Suppr超能文献

COVID-19 后小儿 Fisher-Evans 综合征伴急性播散性脑脊髓炎。

ADEM post-Sars-CoV-2 infection in a pediatric patient with Fisher-Evans syndrome.

机构信息

Child Neuropsychiatry School, University of Palermo, Piazzale delle Cliniche, 90100, Palermo, Italy.

U.O.C Neuroradiology ARNAS Civico, Piazzale Nicola Leotta 4, 90100, Palermo, Italy.

出版信息

Neurol Sci. 2021 Oct;42(10):4293-4296. doi: 10.1007/s10072-021-05311-1. Epub 2021 May 12.

Abstract

INTRODUCTION

Sars-CoV-2 is a single-strained RNA virus belonging to Coronaviridae's family. In pediatric age, the majority of patients is asymptomatic; however, several neurological manifestations associated with Sars-CoV-2 infection have been detected in a percentage of cases ranging from 17.3 to 36.4%. Acute disseminated encephalomyelitis (ADEM) has been recently included among the potential complications of Sars-Cov2 infection. The available data regarding pediatric patient show only one case.

CASE REPORT

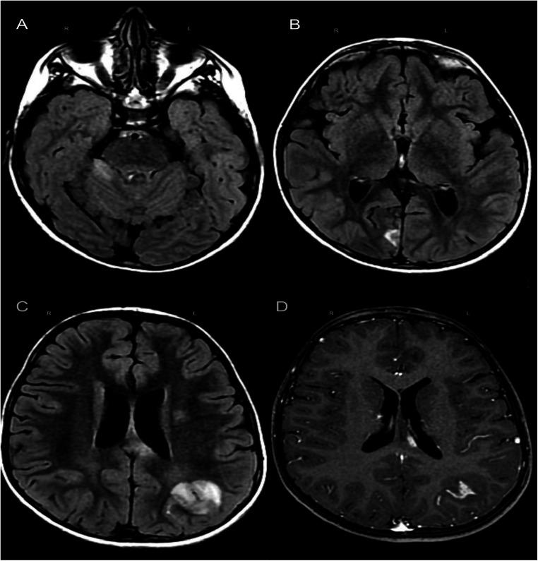
We present a case regarding a 6-year-old patient suffering from Fisher-Evans syndrome who was given sirolimus and thalidomide therapy. After 10 days since the first positive nasopharyngeal swab for Sars-CoV-2, in which he had no symptoms, he presented an episode of generalized tonic-clonic seizure with spontaneous resolution. The patient underwent MRI which showed the typical picture of acute disseminated encephalomyelitis. His clinical course was favorable, with a good response to cortisone therapy and a progressive improvement of the neuroradiological and electroencephalographic picture.

CONCLUSIONS

According to our knowledge, this is the second case of an acute disseminated encephalomyelitis following SARS-CoV-2 infection in a pediatric patient, characterized by monosymptomatic onset, in which the immunosuppressive therapy practiced for the Fisher-Evans syndrome has probably contributed to a favorable evolution of ADEM, in contrast to other case described in the literature.

摘要

介绍

Sars-CoV-2 是一种单链 RNA 病毒,属于冠状病毒科。在儿科患者中,大多数患者无症状;然而,在 17.3%至 36.4%的病例中,已检测到与 Sars-CoV-2 感染相关的几种神经系统表现。急性播散性脑脊髓炎(ADEM)最近已被列入 Sars-Cov2 感染的潜在并发症之一。关于儿科患者的现有数据仅显示了一例。

病例报告

我们报告了一例 6 岁 Fisher-Evans 综合征患儿的病例,他接受了西罗莫司和沙利度胺治疗。在首次鼻咽拭子检测出 Sars-CoV-2 阳性(无任何症状)后的 10 天,他出现了全面性强直阵挛性发作,自行缓解。患者接受了 MRI 检查,显示出急性播散性脑脊髓炎的典型表现。他的临床病程良好,对皮质激素治疗反应良好,神经影像学和脑电图表现逐渐改善。

结论

据我们所知,这是第二位儿科患者在感染 Sars-CoV-2 后发生急性播散性脑脊髓炎的病例,其特征为单症状发作,Fisher-Evans 综合征的免疫抑制治疗可能有助于 ADEM 的良好演变,与文献中描述的其他病例不同。

https://cdn.ncbi.nlm.nih.gov/pmc/blobs/587e/8115868/af20f98e45a1/10072_2021_5311_Fig1_HTML.jpg

文献检索

告别复杂PubMed语法,用中文像聊天一样搜索,搜遍4000万医学文献。AI智能推荐,让科研检索更轻松。

立即免费搜索

文件翻译

保留排版,准确专业,支持PDF/Word/PPT等文件格式,支持 12+语言互译。

免费翻译文档

深度研究

AI帮你快速写综述,25分钟生成高质量综述,智能提取关键信息,辅助科研写作。

立即免费体验