Suppr超能文献

儿童胸主动脉假性动脉瘤的血管腔内修复术

Endovascular Repair of Thoracic Aortic Pseudoaneurysms in Children.

作者信息

Guruchandrasekar Sanchitha H, Mallula Kiran K, Siwik Ernest

机构信息

Division of Pediatric Cardiology, Department of Pediatrics, Louisiana State University, New Orleans, Louisiana.

出版信息

JACC Case Rep. 2020 Sep 9;2(12):1895-1898. doi: 10.1016/j.jaccas.2020.07.022. eCollection 2020 Oct.

Abstract

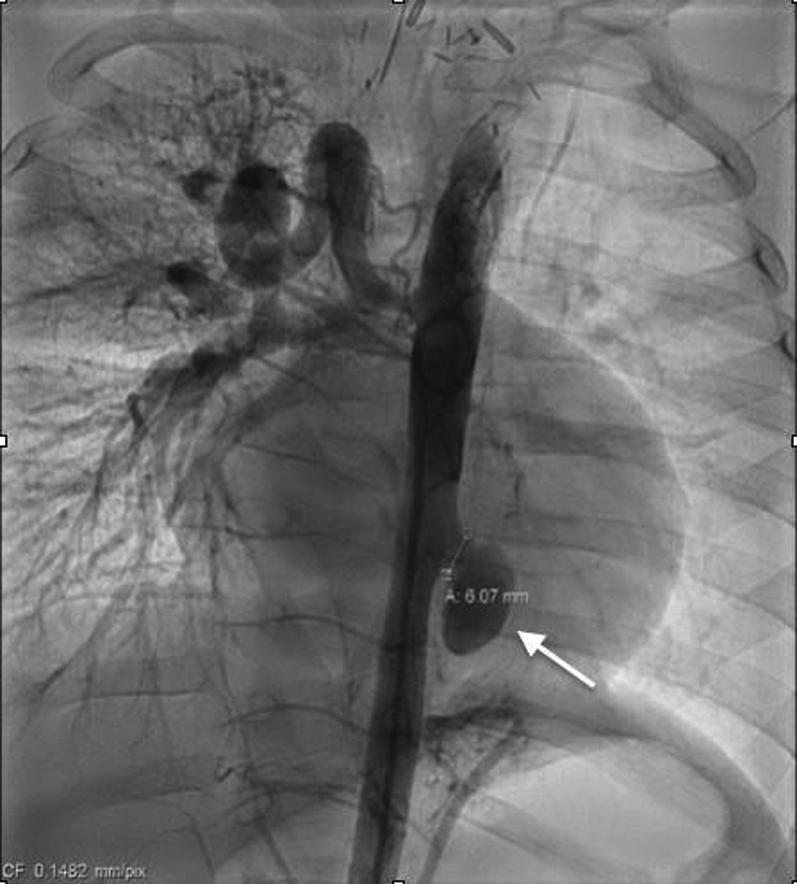
Pediatric aortic pseudoaneurysms are rare and can result in life-threatening sequelae. We describe 2 cases of exclusion of descending thoracic aortic pseudoaneurysm by different approaches, chosen based on the anatomy and cause of the lesions. ().

摘要

小儿主动脉假性动脉瘤较为罕见,可导致危及生命的后遗症。我们描述了2例通过不同方法排除降主动脉假性动脉瘤的病例,这些方法是根据病变的解剖结构和病因选择的。()

https://cdn.ncbi.nlm.nih.gov/pmc/blobs/830a/8299137/65daf65dc5fe/fx1.jpg

文献AI研究员

20分钟写一篇综述,助力文献阅读效率提升50倍。

立即体验

用中文搜PubMed

大模型驱动的PubMed中文搜索引擎

马上搜索

文档翻译

学术文献翻译模型,支持多种主流文档格式。

立即体验