• 文献检索
  • 文档翻译
  • 深度研究
  • 学术资讯
  • Suppr Zotero 插件Zotero 插件
  • 邀请有礼
  • 套餐&价格
  • 历史记录
应用&插件
Suppr Zotero 插件Zotero 插件浏览器插件Mac 客户端Windows 客户端微信小程序
定价
高级版会员购买积分包购买API积分包
服务
文献检索文档翻译深度研究API 文档MCP 服务
关于我们
关于 Suppr公司介绍联系我们用户协议隐私条款
关注我们

Suppr 超能文献

核心技术专利:CN118964589B侵权必究
粤ICP备2023148730 号-1Suppr @ 2026

文献检索

告别复杂PubMed语法,用中文像聊天一样搜索,搜遍4000万医学文献。AI智能推荐,让科研检索更轻松。

立即免费搜索

文件翻译

保留排版,准确专业,支持PDF/Word/PPT等文件格式,支持 12+语言互译。

免费翻译文档

深度研究

AI帮你快速写综述,25分钟生成高质量综述,智能提取关键信息,辅助科研写作。

立即免费体验

豚鼠食管横纹肌某些超微结构特征的定量研究。

A quantitative investigation into some ultrastructural characteristics of guinea-pig oesophageal striated muscle.

作者信息

Whitmore I, Notman J A

机构信息

Department of Cell and Structural Biology, University of Manchester.

出版信息

J Anat. 1987 Aug;153:233-9.

PMID:3429323
原文链接:https://pmc.ncbi.nlm.nih.gov/articles/PMC1261797/
Abstract

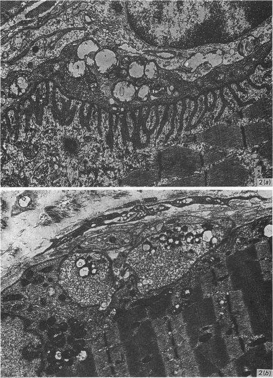
Electron micrographs of guinea-pig oesophageal striated muscle have been subjected to quantitative assessment. The results show that whereas the motor end-plates are considerably simpler than those of control hindlimb muscles, the Z-line width and M-line bridges are those of fast-twitch, oxidative and glycolytic fibres. Guinea-pig oesophageal striated muscle continues to defy classification into the normally accepted subtypes for skeletal muscle and should thus be considered as an example of 'visceral striated muscle'.

摘要

豚鼠食管横纹肌的电子显微镜照片已接受定量评估。结果表明,虽然运动终板比对照后肢肌肉的运动终板要简单得多,但Z线宽度和M线桥却是快肌纤维、氧化型纤维和糖酵解型纤维的特征。豚鼠食管横纹肌仍然难以被归类为骨骼肌通常公认的亚型,因此应被视为“内脏横纹肌”的一个例子。

https://cdn.ncbi.nlm.nih.gov/pmc/blobs/1223/1261797/3da462e92a46/janat00179-0234-a.jpg
https://cdn.ncbi.nlm.nih.gov/pmc/blobs/1223/1261797/554ae3359840/janat00179-0232-a.jpg
https://cdn.ncbi.nlm.nih.gov/pmc/blobs/1223/1261797/3da462e92a46/janat00179-0234-a.jpg
https://cdn.ncbi.nlm.nih.gov/pmc/blobs/1223/1261797/554ae3359840/janat00179-0232-a.jpg
https://cdn.ncbi.nlm.nih.gov/pmc/blobs/1223/1261797/3da462e92a46/janat00179-0234-a.jpg

相似文献

1
A quantitative investigation into some ultrastructural characteristics of guinea-pig oesophageal striated muscle.豚鼠食管横纹肌某些超微结构特征的定量研究。
J Anat. 1987 Aug;153:233-9.
2
The ultrastructure of oesophageal striated muscle in the guinea-pig and marmoset.
Cell Tissue Res. 1983;234(2):365-76. doi: 10.1007/BF00213774.
3
Oesophageal striated muscle arrangement and histochemical fibre types in guinea-pig, marmoset, macaque and man.豚鼠、狨猴、猕猴和人类的食管横纹肌排列及组织化学纤维类型
J Anat. 1982 Jun;134(Pt 4):685-95.
4
[Ultrastructure of the vocal muscle and its morphological differences from the myocardium].
Z Mikrosk Anat Forsch. 1976;90(1):29-47.
5
Light and electron microscopic observations on noradrenergic nerves and striated muscle cells of the guinea pig urethra.豚鼠尿道去甲肾上腺素能神经和横纹肌细胞的光镜与电镜观察
Am J Anat. 1977 May;149(1):121-6. doi: 10.1002/aja.1001490110.
6
A comparison of the mechanical properties of oesophageal striated muscle with skeletal muscles of the guinea pig.
Pflugers Arch. 1982 Dec;395(4):312-7. doi: 10.1007/BF00580795.
7
A unique striated muscle: further morphological and x-ray microanalytical investigation of the stapedius muscle of the guinea pig using thin and thick cryosections.一种独特的横纹肌:使用薄和厚的冷冻切片对豚鼠镫骨肌进行进一步的形态学和X射线微量分析研究。
J Submicrosc Cytol. 1984 Jul;16(3):479-85.
8
A new type of striated muscle in mammalian body: morphological, histochemical, and x-ray microanalytical observations of stapedius muscle in guinea pig.哺乳动物体内一种新型横纹肌:豚鼠镫骨肌的形态学、组织化学及X射线微量分析观察
J Ultrastruct Res. 1981 Jul;76(1):46-56. doi: 10.1016/s0022-5320(81)80049-4.
9
The morphology and innervation of subepithelial "striated" muscle cells in the male guinea-pig urethra.
Cell Tissue Res. 1976 Oct 29;174(2):281-8. doi: 10.1007/BF00222165.
10
Histochemistry of the striated musculature in the opossum and human oesophagus.负鼠和人类食管横纹肌的组织化学
J Anat. 1982 Mar;134(Pt 2):407-14.

引用本文的文献

1
The effect of an effortful swallow on the normal adult esophagus.用力吞咽对正常成年食管的影响。
Dysphagia. 2007 Oct;22(4):312-25. doi: 10.1007/s00455-007-9107-2.

本文引用的文献

1
Direct correlation of histochemical profile to the ultrastructure of single myofibers and their neuromuscular junctions from a mixed muscle.混合肌肉中单个肌纤维及其神经肌肉接头的组织化学特征与超微结构的直接相关性。
Anat Rec. 1982 May;203(1):1-17. doi: 10.1002/ar.1092030102.
2
Z- and M-band appearance in different histochemically defined types of human skeletal muscle fibers.不同组织化学定义类型的人类骨骼肌纤维中的Z带和M带外观
J Histochem Cytochem. 1982 Jan;30(1):1-11. doi: 10.1177/30.1.7054271.
3
The ultrastructure of oesophageal striated muscle in the guinea-pig and marmoset.
Cell Tissue Res. 1983;234(2):365-76. doi: 10.1007/BF00213774.
4
A comparison of the mechanical properties of oesophageal striated muscle with skeletal muscles of the guinea pig.
Pflugers Arch. 1982 Dec;395(4):312-7. doi: 10.1007/BF00580795.
5
Oesophageal striated muscle arrangement and histochemical fibre types in guinea-pig, marmoset, macaque and man.豚鼠、狨猴、猕猴和人类的食管横纹肌排列及组织化学纤维类型
J Anat. 1982 Jun;134(Pt 4):685-95.
6
The ultrastructure of the neuromuscular junctions of mammalian red, white, and intermediate skeletal muscle fibers.哺乳动物红色、白色和中间型骨骼肌纤维神经肌肉接头的超微结构。
J Cell Biol. 1970 Jul;46(1):27-41. doi: 10.1083/jcb.46.1.27.
7
An electron microscopic comparison of motor end-plates of slow and fast skeletal muscle fibres of the mouse.小鼠慢、快骨骼肌纤维运动终板的电子显微镜比较。
J Neurol Sci. 1971 Sep;14(1):37-45. doi: 10.1016/0022-510x(71)90128-6.
8
Hindlimb muscle fiber populations of five mammals.五种哺乳动物的后肢肌纤维群体
J Histochem Cytochem. 1973 Jan;21(1):51-5. doi: 10.1177/21.1.51.
9
The three-dimensional structure of motor endplates in different fiber types of rat intercostal muscle. A scanning electron-microscopic study.大鼠肋间肌不同纤维类型运动终板的三维结构。一项扫描电子显微镜研究。
Cell Tissue Res. 1985;241(3):465-72. doi: 10.1007/BF00214564.
10
Discrimination between fiber populations in mammalian skeletal muscle by using ultrastructural parameters.利用超微结构参数区分哺乳动物骨骼肌中的纤维群体。
J Ultrastruct Res. 1976 Jan;54(1):76-88. doi: 10.1016/s0022-5320(76)80010-x.