Rehman Nidhin, Sadashiva Harish, Madakshira Manoj Gopal, Raman Deep Kumar
Command Hospital, Department of Laboratory Medicine, Lucknow, India.
Command Hospital, Department of Oncosurgery, Lucknow, India.
Autops Case Rep. 2021 Apr 6;11:e2021248. doi: 10.4322/acr.2021.248. eCollection 2021.
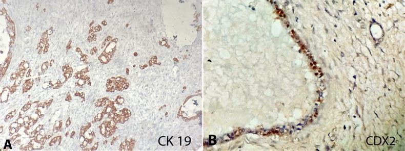
Metastatic gallbladder carcinoma to the ovaries is occasional but a recognized entity. It can mimic, clinical and morphologically, a primary ovarian tumor, challenging the diagnosis. We present the case of a patient with a lump in the hypogastrium extending into the right iliac fossa and was found to have abdominopelvic cystic lesion with enhancing solid components and multiple sub-centimetric and ill-defined abdominal lymph nodes. Also, subpleural and parenchymal nodules in the lungs were present. She subsequently underwent a laparotomy. Cholecystectomy was also done due to pre-existing symptomatic biliary lithiasis. The histologic report described the ovarian involvement as metastases from a gallbladder carcinoma. The presentation of ovarian metastases can challenge the diagnosis. Hence, careful evaluation of the digestive tract and judicious use of immunohistochemistry should be considered in patients presenting with ovarian masses.
胆囊癌转移至卵巢较为少见,但却是一种公认的疾病实体。在临床和形态学上,它可能酷似原发性卵巢肿瘤,给诊断带来挑战。我们报告一例患者,其下腹部有一肿块延伸至右髂窝,经检查发现腹盆腔有囊性病变,内有强化的实性成分,还有多个直径小于1厘米且边界不清的腹部淋巴结。此外,肺部有胸膜下和实质结节。她随后接受了剖腹手术。由于既往有症状性胆石症,也进行了胆囊切除术。组织学报告显示卵巢受累为胆囊癌转移。卵巢转移瘤的表现可能给诊断带来挑战。因此,对于出现卵巢肿块的患者,应仔细评估消化道并合理应用免疫组化。