要为外生性生长并向管腔内延伸。活检和影像学检查诊断为恶性黑色素瘤。该患者在肿瘤讨论会上进行了讨论,并计划行腹会阴联合切除术。术后,患者开始接受化疗。对患者进行了两年的随访,没有任何复发的迹象。