Suppr超能文献

Multimodality imaging in subclavian steal syndrome.

作者信息

Shemesh Elad, Karkabi Basheer, Zissman Keren

机构信息

Department of Cardiovascular Medicine, Carmel Medical Center, Haifa, Israel.

Rappaport Faculty of Medicine, Technion- Israel Institute of Technology, Haifa, Israel.

出版信息

Oxf Med Case Reports. 2021 Jul 21;2021(7):omab048. doi: 10.1093/omcr/omab048. eCollection 2021 Jul.

Abstract

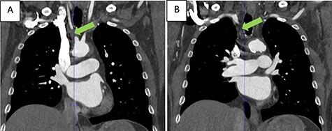
Subclavian steal syndrome is a rare vascular cause of recurrent effort-related syncope events, affecting ~2% of the general population. Here, we report a case of a 64-year-old male who was hospitalized because of recurrent effort-related syncope events. Physical examination revealed several characteristic clinical clues for subclavian steal syndrome. Indeed, through the use of multimodality imaging, the diagnosis was established. We demonstrate that the combination of history taking, thorough physical exam and subsequent imaging studies can establish a relatively rare diagnosis of recurrent syncope.

摘要
https://cdn.ncbi.nlm.nih.gov/pmc/blobs/09fe/8297644/df6328b905d1/omab048f1.jpg

相似文献

1
Multimodality imaging in subclavian steal syndrome.
Oxf Med Case Reports. 2021 Jul 21;2021(7):omab048. doi: 10.1093/omcr/omab048. eCollection 2021 Jul.
2
Coronary-subclavian steal syndrome presenting with chest pain and syncope.
Acta Cardiol. 2004 Dec;59(6):665-7. doi: 10.2143/AC.59.6.2182836.
3
A case of Takayasu arteritis causing subclavian steal and presenting as syncope.
J Emerg Med. 2011 Feb;40(2):158-61. doi: 10.1016/j.jemermed.2007.11.031. Epub 2008 May 12.
4
Subclavian steal syndrome: a review.
J Vasc Nurs. 1996 Mar;14(1):1-7. doi: 10.1016/s1062-0303(96)80035-5.
6
Bull-worker syncope: congenital subclavian steal syndrome following isometric exercise.
Pediatr Cardiol. 1991 Apr;12(2):105-6. doi: 10.1007/BF02238413.
8
Subclavian steal syndrome: a case report and review of advances in diagnostic and treatment approaches.
Cardiovasc Revasc Med. 2016 Jan-Feb;17(1):54-8. doi: 10.1016/j.carrev.2015.11.001. Epub 2015 Nov 17.
9
Subclavian steal syndrome: neurotological manifestations.
Acta Otorhinolaryngol Ital. 2007 Feb;27(1):33-7.

引用本文的文献

1
A Great Heist: Subclavian Steal Syndrome Causing Posterior Transient Ischemic Attack and Stroke.
Perm J. 2022 Dec 19;26(4):106-109. doi: 10.7812/TPP/21.234. Epub 2022 Dec 17.

本文引用的文献

1
Coronary subclavian steal syndrome-is there a need for routine assessment for subclavian artery stenosis following coronary bypass surgery?
Oxf Med Case Reports. 2018 Nov 21;2018(12):omy102. doi: 10.1093/omcr/omy102. eCollection 2018 Dec.
2
Subclavian Steal Syndrome with or without Arterial Stenosis: A Review.
J Neuroimaging. 2016 Sep;26(5):473-80. doi: 10.1111/jon.12371. Epub 2016 Jun 14.
3
Subclavian steal syndrome.
Circulation. 2014 Jun 3;129(22):2320-3. doi: 10.1161/CIRCULATIONAHA.113.006653.
4
Myocardial thievery: the coronary-subclavian steal syndrome.
Ann Thorac Surg. 2006 Jan;81(1):386-92. doi: 10.1016/j.athoracsur.2005.05.071.
5
Subclavian artery stenting: factors influencing long-term outcome.
Catheter Cardiovasc Interv. 2004 Jan;61(1):5-11. doi: 10.1002/ccd.10711.
6
Endovascular therapy in prevention and management of coronary-subclavian steal.
J Vasc Surg. 2003 Oct;38(4):699-703; discussion 704. doi: 10.1016/s0741-5214(03)00728-6.
7
Concomitant occlusive disease of the coronary arteries and great vessels.
Ann Thorac Surg. 1998 Jan;65(1):79-84. doi: 10.1016/s0003-4975(97)00863-1.

文献AI研究员

20分钟写一篇综述,助力文献阅读效率提升50倍。

立即体验

用中文搜PubMed

大模型驱动的PubMed中文搜索引擎

马上搜索

文档翻译

学术文献翻译模型,支持多种主流文档格式。

立即体验