Suppr超能文献

通往男人心的路是通过他的胃:多发伤患者心肌梗死模拟和假性压塞的病例。

The way to a man's heart is through his stomach: a case of myocardial infarction mimic and pseudo-tamponade in a polytrauma patient.

机构信息

Adult Intensive Care, Unit Gold Coast University Hospital, 1 Hospital Blvd, Southport, Queensland, 4215, Australia.

Medical Education Unit Gold Coast University Hospital, 1 Hospital Blvd, Southport, Queensland, 4215, Australia.

出版信息

Scand J Trauma Resusc Emerg Med. 2021 Jul 31;29(1):106. doi: 10.1186/s13049-021-00911-4.

Abstract

BACKGROUND

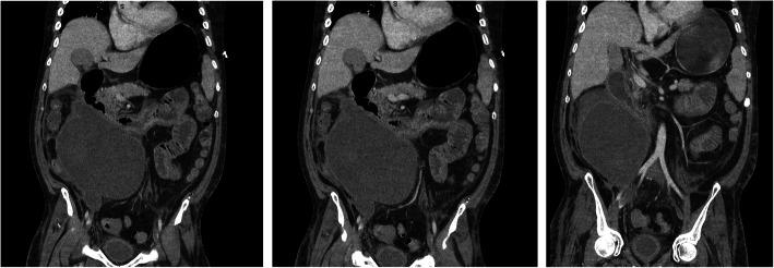
There exists a therapeutic conflict between haemorrhage control and prevention of thromboembolic events following polytrauma and complications are not uncommon. Such opposing therapies can result in unexpected pathophysiology and there is a real risk of misdiagnosis resulting in harm. This case presents a previously unreported complication of prevention and management of thromboembolism- STEMI (ST elevation myocardial infarction) and tamponade mimic secondary to retroperitoneal haematoma.

CASE PRESENTATION

We present a 50-year-old male polytrauma patient who following treatment for presumed pulmonary embolus demonstrated classical clinical findings of myocardial infarction and pericardial tamponade secondary to a retroperitoneal haematoma. This is an event not previously reported in the literature. The risk of adverse outcome by management along the standard lines of STEMI (ST elevation myocardial infarction) was averted through awareness for alternative aetiology via a multi-team approach which resulted in percutaneous drainage of the haematoma and complete resolution of symptoms.

CONCLUSIONS

This manuscript highlights the therapeutic conflict between haemorrhage control and prevention of thromboembolic events in critically injured, the importance of high index of suspicion in this patient cohort and the benefits of multidisciplinary decision making in the complex patient through a not previously published pathophysiologic phenomenon.

摘要

背景

多发创伤后,在控制出血与预防血栓栓塞事件之间存在治疗冲突,且并不罕见会出现并发症。这些相互矛盾的治疗方法可能导致意想不到的病理生理学变化,存在误诊导致伤害的真正风险。本病例报告了一种以前未报道的血栓栓塞预防和管理并发症-STEMI(ST 段抬高型心肌梗死)和填塞模拟继发于腹膜后血肿。

病例介绍

我们介绍了一位 50 岁的多发创伤男性患者,在接受疑似肺栓塞治疗后,出现了经典的心肌梗死和心包填塞的临床表现,继发于腹膜后血肿。这是文献中以前没有报道过的事件。通过多学科方法提高对替代病因的认识,避免了按照 STEMI(ST 段抬高型心肌梗死)的标准治疗方案进行管理的不良后果,从而导致了血肿的经皮引流和症状完全缓解。

结论

本文强调了在严重创伤患者中控制出血与预防血栓栓塞事件之间的治疗冲突,在该患者群体中高度怀疑的重要性,以及通过以前未发表的病理生理现象,在复杂患者中进行多学科决策的益处。

https://cdn.ncbi.nlm.nih.gov/pmc/blobs/b26a/8325207/f5b5c823f8f2/13049_2021_911_Fig1_HTML.jpg

文献检索

告别复杂PubMed语法,用中文像聊天一样搜索,搜遍4000万医学文献。AI智能推荐,让科研检索更轻松。

立即免费搜索

文件翻译

保留排版,准确专业,支持PDF/Word/PPT等文件格式,支持 12+语言互译。

免费翻译文档

深度研究

AI帮你快速写综述,25分钟生成高质量综述,智能提取关键信息,辅助科研写作。

立即免费体验