Suppr超能文献

苍术苷通过增强成骨细胞分化和减少破骨细胞形成来防治钛颗粒诱导的骨溶解。

Curculigoside Protects against Titanium Particle-Induced Osteolysis through the Enhancement of Osteoblast Differentiation and Reduction of Osteoclast Formation.

机构信息

Department of Orthopaedic Surgery, Second Affiliated Hospital, School of Medicine, Zhejiang University, Hangzhou, 310009 Zhejiang Province, China.

Department of Orthopaedics, Xiaoshan Traditional Chinese Medical Hospital, Hangzhou, 311201 Zhejiang Province, China.

出版信息

J Immunol Res. 2021 Jul 4;2021:5707242. doi: 10.1155/2021/5707242. eCollection 2021.

Abstract

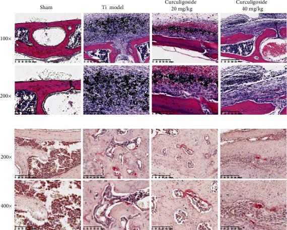
Wear particle-induced periprosthetic osteolysis is mainly responsible for joint replacement failure and revision surgery. Curculigoside is reported to have bone-protective potential, but whether curculigoside attenuates wear particle-induced osteolysis remains unclear. In this study, titanium particles (Ti) were used to stimulate osteoblastic MC3T3-E1 cells in the presence or absence of curculigoside, to determine their effect on osteoblast differentiation. Rat osteoclastic bone marrow stromal cells (BMSCs) were cocultured with Ti in the presence or absence of curculigoside, to evaluate its effect on osteoclast formation . Ti was also used to stimulate mouse calvaria to induce an osteolysis model, and curculigoside was administrated to evaluate its effect in the osteolysis model by micro-CT imaging and histopathological analyses. As the results indicated, in MC3T3-E1 cells, curculigoside treatment attenuated the Ti-induced inhibition on cell differentiation and apoptosis, increased alkaline phosphatase activity (ALP) and cell mineralization, and inhibited TNF-, IL-1, and IL-6 production and ROS generation. In BMSCs, curculigoside treatment suppressed the Ti-induced cell formation and suppressed the TNF-, IL-1, and IL-6 production and F-actin ring formation. , curculigoside attenuated Ti-induced bone loss and histological damage in murine calvaria. Curculigoside treatment also reversed the RANK/RANKL/OPG and NF-B signaling pathways, by suppressing the RANKL and NF-B expression, while activating the OPG expression. Our study demonstrated that curculigoside treatment was able to attenuate wear particle-induced periprosthetic osteolysis in and experiments, promoted osteoblastic MC3T3-E1 cell differentiation, and inhibited osteoclast BMSC formation. It suggests that curculigoside may be a potential pharmaceutical agent for wear particle-stimulated osteolysis therapy.

摘要

磨损颗粒诱导的假体周围骨溶解主要导致关节置换失败和翻修手术。毛蕊花糖苷具有骨保护作用,但毛蕊花糖苷是否能减轻磨损颗粒诱导的骨溶解仍不清楚。在这项研究中,使用钛颗粒 (Ti) 在存在或不存在毛蕊花糖苷的情况下刺激成骨细胞 MC3T3-E1 细胞,以确定其对成骨细胞分化的影响。将大鼠破骨细胞骨髓基质细胞 (BMSC) 与 Ti 共培养,在存在或不存在毛蕊花糖苷的情况下,评估其对破骨细胞形成的影响。还使用 Ti 刺激小鼠颅骨以诱导骨溶解模型,并给予毛蕊花糖苷以通过 micro-CT 成像和组织病理学分析评估其在骨溶解模型中的作用。结果表明,在 MC3T3-E1 细胞中,毛蕊花糖苷处理可减轻 Ti 诱导的细胞分化和凋亡抑制,增加碱性磷酸酶活性 (ALP) 和细胞矿化,并抑制 TNF-α、IL-1 和 IL-6 的产生和 ROS 的生成。在 BMSCs 中,毛蕊花糖苷处理抑制 Ti 诱导的细胞形成,并抑制 TNF-α、IL-1 和 IL-6 的产生和 F-肌动蛋白环形成。在体内,毛蕊花糖苷减轻了 Ti 诱导的小鼠颅骨骨丢失和组织学损伤。毛蕊花糖苷处理还通过抑制 RANKL 和 NF-κB 的表达,同时激活 OPG 的表达,逆转了 RANK/RANKL/OPG 和 NF-κB 信号通路。我们的研究表明,毛蕊花糖苷处理能够减轻体内和体外磨损颗粒诱导的假体周围骨溶解,促进成骨细胞 MC3T3-E1 细胞分化,并抑制破骨细胞 BMSC 形成。这表明毛蕊花糖苷可能是一种用于治疗磨损颗粒刺激的骨溶解的潜在药物。

https://cdn.ncbi.nlm.nih.gov/pmc/blobs/12e6/8275416/817085a80183/JIR2021-5707242.001.jpg

文献AI研究员

20分钟写一篇综述,助力文献阅读效率提升50倍。

立即体验

用中文搜PubMed

大模型驱动的PubMed中文搜索引擎

马上搜索

文档翻译

学术文献翻译模型,支持多种主流文档格式。

立即体验