School of Dentistry, College of Oral Medicine, Taipei Medical University, Taipei, Taiwan.
Division of Cardiology, Department of Internal Medicine, School of Medicine, College of Medicine, Taipei Heart Institute, Taipei Medical University, Taipei, Taiwan.
Oxid Med Cell Longev. 2021 Jul 13;2021:2855042. doi: 10.1155/2021/2855042. eCollection 2021.
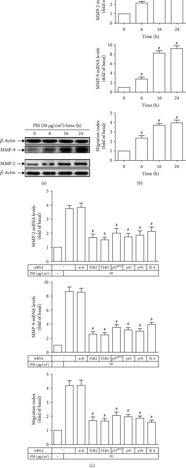
Particulate matter (PM), a major air pollutant, may be associated with adverse cardiovascular effects. Reactive oxygen species- (ROS-) dependent proinflammatory cytokine production, such as interleukin-6 (IL-6), is a possible underlying mechanism. Carbon monoxide- (CO-) releasing molecule-2 (CORM-2) which liberates exogenous CO can exert many beneficial effects, particularly anti-inflammation and antioxidant effects. The purpose of this study was to explore the protective effects and underpinning mechanisms of CORM-2 on PM-induced aorta inflammation. Here, human aortic vascular smooth muscle cells (HASMCs) were utilized as models for the assessment of signaling pathways behind CORM-2 activities against PM-induced inflammatory responses, including Toll-like receptors (TLRs), NADPH oxidase, ROS, nuclear factor-kappa B (NF-B), and IL-6. The modulation of monocyte adherence and HASMC migration, that are two critical cellular events of inflammatory process, along with their regulators, including intercellular adhesion molecule-1 (ICAM-1), vascular cell adhesion molecule-1 (VCAM-1), and matrix metalloproteinase-2 (MMP-2) and MMP-9, in response to PM by CORM-2, were further evaluated. Finally, mice experiments under different conditions were conducted for the evaluation of CORM-2 benefits on the expression of inflammatory molecules including IL-6, ICAM-1, VCAM-1, MMP-2, and MMP-9. Our results found that PM could induce aorta inflammation and , as evidenced by the increase of IL-6 expression that was regulated by the TLR2 and TLR4/NADPH oxidase/ROS/NF-B signaling pathway, thereby promoting ICAM-1- and VCAM-1-dependent monocyte adhesion and MMP-2- and MMP-9-dependent HASMC migration. Importantly, our experimental models demonstrated that CORM-2-liberated CO effectively inhibited the whole identified PM-induced inflammatory cascade in HASMCs and tissues. In conclusion, CORM-2 treatment may elicit multiple beneficial effects on inflammatory responses of aorta due to PM exposure, thereby providing therapeutic value in the context of inflammatory diseases of the cardiovascular system.
颗粒物 (PM) 是一种主要的空气污染物,可能与不良的心血管影响有关。活性氧物质 (ROS) 依赖性促炎细胞因子的产生,如白细胞介素-6 (IL-6),是一种可能的潜在机制。一氧化碳释放分子-2 (CORM-2) 可以释放外源性 CO,可以发挥许多有益的作用,特别是抗炎和抗氧化作用。本研究的目的是探讨 CORM-2 对 PM 诱导的主动脉炎症的保护作用及其潜在机制。在这里,人主动脉血管平滑肌细胞 (HASMCs) 被用作评估 CORM-2 对 PM 诱导的炎症反应的信号通路的模型,包括 Toll 样受体 (TLRs)、NADPH 氧化酶、ROS、核因子-kappa B (NF-B) 和 IL-6。CORM-2 对 PM 诱导的炎症过程中两个关键的细胞事件,即单核细胞黏附和 HASMC 迁移,以及它们的调节剂,包括细胞间黏附分子-1 (ICAM-1)、血管细胞黏附分子-1 (VCAM-1)、基质金属蛋白酶-2 (MMP-2) 和 MMP-9,进行了评估。最后,在不同条件下进行了小鼠实验,以评估 CORM-2 对炎症分子包括 IL-6、ICAM-1、VCAM-1、MMP-2 和 MMP-9 表达的益处。我们的结果发现,PM 可以诱导主动脉炎症,这一点可以从 IL-6 表达的增加中得到证明,IL-6 的表达是由 TLR2 和 TLR4/NADPH 氧化酶/ROS/NF-B 信号通路调节的,从而促进 ICAM-1 和 VCAM-1 依赖性单核细胞黏附和 MMP-2 和 MMP-9 依赖性 HASMC 迁移。重要的是,我们的实验模型表明,CORM-2 释放的 CO 可以有效地抑制 HASMCs 和组织中已确定的 PM 诱导的整个炎症级联反应。总之,CORM-2 治疗可能会对 PM 暴露引起的主动脉炎症反应产生多种有益作用,从而为心血管系统炎症性疾病提供治疗价值。