Suppr超能文献

主动脉脓肿腔愈合的偶然诊断。

Incidental Diagnosis of Healed Aortic Abscess Cavity.

作者信息

Shree Shilpa, Palanisamy Vijayanand, Chidambaram Kumar, Vajjiram Vasanthi, Ramkoomar Pradeep

机构信息

Department of Cardiothoracic Surgery, The Madras Medical Mission Hospital, Chennai, IND.

Department of Cardiac Anesthesia, The Madras Medical Mission Hospital, Chennai, IND.

出版信息

Cureus. 2021 Jun 14;13(6):e15632. doi: 10.7759/cureus.15632. eCollection 2021 Jun.

Abstract

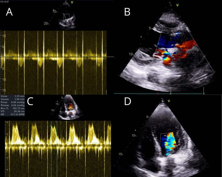
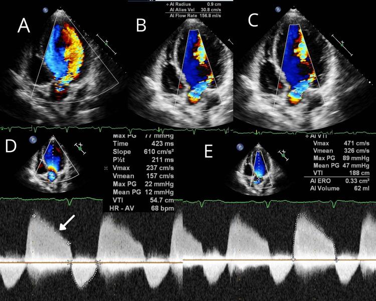
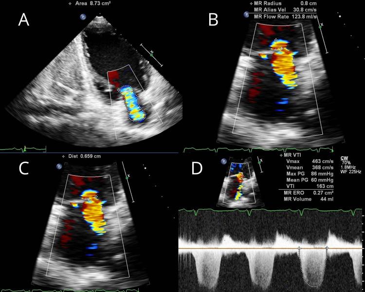
In infective endocarditis, the perivalvular abscess is a known complication with an incidence of more than 22%-29%, but the primary presentation of a healed aortic abscess without any clinical features of infective endocarditis is very rare. These sorts of cases are scarcely documented throughout literature. We present a successful surgical closure of healed perivalvular abscess cavity with aortic valve replacement and mitral valve repair.

摘要

在感染性心内膜炎中,瓣周脓肿是一种已知的并发症,发生率超过22% - 29%,但已愈合的主动脉脓肿在没有任何感染性心内膜炎临床特征的情况下首次出现是非常罕见的。这类病例在整个文献中鲜有记载。我们成功地通过主动脉瓣置换和二尖瓣修复对已愈合的瓣周脓肿腔进行了手术闭合。

https://cdn.ncbi.nlm.nih.gov/pmc/blobs/4c26/8278257/6550eab3cbe1/cureus-0013-00000015632-i01.jpg

文献AI研究员

20分钟写一篇综述,助力文献阅读效率提升50倍。

立即体验

用中文搜PubMed

大模型驱动的PubMed中文搜索引擎

马上搜索

文档翻译

学术文献翻译模型,支持多种主流文档格式。

立即体验