Suppr超能文献

新型冠状病毒感染诱发急性播散性脑脊髓炎中的复杂运动障碍

Complex movement disorders in SARS-CoV-2 infection induced acute disseminated encephalomyelitis.

作者信息

Ghosh Ritwik, Dubey Souvik, Mandal Arpan, Ray Biman Kanti, Benito-León Julián

机构信息

Department of General Medicine, Burdwan Medical College & Hospital, Burdwan, West Bengal, India.

Department of Neuromedicine, Bangur Institute of Neurosciences, Kolkata, India.

出版信息

J Neuroimmunol. 2021 Sep 15;358:577655. doi: 10.1016/j.jneuroim.2021.577655. Epub 2021 Jun 30.

Abstract

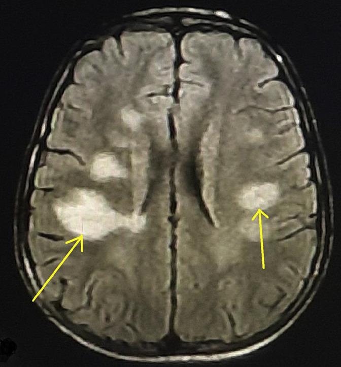
Movement disorders are extremely rare in acute disseminated encephalomyelitis (ADEM) and in the novel severe acute respiratory syndrome coronavirus (SARS-CoV-2) infection. We herein report a 34-years-old previously healthy woman who presented with a febrile illness and a constellation of movement disorders (predominantly myoclonus) followed by encephalopathy. After exclusion of common infectious, autoimmune and paraneoplastic etiologies, she was diagnosed to have COVID-19 induced ADEM, which responded to intravenous methylprednisolone and intravenous immunoglobulin. Our case adds to the tally of cases of post-SARS-CoV-2 infection related movement disorders and to the exceedingly rare list of cases in which movement disorders preceded ADEM.

摘要

运动障碍在急性播散性脑脊髓炎(ADEM)和新型严重急性呼吸综合征冠状病毒(SARS-CoV-2)感染中极为罕见。我们在此报告一名34岁既往健康的女性,她出现发热性疾病,并伴有一系列运动障碍(主要是肌阵挛),随后出现脑病。在排除常见的感染、自身免疫和副肿瘤病因后,她被诊断为COVID-19诱发的ADEM,对静脉注射甲泼尼龙和静脉注射免疫球蛋白有反应。我们的病例增加了SARS-CoV-2感染后相关运动障碍的病例数,也增加了运动障碍先于ADEM出现的极为罕见的病例清单。

https://cdn.ncbi.nlm.nih.gov/pmc/blobs/b086/8243636/753bed6bf152/ga1_lrg.jpg

文献AI研究员

20分钟写一篇综述,助力文献阅读效率提升50倍。

立即体验

用中文搜PubMed

大模型驱动的PubMed中文搜索引擎

马上搜索

文档翻译

学术文献翻译模型,支持多种主流文档格式。

立即体验