• 文献检索
  • 文档翻译
  • 深度研究
  • 学术资讯
  • Suppr Zotero 插件Zotero 插件
  • 邀请有礼
  • 套餐&价格
  • 历史记录
应用&插件
Suppr Zotero 插件Zotero 插件浏览器插件Mac 客户端Windows 客户端微信小程序
定价
高级版会员购买积分包购买API积分包
服务
文献检索文档翻译深度研究API 文档MCP 服务
关于我们
关于 Suppr公司介绍联系我们用户协议隐私条款
关注我们

Suppr 超能文献

核心技术专利:CN118964589B侵权必究
粤ICP备2023148730 号-1Suppr @ 2026

文献检索

告别复杂PubMed语法,用中文像聊天一样搜索,搜遍4000万医学文献。AI智能推荐,让科研检索更轻松。

立即免费搜索

文件翻译

保留排版,准确专业,支持PDF/Word/PPT等文件格式,支持 12+语言互译。

免费翻译文档

深度研究

AI帮你快速写综述,25分钟生成高质量综述,智能提取关键信息,辅助科研写作。

立即免费体验

一名广泛型肺结核患者发生心脏骤停。

Cardiac Arrest in an Extensive Pulmonary Tuberculosis Patient.

作者信息

Zora Vancy

机构信息

Internal Medicine, Indiana University (IU) Health Ball Memorial Hospital, Muncie, USA.

出版信息

Cureus. 2021 Jun 30;13(6):e16057. doi: 10.7759/cureus.16057. eCollection 2021 Jun.

DOI:10.7759/cureus.16057
PMID:34336529
原文链接:https://pmc.ncbi.nlm.nih.gov/articles/PMC8321424/
Abstract

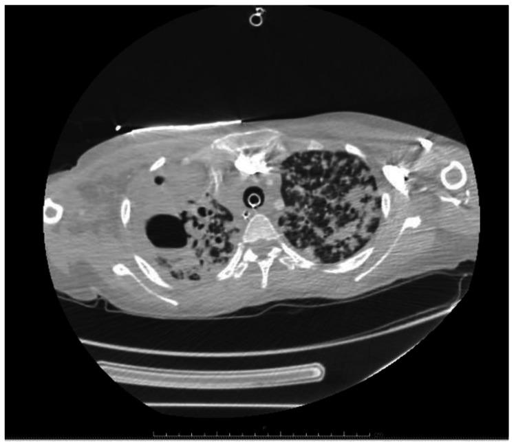
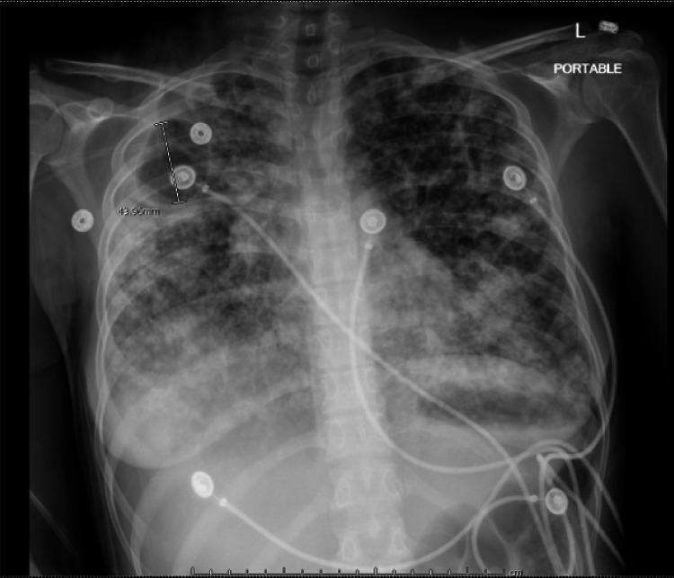
Tuberculosis (TB) disease affects a large population worldwide but is often missed. Early diagnosis can be challenging at times due to failure to include TB in the differential diagnoses. Tuberculosis is a treatable disease but it can lead to undesirable consequences if left untreated. Here we report a case of a young Guatemalan woman presented with respiratory failure and extensive lung opacification on imaging who went into cardiac arrest. Post resuscitation, workup was significant for (TB) on sputum smear. Despite appropriate treatment, she expired. The aim of this paper is to summarize TB complications that directly contribute to mortality as many clinicians do not consider TB as an immediate cause of death.

摘要

结核病在全球影响着大量人口,但常常被漏诊。由于在鉴别诊断中未将结核病纳入考虑,早期诊断有时具有挑战性。结核病是一种可治疗的疾病,但如果不治疗,可能会导致不良后果。在此,我们报告一例年轻的危地马拉女性病例,该患者出现呼吸衰竭,影像学检查显示肺部广泛浑浊,随后发生心脏骤停。复苏后,痰涂片检查发现(结核病)呈阳性。尽管进行了适当治疗,她仍不幸去世。本文的目的是总结直接导致死亡的结核病并发症,因为许多临床医生并不认为结核病是直接死因。

https://cdn.ncbi.nlm.nih.gov/pmc/blobs/cf59/8321424/da1f7cf8bf61/cureus-0013-00000016057-i03.jpg
https://cdn.ncbi.nlm.nih.gov/pmc/blobs/cf59/8321424/73b0c5fba4b7/cureus-0013-00000016057-i01.jpg
https://cdn.ncbi.nlm.nih.gov/pmc/blobs/cf59/8321424/8e3ace3e771d/cureus-0013-00000016057-i02.jpg
https://cdn.ncbi.nlm.nih.gov/pmc/blobs/cf59/8321424/da1f7cf8bf61/cureus-0013-00000016057-i03.jpg
https://cdn.ncbi.nlm.nih.gov/pmc/blobs/cf59/8321424/73b0c5fba4b7/cureus-0013-00000016057-i01.jpg
https://cdn.ncbi.nlm.nih.gov/pmc/blobs/cf59/8321424/8e3ace3e771d/cureus-0013-00000016057-i02.jpg
https://cdn.ncbi.nlm.nih.gov/pmc/blobs/cf59/8321424/da1f7cf8bf61/cureus-0013-00000016057-i03.jpg

相似文献

1
Cardiac Arrest in an Extensive Pulmonary Tuberculosis Patient.一名广泛型肺结核患者发生心脏骤停。
Cureus. 2021 Jun 30;13(6):e16057. doi: 10.7759/cureus.16057. eCollection 2021 Jun.
2
Tuberculosis结核病
3
API TB Consensus Guidelines 2006: Management of pulmonary tuberculosis, extra-pulmonary tuberculosis and tuberculosis in special situations.《2006年抗结核药物国际共识指南:肺结核、肺外结核及特殊情况结核病的管理》
J Assoc Physicians India. 2006 Mar;54:219-34.
4
Viable Mycobacterium tuberculosis in sputum after pulmonary tuberculosis cure.肺结核治愈后痰中仍存在存活结核分枝杆菌。
BMC Infect Dis. 2019 Oct 30;19(1):923. doi: 10.1186/s12879-019-4561-7.
5
COMPARISON OF GeneXpert MTB/RIF ASSAY WITH CONVENTIONAL AFB SMEAR FOR DIAGNOSIS OF PULMONARY TUBERCULOSIS IN NORTHEASTERN THAILAND.泰国东北部地区采用GeneXpert MTB/RIF检测法与传统抗酸杆菌涂片法诊断肺结核的比较
Southeast Asian J Trop Med Public Health. 2017 Mar;48(2):313-21.
6
Sudden cardiac death and tuberculosis - how much do we know?心源性猝死与结核病——我们了解多少?
Tuberculosis (Edinb). 2012 Jul;92(4):307-13. doi: 10.1016/j.tube.2012.02.002. Epub 2012 Mar 8.
7
Evaluation of the Xpert MTB/RIF assay for the diagnosis of smear-negative pulmonary and extrapulmonary tuberculosis in Madagascar.评估 Xpert MTB/RIF assay 在马达加斯加用于诊断痰涂片阴性的肺和肺外结核病。
Int J Infect Dis. 2018 Apr;69:20-25. doi: 10.1016/j.ijid.2018.01.017. Epub 2018 Mar 1.
8
Differential Culturability of in Culture-Negative Sputum of Patients With Pulmonary Tuberculosis and in a Simulated Model of Dormancy.肺结核患者培养阴性痰液及休眠模拟模型中结核菌的差异可培养性
Front Microbiol. 2019 Oct 23;10:2381. doi: 10.3389/fmicb.2019.02381. eCollection 2019.
9
Rapid detection of Mycobacterium tuberculosis and rifampicin resistance in extrapulmonary tuberculosis and sputum smear-negative pulmonary suspects using Xpert MTB/RIF.使用Xpert MTB/RIF快速检测肺外结核和痰涂片阴性肺结核疑似患者中的结核分枝杆菌及利福平耐药性
J Med Microbiol. 2017 Apr;66(4):412-418. doi: 10.1099/jmm.0.000449. Epub 2017 Apr 28.
10
[Evaluation of the Xpert MTB/RIF assay for the diagnosis of pulmonary and extrapulmonary tuberculosis in an intermediate-prevalence setting].[在中等流行率环境中评估Xpert MTB/RIF检测法对肺及肺外结核病的诊断价值]
Mikrobiyol Bul. 2014 Apr;48(2):223-32. doi: 10.5578/mb.7456.

引用本文的文献

1
Loss of Consciousness and Cardiac Arrest as an Atypical Presentation of Tubercular Meningitis: A Case Report.昏迷和心跳骤停作为结核性脑膜炎的非典型表现:一例报告。
JNMA J Nepal Med Assoc. 2022 Jul 1;60(251):654-656. doi: 10.31729/jnma.7588.

本文引用的文献

1
Sudden death caused by pulmonary fat embolism in a patient with miliary tuberculosis.粟粒性肺结核患者因肺脂肪栓塞导致的猝死。
Autops Case Rep. 2019 Jan 14;9(1):e2018059. doi: 10.4322/acr.2018.059. eCollection 2019 Jan-Mar.
2
Cardiac arrest among patients with infections: causes, clinical practice and research implications.感染患者的心脏骤停:病因、临床实践和研究意义。
Clin Microbiol Infect. 2017 Oct;23(10):730-735. doi: 10.1016/j.cmi.2016.11.018. Epub 2016 Nov 27.
3
Case report: Sudden cardiac death in a young man.病例报告:一名年轻男性的心脏性猝死
Breathe (Sheff). 2015 Mar;11(1):67-70. doi: 10.1183/20734735.009014.
4
Sudden death related to tuberculous coronary arteritis.与结核性冠状动脉炎相关的猝死
Int J Cardiol. 2012 Apr 19;156(2):e28-9. doi: 10.1016/j.ijcard.2011.08.002. Epub 2011 Aug 30.
5
Fatal haemoptysis caused by a ruptured Rasmussen's aneurysm.拉斯穆森动脉瘤破裂导致的致命性咯血。
Thorax. 2011 Jun;66(6):553-4. doi: 10.1136/thx.2010.135616. Epub 2010 Aug 30.
6
Tuberculosis and sudden death: a case report and review.
Heart Lung. 2001 Sep-Oct;30(5):388-91. doi: 10.1067/mhl.2001.118304.
7
Tuberculous coronary arteritis with aneurysm of the ventricular septum.结核性冠状动脉炎伴室间隔瘤
Chest. 1971 Dec;60(6):613-6. doi: 10.1378/chest.60.6.613.