Suppr超能文献

一例罕见的成人肾上腺节细胞神经母细胞瘤混合型病例及文献复习

A rare case of adrenal ganglioneuroblastoma-intermixed in an adult and a review of literature.

作者信息

Vassallo Lorenzo, Fasciano Mirella, Baralis Ilaria, Pellegrino Luca, Fortunato Mirella, Orcioni Giulio Fraternali, Sorrentino Stefania

机构信息

Unit of Radiology, S.S. Annunziata Hospital, ASLCN1, Via degli Ospedali 9, 12038, Cuneo, Italy.

Department of Diagnostic and Interventional Radiology, S. Croce e Carle Hospital, Via Michele Coppino 26, 12100, Cuneo, Italy.

出版信息

Radiol Case Rep. 2021 Jul 1;16(9):2351-2356. doi: 10.1016/j.radcr.2021.06.005. eCollection 2021 Sep.

Abstract

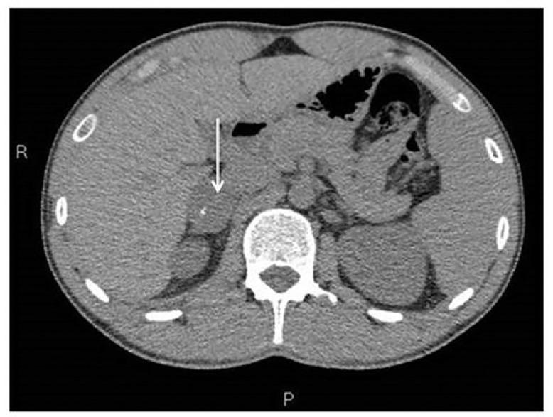
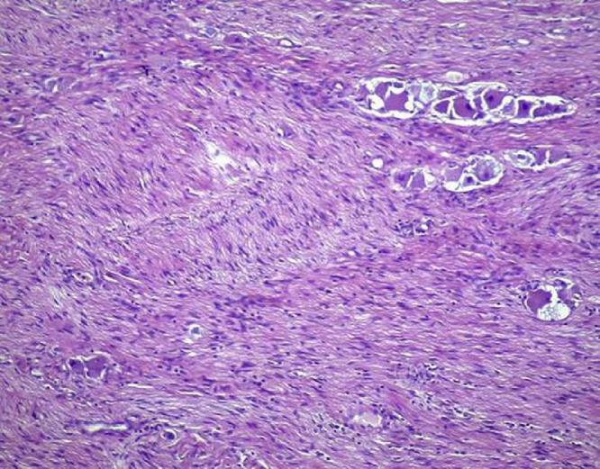
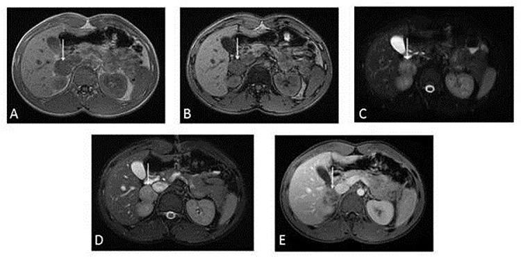
Peripheral neuroblastic tumors are extremely rare in the adult with less just over 20 cases involving adrenal gland described in the literature. We reported herewith the case of a 22-year-old young male who presented with epigastric pain and diarrhea. Imaging studies documented a 3.5cm x 3cm x 4cm solid well-circumscribed right adrenal mass, of heterogeneous structure and with fine calcifications. The lesion turned negative at MIBG scintigraphy. A right robotic-assisted adrenalectomy was performed leading to complete excision of the lesion without complications. Histology was consistent with intermixed stroma-rich ganglioneuroblastoma. A wait-and-see strategy was considered adequate. Two years after diagnosis patient is alive disease-free. Although the definitive diagnosis of a peripheral neuroblastic tumor is obtained after histopathological analysis, CT, and MRI are helpful to further characterize masses and useful in pretreatment risk stratification. Clinicians should be aware of the possibility of GNB development in adult population and its malignant potential.

摘要

外周神经母细胞瘤在成人中极为罕见,文献中报道的累及肾上腺的病例仅有20多例。我们在此报告一例22岁年轻男性,表现为上腹部疼痛和腹泻。影像学检查发现右肾上腺有一个3.5厘米×3厘米×4厘米的实性、边界清晰的肿块,结构不均质,有细小钙化。该病变在间碘苄胍(MIBG)闪烁扫描中呈阴性。实施了机器人辅助右肾上腺切除术,病变被完整切除,无并发症。组织学检查结果符合富含间质的混合型神经节神经母细胞瘤。采取观察等待策略被认为是合适的。诊断两年后,患者存活且无疾病。虽然外周神经母细胞瘤的明确诊断需经组织病理学分析得出,但CT和MRI有助于进一步明确肿块特征,且对治疗前风险分层有用。临床医生应意识到成人发生神经节神经母细胞瘤的可能性及其恶性潜能。

https://cdn.ncbi.nlm.nih.gov/pmc/blobs/b8fc/8258789/687baa305ac2/gr1.jpg

文献AI研究员

20分钟写一篇综述,助力文献阅读效率提升50倍。

立即体验

用中文搜PubMed

大模型驱动的PubMed中文搜索引擎

马上搜索

文档翻译

学术文献翻译模型,支持多种主流文档格式。

立即体验