Peripheral Vascular Disease Unit of the TCM Department, Shuguang Hospital, Shanghai University of Traditional Chinese Medicine, 201203, Shanghai, China.
Disease Unit of the TCM Department, Shuguang Hospital, , Shanghai University of Traditional Chinese Medicine, Zhangheng Road No. 528, Pudong New Area, 201203, Shanghai, China.
Cell Mol Biol Lett. 2021 Jul 31;26(1):35. doi: 10.1186/s11658-021-00278-5.
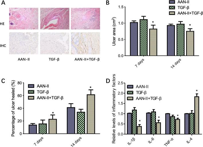
Alkannin-based pharmaceutical formulations for improving wound healing have been on the market for several years. However, detailed molecular mechanisms of their action have yet to be elucidated. Here, we investigated the potential roles of AAN-II in improving the healing of pressure-induced venous ulcers using a rabbit model generated by combining deep vein thrombosis with a local skin defect/local skin defect. The extent of healing was evaluated using hematoxylin and eosin (HE) or vimentin staining. Rabbit skin fibroblasts were cultured for AAN-II treatment or TGFB1-sgRNA lentivirus transfection. ELISA was used to evaluate the levels of various cytokines, including IL-1β, IL-4, IL-6, TNF-α, VEGF, bFGF, TGF-β and PDGF. The protein levels of TGF-β sensors, including TGF-β, Smad7 and phosphor-Smad3, and total Smad3, were assayed via western blotting after TGF-β knockout or AAN-II treatment. The results show that, for this model, AAN-II facilitates ulcer healing by suppressing the development of inflammation and promoting fibroblast proliferation and secretion of proangiogenic factors. AAN-II enhances the activation of the TGF-β1-Smad3 signaling pathway during skin ulcer healing. In addition, the results demonstrate that AAN-II and TGF-β have synergistic effects on ulcer healing. Our findings indicate that AAN-II can promote healing of pressure-induced venous skin ulcers via activation of TGF-β-Smad3 signaling in fibroblast cells and provide evidence that could be used in the development of more effective treatments.
基于白屈菜红碱的药物制剂在改善伤口愈合方面已经上市多年。然而,其作用的详细分子机制尚未阐明。在这里,我们使用深静脉血栓形成与局部皮肤缺损/局部皮肤缺损相结合的兔模型,研究了 AAN-II 在改善压力诱导的静脉溃疡愈合中的潜在作用。使用苏木精和伊红(HE)或波形蛋白染色评估愈合程度。培养兔皮肤成纤维细胞进行 AAN-II 处理或 TGFB1-sgRNA 慢病毒转染。ELISA 用于评估包括 IL-1β、IL-4、IL-6、TNF-α、VEGF、bFGF、TGF-β和 PDGF 在内的各种细胞因子的水平。在用 TGF-β敲除或 AAN-II 处理后,通过 Western blot 测定 TGF-β传感器,包括 TGF-β、Smad7 和磷酸化 Smad3,以及总 Smad3 的蛋白水平。结果表明,对于这种模型,AAN-II 通过抑制炎症的发展和促进成纤维细胞增殖和促血管生成因子的分泌来促进溃疡愈合。AAN-II 增强了皮肤溃疡愈合过程中 TGF-β1-Smad3 信号通路的激活。此外,结果表明 AAN-II 和 TGF-β 对溃疡愈合具有协同作用。我们的研究结果表明,AAN-II 可以通过激活成纤维细胞中的 TGF-β-Smad3 信号通路来促进压力诱导的静脉皮肤溃疡的愈合,并为开发更有效的治疗方法提供了证据。