• 文献检索
  • 文档翻译
  • 深度研究
  • 学术资讯
  • Suppr Zotero 插件Zotero 插件
  • 邀请有礼
  • 套餐&价格
  • 历史记录
应用&插件
Suppr Zotero 插件Zotero 插件浏览器插件Mac 客户端Windows 客户端微信小程序
定价
高级版会员购买积分包购买API积分包
服务
文献检索文档翻译深度研究API 文档MCP 服务
关于我们
关于 Suppr公司介绍联系我们用户协议隐私条款
关注我们

Suppr 超能文献

核心技术专利:CN118964589B侵权必究
粤ICP备2023148730 号-1Suppr @ 2026

文献检索

告别复杂PubMed语法,用中文像聊天一样搜索,搜遍4000万医学文献。AI智能推荐,让科研检索更轻松。

立即免费搜索

文件翻译

保留排版,准确专业,支持PDF/Word/PPT等文件格式,支持 12+语言互译。

免费翻译文档

深度研究

AI帮你快速写综述,25分钟生成高质量综述,智能提取关键信息,辅助科研写作。

立即免费体验

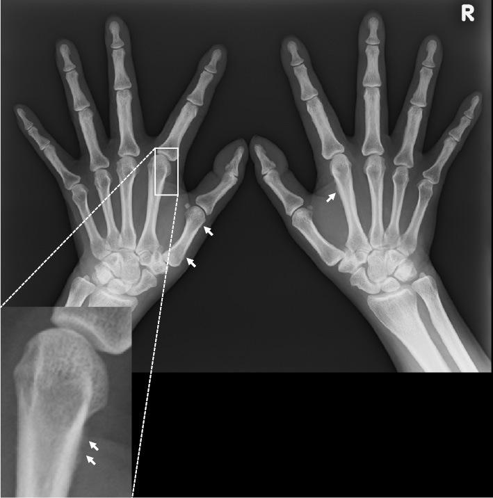
Musculoskeletal Ultrasound Manifestation of Osteoarthropathy in EMO Syndrome.

作者信息

Kawashiri Shin-Ya, Sumiyoshi Remi, Kawakami Atsushi

机构信息

Departments of Community Medicine, Nagasaki University Graduate School of Biomedical Sciences, Japan.

Departments of Immunology and Rheumatology, Nagasaki University Graduate School of Biomedical Sciences, Japan.

出版信息

Intern Med. 2022 Jan 15;61(2):273-274. doi: 10.2169/internalmedicine.7106-21. Epub 2021 Jul 30.

DOI:10.2169/internalmedicine.7106-21
PMID:34334562
原文链接:https://pmc.ncbi.nlm.nih.gov/articles/PMC8851171/
Abstract
摘要
https://cdn.ncbi.nlm.nih.gov/pmc/blobs/984d/8851171/3611210cb3b9/1349-7235-61-0273-g004.jpg
https://cdn.ncbi.nlm.nih.gov/pmc/blobs/984d/8851171/302732fc8c9d/1349-7235-61-0273-g001.jpg
https://cdn.ncbi.nlm.nih.gov/pmc/blobs/984d/8851171/4524cbd3e62c/1349-7235-61-0273-g002.jpg
https://cdn.ncbi.nlm.nih.gov/pmc/blobs/984d/8851171/0045e604425d/1349-7235-61-0273-g003.jpg
https://cdn.ncbi.nlm.nih.gov/pmc/blobs/984d/8851171/3611210cb3b9/1349-7235-61-0273-g004.jpg
https://cdn.ncbi.nlm.nih.gov/pmc/blobs/984d/8851171/302732fc8c9d/1349-7235-61-0273-g001.jpg
https://cdn.ncbi.nlm.nih.gov/pmc/blobs/984d/8851171/4524cbd3e62c/1349-7235-61-0273-g002.jpg
https://cdn.ncbi.nlm.nih.gov/pmc/blobs/984d/8851171/0045e604425d/1349-7235-61-0273-g003.jpg
https://cdn.ncbi.nlm.nih.gov/pmc/blobs/984d/8851171/3611210cb3b9/1349-7235-61-0273-g004.jpg

相似文献

1
Musculoskeletal Ultrasound Manifestation of Osteoarthropathy in EMO Syndrome.EMO综合征中骨关节炎的肌肉骨骼超声表现
Intern Med. 2022 Jan 15;61(2):273-274. doi: 10.2169/internalmedicine.7106-21. Epub 2021 Jul 30.
2
Exophthalmos, pretibial myxedema, osteoarthropathy syndrome associated with papillary fibroelastoma in the left ventricle.左心室乳头状纤维弹性瘤相关的突眼、胫前黏液性水肿、骨关节病综合征。
Thyroid. 1999 Dec;9(12):1257-60. doi: 10.1089/thy.1999.9.1257.
3
Utility of rituximab treatment for exophthalmos, myxedema, and osteoarthropathy syndrome resistant to corticosteroids due to Graves' disease: a case report.利妥昔单抗治疗格雷夫斯病所致对皮质类固醇耐药的突眼、黏液性水肿和骨关节炎综合征的效用:一例报告
J Med Case Rep. 2018 Feb 16;12(1):38. doi: 10.1186/s13256-018-1571-9.
4
Radiation therapy as part of the therapeutic regimen for extensive multilocular myxedema in a patient with exophthalmos, myxedema and osteoarthropathy syndrome: A case report.放射治疗作为伴有眼球突出、黏液性水肿和骨关节炎综合征患者广泛性多房性黏液性水肿治疗方案的一部分:病例报告
Oncol Lett. 2015 May;9(5):2404-2408. doi: 10.3892/ol.2015.2990. Epub 2015 Feb 26.
5
Euthyroid pretibial myxedema and EMO syndrome.甲状腺功能正常的胫前黏液性水肿和EMO综合征。
Acta Dermatovenerol Alp Pannonica Adriat. 2009 Mar;18(1):21-3.
6
A case report of EMO syndrome showing localized hyperhidrosis in pretibial myxedema.一例胫前黏液性水肿伴局部多汗的EMO综合征病例报告。
J Dermatol. 1991 Oct;18(10):598-604. doi: 10.1111/j.1346-8138.1991.tb03139.x.
7
Clinical Imaging Features of Thyroid Acropachy.甲状腺杵状指的临床影像学特征
Intern Med. 2022 Jan 15;61(2):133-134. doi: 10.2169/internalmedicine.8188-21. Epub 2021 Jul 30.
8
[Immunopathogenetic, endocrinologic and therapeutic problems of EMO syndrome. Observations based on a case report].[EMO综合征的免疫病理、内分泌及治疗问题。基于一例病例报告的观察]
Dermatol Monatsschr. 1989;175(8):492-8.
9
[EMO syndrome].[情感障碍综合征]
Nihon Rinsho. 2006 May 28;Suppl 1:311-5.
10
Successful treatment of hypothyroid Graves' disease with a combination of levothyroxine replacement, intravenous high-dose steroid and irradiation to the orbit.采用左甲状腺素替代、静脉注射大剂量类固醇及眼眶照射联合治疗甲状腺功能减退型格雷夫斯病取得成功。
Intern Med. 1993 May;32(5):421-3. doi: 10.2169/internalmedicine.32.421.

引用本文的文献

1
Clinical Imaging Features of Thyroid Acropachy.甲状腺杵状指的临床影像学特征
Intern Med. 2022 Jan 15;61(2):133-134. doi: 10.2169/internalmedicine.8188-21. Epub 2021 Jul 30.

本文引用的文献

1
Euthyroid pretibial myxedema and EMO syndrome.甲状腺功能正常的胫前黏液性水肿和EMO综合征。
Acta Dermatovenerol Alp Pannonica Adriat. 2009 Mar;18(1):21-3.
2
Triad of exophthalmos, pretibial myxedema, and acropachy in a patient with Graves' disease.一名格雷夫斯病患者出现突眼、胫前黏液性水肿和杵状指三联征。
J Am Acad Dermatol. 2003 Jun;48(6):970-2. doi: 10.1067/mjd.2003.323.