Suppr超能文献

兔肠外营养联合饥饿所致肝组织损伤的组织病理学及电子显微镜研究

Histopathologic and electron microscopic investigation of the damage to liver tissue caused by parenteral nutrition combined with starvation in rabbits.

作者信息

Gürünlüoğlu Semra, Gül Mehmet, Bağ Harika Gözükara

机构信息

Department of Pathology, Malatya Education and Research Hospital, Malatya, Turkey.

Department of Histology and Embryology, Faculty of Medicine, Inönü University, Malatya, Turkey.

出版信息

Clin Exp Hepatol. 2021 Jun;7(2):215-222. doi: 10.5114/ceh.2021.106227. Epub 2021 May 18.

Abstract

AIM OF THE STUDY

To conduct a histopathological examination of the damaging effects of the combination of parenteral nutrition (PN) with starvation on liver tissue using transmission electron and light microscopy.

MATERIAL AND METHODS

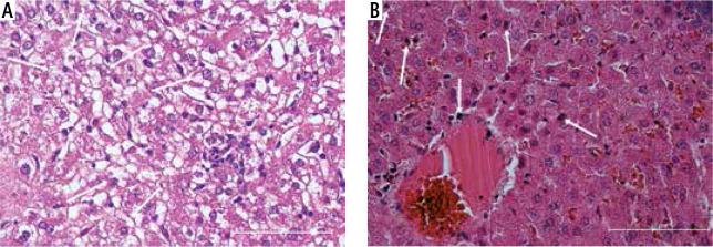
Four groups ( = 14 each) consisting of equal numbers of female and male New Zealand rabbits were formed: a group left completely unfed and receiving full-dose PN (full-dose PN group), a group provided with feed covering half its nutritional needs and receiving half-dose PN (half-dose PN + oral nutrition group), a group provided with feed covering half its nutritional needs (semi-starvation group), and a group provided with feed covering all its nutritional needs (control group). After 10 days, all rabbits were weighed, anesthetized, and euthanized, and liver tissue samples were collected. Histopathologic examination was performed by a surgical pathologist blinded to the experimental groups. Portal inflammation, ballooning degeneration, apoptosis and fibrosis were evaluated and statistically analyzed.

RESULTS

Severe portal inflammation, moderate portal fibrosis, slight ballooning degeneration, and moderate apoptosis were found in the full-dose PN group. Mild portal inflammation, fibrosis and mild apoptosis were found in the half-dose PN + oral nutrition group. The results of the other two groups were found normal.

CONCLUSIONS

Liver damage caused by PN combined with starvation can be devastating. The damage can be minimized by combining PN with enteral nutrition.

摘要

研究目的

采用透射电子显微镜和光学显微镜对肠外营养(PN)与饥饿联合作用于肝脏组织的损伤效应进行组织病理学检查。

材料与方法

将数量相等的雌性和雄性新西兰兔分为四组(每组 = 14只):完全禁食并接受全剂量PN的组(全剂量PN组),给予满足其一半营养需求的饲料并接受半剂量PN的组(半剂量PN + 口服营养组),给予满足其一半营养需求的饲料的组(半饥饿组),以及给予满足其全部营养需求的饲料的组(对照组)。10天后,对所有兔子称重、麻醉并实施安乐死,然后采集肝脏组织样本。由。由对实验组不知情的外科病理学家进行组织病理学检查。对门静脉炎症、气球样变性、凋亡和纤维化进行评估并进行统计分析。

结果

全剂量PN组出现严重的门静脉炎症、中度门静脉纤维化、轻度气球样变性和中度凋亡。半剂量PN + 口服营养组出现轻度门静脉炎症、纤维化和轻度凋亡。其他两组结果正常。

结论

PN与饥饿联合导致的肝损伤可能是毁灭性的。将PN与肠内营养联合可使损伤最小化。

https://cdn.ncbi.nlm.nih.gov/pmc/blobs/5787/8284165/dd69b0e9d7a0/CEH-7-44119-g001.jpg

文献AI研究员

20分钟写一篇综述,助力文献阅读效率提升50倍。

立即体验

用中文搜PubMed

大模型驱动的PubMed中文搜索引擎

马上搜索

文档翻译

学术文献翻译模型,支持多种主流文档格式。

立即体验